Alveolar osteitis: Etiology, prevention, and treatment
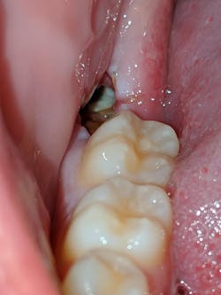
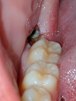
Alveolar osteitis or “dry socket” is one of the most common complications associated with extraction of teeth, especially mandibular third molars. The pathophysiology, causes, and treatment are often debated even to this day due to a complex and multifactorial etiology which is why I have cited a single comprehensive review. Birn, in a series of articles from 1963–1977, noted the pathophysiology of alveolar osteitis to be a fibrinolysis of the postextraction blood clot within the extraction socket. Dissolution and/or exfoliation of the blood clot, before the formation of sufficient granulation tissues, then exposes the remaining alveolar bone and associated nerves within the extraction site to air, debris, bacteria, and saliva which may irritate the area, producing symptoms for the patient. The result is pain, which may be localized or radiate to the ear, possible swelling of the area, and occasionally a bad odor in the mouth.
How and when does alveolar osteitis occur?
Related reading:
- Dry socket and prevention: What to tell your patients
- Dodging the dreaded dry socket: Tips on preventing this painful possibility
The timing of alveolar osteitis is one to three days postsurgery in the reviewed literature. In my experience, most patients present with pain starting or increasing three to seven days postsurgery and report minimal discomfort prior to the start of symptoms. This difference in the literature and practice experience further indicates the ambiguity associated with dry sockets.
Prevention of dry socket
There are many opinions regarding the prevention of alveolar osteitis. Irrigation of the surgical site with 0.12% chlorhexidine during surgery or postoperative use of 0.12% chlorhexidine, steroids, and systemic antibiotics have been proposed from a medication perspective. Reducing the physical formation of a vacuum, such as sucking through a straw, and nonaggressive rinsing of the surgical site seem to be the mechanical component in reducing blood clot exfoliation from the extraction site.
Treatment of alveolar osteitis
Treatment of alveolar osteitis, in my experience, consists of debriding the area with irrigation of the site and, if necessary, instrumentation of the socket to remove debris from the site. An obtundent dressing is then placed into the extraction site using Iodoform gauze or Gelfoam as a carrier. The medicament compound placed onto the carrier/dressing varies by personal preference. These compounds usually consist of an analgesic (eugenol), topical anesthetic (benzocaine), and antimicrobial (Iodoform). This dressing covers and quiets exposed nerves and physically prevents debris from entering the extraction site.
The dressing is removed every three to four days to prevent toxic shock reactions, and the site is irrigated when a new dressing is placed. The patient can also use oral pain medications (ibuprofen, Tylenol, etc.) during this period. This process is repeated until symptoms have resolved.
Editor’s note: This article first appeared in Through the Loupes newsletter, a publication of the Endeavor Business Media Dental Group. Read more articles and subscribe to Through the Loupes.
Reference
- Kolokythas A, Olech E, Miloro M. Alveolar osteitis: a comprehensive review of concepts and controversies. Int J Dent. 2010;2010:249073. doi:10.1155/2010/249073
About the Author
Steven Vukas, DMD, MD
Steven Vukas, DMD, MD, is an oral and maxillofacial surgeon who, at the time of the creation of this article, was in private practice in the greater Buffalo, New York, area for the last 17 years. He earned his DMD from the University of Pittsburgh in 1992 and completed his residency in oral and maxillofacial surgery at the University of Rochester (New York) in 1999. During his residency, he earned a degree in medicine from the University of Rochester in 1997. Dr. Vukas is on faculty at the University of Buffalo School of Dental Medicine and is an attending physician at Erie County Medical Center and the Kalieda Health System. Contact him at [email protected].
Updated January 11, 2022



