Bisphosphonate-associated necrosis of the jaws
Oral bisphosphonates are commonly given to patients exhibiting osteoporosis. They are used to enhance deposition of bone and prevent the loss of bone. Commonly used oral bisphosphonates include tiludronate (Skelid), alendronate (Fosamax), risedronate (Actonel), etidronate (Didronel), and ibandronate (Boniva).
Stronger, intravenous bisphosphonates are used to treat metastatic bone lesions in patients with breast, lung, prostate, and thyroid cancer, multiple myeloma, and Paget’s disease. Their use diminishes bone fracture and the pain from these cancerous lesions, and reduces metastatic solid tumors in the skeleton.
Bisphosphonates that are administered by IV include pamidronate (Aredia), clodronate (Bonefos), and zolendronic acid (Zometa).
The dental community has begun to realize that there is an association between the use of bisphosphonates and osteonecrosis of the oral cavity. BON - Bisphosphonate-associated osteonecrosis - is the acronym given to the symptoms associated with IV bisphosphonate use.
BON may become apparent spontaneously as pain develops from necrotic bone. As the necrosis develops, there is resulting exposure of more bone in both the mandible and maxilla. Secondary infection then develops.
BON symptoms include mandibular bone pain resulting from secondary infection of necrotic bone and/or mandibular parathesia, loosening of the teeth, spontaneously exposed bone, periodontal infections, and delayed tissue and bone healing.
Mechanism of action
Bisphosphonates bind to calcium in bone mineral. When old bone is resorbed, the bisphosphonates are released and combine with the newly remodeled bone matrix or are eaten by osteoclasts. The osteoclasts are inhibited by the bisphosphonates, bone “turnover” is suppressed, and the bone is unable to remodel, resulting in osteonecrosis.
Necrotic exposed bone does not seem to appear in long bones of the body. Researchers suspect that the necrosis of the jaws is due to the more vascular blood supply and the increased remodeling of bone around the periodontal ligaments.
BON seems to be associated with the maxilla and mandible due to an increased demand for bone remodeling associated with occlusal force, periodontal infection, irritation from a poorly fitting prosthesis, or trauma resulting from bone invasive extractions.
Treatment of BON
At this time, no treatment has been successful in stopping the progression of bisphosphonate necrosis associated with BON. Discomfort may be eliminated with long-term antibiotic coverage and Peridex Rinse.
Recommendations
The dentist and oncologist should communicate throughout the patient’s bisphosphonate treatment. If possible, the dentist should examine the patient prior to intravenous bisphosphonate therapy or within three months of initiation of treatment. (There is low incidence of BON occurring within the first six months of intravenous therapy.)
The dentist should discuss the patient’s history of cancer treatment, oral complications associated with the treatment, and type of bisphosphonate being used. Ideally, restorative care should be completed prior to bisphosphonate administration, but can be completed post-administration. Bone-invasive procedures such as dental extractions should be avoided.
Endodontic therapy should be considered for treatment of severely decayed teeth rather than extractions, which cause bone trauma.
The dental hygienist’s role in treatment
The dental hygienist may be the first person on the dental team to discover spontaneous necrosis of the jaws. The patient may mention that he/she feels a “rough area” against the tongue, but may not be aware of the full extent of the necrosis. At other times, or after secondary infection becomes apparent, necrotic bone associated with BON makes it difficult for these patients to eat, speak, or perform routine oral hygiene.
The goal of the dental hygienist treating the patient with BON is to promote periodontal health. Frequent prophylaxis should be performed with as little trauma as possible. If the denuded bone areas are asymptomatic, plaque may be removed with a soft webbed cup and a fine polishing paste or toothpaste.
Mobility, pocketing, and gingival inflammation should be noted by the hygienist, as these may be indicators of secondary infections. Oral hygiene instruction is very important to eliminate any secondary infection.
Case report
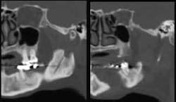
An 83-year-old woman presented to my office in 2004 with pain associated with a lesion on her left mandible. She reported that the area appeared spontaneously. She informed me that she had been diagnosed with multiple myeloma six years before and treated with monthly IV Zometa.
Her previous dentist had referred her to a periodontist who recommended surgery. (As early as 2003 her oncologist had informed her that there appeared to be a relationship between IV Zometa usage and jaw necrosis. He told her never to have dental extractions.) She declined the recommended periodontal surgery.
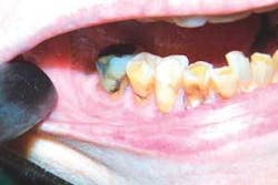
Upon examination, I noted exposure of the mandible on the lingual running from Teeth Nos. 18 and 19. At that time there was no information available to suggest treatment of this problem, and the patient and I agreed to monitor the situation.
The patient was seen for prophylaxis every six months between 2004 and 2006. Occasionally the patient reported abscess and pain on the lower right molar area. Alternating antibiotics eliminated this pain until May 2006, when the patient’s husband reported that the infection was not responding to antibiotic therapy. The patient had limited opening of the mouth and could not eat.
She was immediately referred to an oral surgeon. Upon examination he discovered mandibular necrosis around Tooth No. 31. The situation had become life-threatening, as the infection was now out of control and spreading through the soft tissue, floor of the mouth, and buccal space.
After much discussion, the patient and her husband agreed to extraction of No. 31 knowing that necrosis of the right mandible would probably occur. The patient was admitted to the hospital for incision and drainage of the lower right mandible and extraction of No. 31.
At the two-month evaluation, we were pleased to see healing and gingival closure of the extraction site.
References
- Ruggiero SL, Gralow J, Marx RE et al. Practical guidelines for the prevention, diagnosis, and treatment of osteonecrosis of the jaw in patients with cancer. J Oncology Practice 2006; 2:7-14.
- Migliorati C, Casiglia J et al. Managing the care of patients with bisphosphonate-associated osteonecrosis. JADA 2005; 136:1658-1668.
- Bagan J, Jimenez Y et al. Jaw osteonecrosis associated with bisphosphonates: multiple exposed areas and its relationship to teeth extractions. Study of 20 cases. Oral Oncology 2006; 42:327-329.
- Markiewicz M, Margarone J et al. Bisphosphonate-associated osteonecrosis of the jaws. JADA 2005; 136:1669-1674.
- Marx RE, Sawatari Y et al. Bisphosphonate-induced exposed bone (Osteonecrosis/Osteopetrosis) of the jaws: risk factors, recognition, prevention, and treatment. J Oral Maxillofacial Surgery 2005; 63:1567-1575.
- Ruggiero S, Mehrotra B et al. Osteonecrosis of the jaws associated with the use of bisphosphonates: a review of 63 cases. J Oral and Maxillofacial Surgery 2004; 62:527-534.
- Migliorati C. Bisphosphonates and oral cavity avascular bone necrosis. J Clinical Oncology 2003; 21:4253-4254.
- Melo M, Obeid G. Osteonecrosis of the jaws in patients with a history of receiving bisphosphonate therapy. JADA 2005; 136:1675-1681.
- Edwards B, Hellstein J et al. Expert panel recommendations: dental management of patients on oral bisphosphonate therapy. ADA June 2006.
- Marx R. Pamidronate (Aredia) and zoledronate (Zometa) induced avascular necrosis of the jaws: a growing epidemic. J Oral and Maxillofacial Surgery 2003; 61:1115-1117.




