Striking the right balance � Trends in tooth bleaching
By Jaimeé Morgan, DDS
Consumer awareness of tooth-whitening via bleaching has dramatically increased due to the recent introduction and massive advertising of numerous over-the-counter bleaching products. This spike in interest can prove to be a benefit to the dental practice as well. Patients frequently consult with their dental professionals for answers to questions regarding safety and efficacy and also to seek their dentists' blessings in pursuing this type of "do-it-yourself dentistry." This provides an opportunity for clinicians to educate their patients and inform them about the benefits of dentist-supervised bleaching systems. Discussing the extensive research that has been done to show the safety and efficacy of dentist-prescribed tooth-bleaching agents is another way of helping your patients make an informed decision about which path they will take in their bleaching endeavors.
Thanks again to clever advertising, consumers also are becoming more curious about in-office bleaching procedures using special lights that claim to enhance the whitening results. Fortunately, these ad-enlightened patients generally approach their trusted dental professionals for answers. Regardless of the technique, materials, or equipment used by a dental office, the patients' inquiries give the clinician the incredible opportunity to inform them about bleaching regimens and how they will benefit the patients. It is comforting to know that a wide variety of safe, effective, and reasonably priced bleaching materials are available for dentist-prescribed at-home bleaching as well as in-office "power bleaching." As a result, tooth whitening can be achieved without expensive lights or sizeable investments in equipment.
Debut of at-home bleaching
The introduction of at-home bleaching in 1989 breathed new life into a dwindling bleaching market. At-home bleaching continues to be the method of choice due to reduced chair time, convenient application, less expenditure, simplicity, a high success rate, and high safety for the patient and dentist. Because bleaching is dependent on contact time and dosage, a viscous, sustained-release bleaching agent used in an overnight, at-home bleaching regimen generally results in the least amount of sensitivity and provides the greatest bleaching efficacy in a single application per day. A recent study showed a sustained-release 10% carbamide peroxide gel with potassium nitrate and fluoride (Opalescence 10% PF, Ultradent) caused the least amount of sensitivity when compared to other leading "no-sensitivity" bleaching gels. The same study showed that, when sensitivity did occur, it was for the least amount of time for the 10% carbamide peroxide gel that contained potassium nitrate and fluoride when compared to the other no-sensitivity bleaching gels.
The need for speed
Although at-home bleaching treatments are the favored method, in-office or "power" bleaching is still a viable option for many patients. The patient who desires an accelerated result may prefer in-office bleaching. Patients who brux, have TMJ disorder, or those who have hypersensitive gag reflexes may be better served with an in-office procedure. Those who may be non-compliant with at-home bleaching should be considered for in-office bleaching. Patients who are in the inactive or holding phase of their orthodontic treatment will benefit from in-office bleaching even while their brackets are still attached. The bleaching effect is not limited to that area of the tooth that it contacts; therefore, the agent will bleach under the bracket as well. Teeth with intense dark stains may respond quicker when in-office bleaching is performed periodically in conjunction with a home bleaching regimen.
Customize the treatment
Depending on the type and intensity of the stains to be bleached, successful results may be seen with at-home tray bleaching in as few as three to five nights of bleaching. For others, a bleaching regimen of six to 12 months may be necessary. For in-office bleaching, successful whitening may be accomplished in one visit, or it may take multiple visits. It is important to wait about two to three days after in-office bleaching to evaluate the shade of the teeth. Significant dehydration of the teeth can occur during the bleaching procedure that can lead to a pseudo-super-whitened result. Once the teeth rehydrate, they will not appear as white and the patient may be disappointed with this perceived color rebound. When a patient asks how long it will take to whiten their teeth, consider following Dr. Van Haywood's (Medical College of Georgia) advice and let them know you're going to "bleach until they are white."
CASE PRESENTATIONS
Case 1
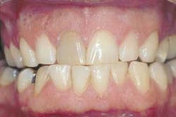
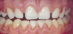
A 17-year-old male presented with moderate yellow staining on his teeth (figure 1). Yellow stains are usually the easiest, quickest, and most predictable stains to bleach. The patient was treated with a 10% carbamide peroxide at-home bleaching gel containing potassium nitrate and fluoride (Opalescence 10% PF, Ultradent), which has been shown to cause less sensitivity than other "no-sensitivity" bleaching products. The upper arch was bleached to completion prior to bleaching the lower arch (figure 2, below).
This method provides patients with a reference as to how much their teeth have whitened when compared to the unbleached arch; it also results in better compliance and increased patient satisfaction. We followed Dr. Haywood's advice and we "bleached them until they were white." It took approximately seven nights to bleach each arch (figures 3 and 4, above).
null
null
null
null
Case 2
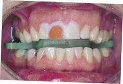
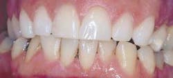
This 18-year-old female had good reason to get started with her whitening as soon as possible. She informed us that she would be participating in the Miss Utah USA Pageant in two days and we, of course, wanted to give her a show-stopping smile. Along with the typical mild-to-moderate tooth staining traditionally presented by patients of this age, she also had white spots on her teeth (figures 5 and 6, above). She was informed that the white spots may appear to become slightly whiter at the initiation of the bleaching treatment, but would quickly plateau and, with continued whitening, the adjacent tooth structure should whiten to match or to better blend with these areas, making them unnoticeable or less noticeable. Microabrasion polishing has been shown to be effective in removing superficial white spots and also provides a super-lustrous surface that camouflages the remaining white discolorations. Cheek retractors, a tongue retractor combination bite block (Isoblock, Ultradent), and a syringeable, light-cured resin gingival barrier (Opal Dam, Ultradent) were used to protect the soft tissues and isolate the teeth to be bleached (figure 7, above). This method of isolation is much faster than using a rubber dam and certainly more comfortable. A 38% chemically activated hydrogen peroxide bleaching gel (Opalescence Xtra Boost, Ultradent) was applied to the teeth from 1st premolar to 1st premolar on the upper arch (figure 8). The gel was removed and reapplied every 15 minutes for a total of three applications (figure 9).
Her smile looked great for the Miss Utah Pageant and it looked even better for the Miss USA Pageant (figures 10 and 11, below).
null
null
null
null
null
null
null
Case 3
A 35-year-old male presented with a very dark upper right central incisor (No. 8, figure 12, above). The tooth tested positive for vitality and there was no evidence of pulpal pathology. We used a combination technique, treating No. 8 with a chemically activated 38% hydrogen peroxide in-office bleach (Opalescence Xtra Boost, Ultradent) before any of the other teeth were bleached (figure 13). After the initial treatment of three 15-minute applications, some whitening was evident. The patient returned to the office seven days later for another in-office application of the 38% hydrogen peroxide to the tooth. It was confirmed at the second appointment that the tooth was responding very well to the bleaching treatment. The patient finished bleaching No. 8 while tray-bleaching the rest of his teeth with a 15% carbamide peroxide at-home bleaching gel (Opalescence 15% F, Ultradent) (figures 14 and 15, below).
The single dark tooth can present a challenge when bleaching. Some cases may respond in a relatively short period of time while others may require an extended bleaching regimen.
null
null
null
null
Case 4
A 17-year-old male was approximately two weeks from having his orthodontic appliances removed. Due to the patient's small teeth, direct bonding would be used to close the remaining diastemas and provide a more appropriate length-to-width ratio for the anterior teeth. The patient expressed his desire to have his teeth whitened prior to the bonding and requested the bonding be done the same day his braces came off. Although it has been reported that bleaching compromises bond strengths, these adverse effects dissipate in approximately 14 days once the bleaching has been stopped. To avoid compromising the bond strengths, the teeth were bleached two weeks before the brackets were scheduled to be removed. The 38% hydrogen peroxide in-office bleaching gel (Opalescence Xtra Boost, Ultradent) was placed around each bracket and, since the bleach penetrates into the tooth and goes in all directions, the brackets do not prevent bleaching, even though they are covering part of the facial surface of each tooth (figure 16, below).
Two weeks later, the brackets were removed (figure 17, above) and the diastemas restored with composite resin (figure 18, below).
With enough time, almost any type of stain will respond to bleaching. Unfortunately, our own overzealous expectations leave us disappointed when our patients have not bleached out to "glow-in-the-dark white" after three days of home bleaching or after one in-office treatment. Inform patients that every case is different. Tell them that the whitening effect may be immediate or it may take months, but, considering the conservative nature of the treatment and the results that can be obtained, it's well worth the effort.
null
null
null


















