New Products
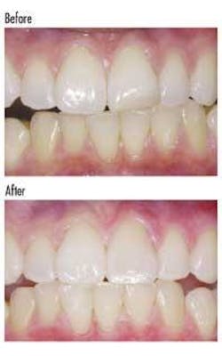
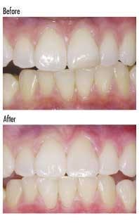
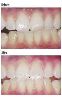
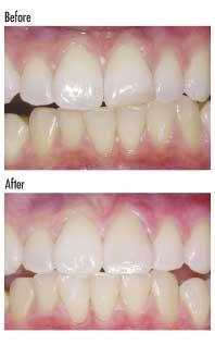
Highlight: CEREC® 3 Veneer Software
Achieving outstanding results has never been easier or more convenient than with CERECs new veneer software. Replicate an existing tooth for a perfect match, or access an onboard library for design suggestions. For more information, call (800) 873-7683 or visit www.cereconline.com.
New CEREC® 3 software for precise veneers
The CEREC 3 from Sirona is taking restorative control to a new dimension with its updated software. It features new three-dimensional design modes for veneers, including “Database” and “Replication.”
“Database” can suggest a veneer design from its built-in Lee Culp library of anatomies, making the design of standard veneers fast and convenient. “Replication” can replicate or mirror any existing morphology for veneers. For example, if only tooth No. 8 requires a veneer, simply take a digital picture of No. 9, mirror it, and paste it into the design of tooth No. 8 for a perfect match.
The updated software also includes a new “Form Tool” that makes shaping contacts and occlusal anatomies easier, and a “Block Position” feature. This allows you to position the restoration within a virtual representation of a VITA® TriLuxe™ all-ceramic block to achieve better integration into the remaining dentition.
For more information, call your Patterson representative, branch, or call (800) 873-7683. Also, visit www.cereconline.com.
CosmeCore® resin core material
CosmeCore is a new dual-cure, automix, resin core material from Cosmedent, Inc., developed for high strength in core build-ups. Easy to use, CosmeCore eliminates hand-mixing, has excellent flowability with no slumping, and preps like tooth structure. CosmeCore is available in three versatile shades - A2, white, and blue - to either match tooth color or shaded to easily differentiate core material from tooth structure.
Advantages include high strength to ensure a long-lasting result, clean cutting and easy preparation, radiopacity to distinguish from tooth structure, exceptional handling properties, and, it’s economical - one core build-up pays for the whole tube.
CosmeCore is available in 50-gram cartridges. For information, call (800) 621-6729 or visit www.cosmedent.com.
New analgesia scavenger from Matrx
Matrx announces its newly designed Matrx scavenger. More lightweight and with fewer parts than comparable units, the new scavenger is easy to use and comfortable. It also provides better balance on the patient’s face, resulting in a better seal and optimal gas delivery and scavenging. Additionally, its exterior scavenging cone design can remove peripheral waste gas. All eight parts are autoclavable and latex-free. The Matrx scavenger meets or exceeds the ADA-recommended flow rate of 45 lpm.
A free canister of Matrx DynoMite hoods is offered with any scavenger purchase, or one free scavenger is offered with purchase of any new analgesia mixer and scavenger. For more information, call (800) 847-1000.
“Nano-Gold” improves biocompatibility
Precision Ceramics Dental Laboratory has announced that all porcelain-fused-to-metal restorations will receive an electrolysis 24-karat gold treatment. This improves biocompatibility and reduces the likelihood of bacterial colonization. The laboratory is using the latest nano-particle technology whereby a dual-electrode, temperature-controlled anodization cell synthesizes 24-karat gold nano particles of different symmetries to create a deep gold color, micro-mechanical retention, and improve biologic characteristics.
Precision Ceramics offers the world’s first and only unconditional lifetime guarantee on every restoration and prosthesis.
For more information, call Mark Jackson at (800) 223-6322 or e-mail [email protected].
IntelliClean System debuts
In an alliance of two major oral care brands, Royal Philips Electronics and Procter & Gamble announced the launch of the IntelliClean System from Sonicare and Crest, the first integrated power toothbrush and liquid toothpaste dispensing system designed for a deep clean that’s one step closer to the results of daily flossing.
The combination of Sonicare’s patented tech-nology and high-speed bristle motion coupled with specially formulated Crest liquid toothpaste creates a dynamic fluid cleaning action that drives the cleaning ingredients interproximally and into the sulcus.
The new system is the next step in a proactive approach to improved oral health. For more information, call (425) 396-2000 or visit www.sonicare.com; or call P&G at (513) 983-1100 or visit www.pg.com.
New EZ9™ and EZ10™ automatic sterilizers
Tuttnauer introduces its EZ9 and EZ10 fully automatic autoclaves. These autoclaves feature a contem-porary design with a new, easier-to-read, bright blue LED display panel. The EZ series is available in a 9-inch chamber (EZ9) and a 10-inch chamber (EZ10). Both models feature Tuttnauer’s active, closed-door, HEPA-filtered drying system to maintain sterility and ensure efficient drying of packs and pouches. Tuttnauer EZ autoclaves are backed by a two-year parts and labor warranty.
For more information, call (800) 624-5836 or visit www.tuttnauer.com.
Great Lakes introduces new resource
New from Great Lakes, the “Practical Guide to Orthodontic Appliances” is a 600-page, illustrated resource book for orthodontic clinicians who are interested in enhancing their skills and learning new techniques. Written by certified dental technician Brian D. Willison and Dr. Stephen P. Warunek, the book features more than 3,000 illustrations and information about orthodontic terminology, anatomy, theory, design, clinical procedures, and step-by-step appliance fabrication instruction.
Regardless of the reader’s clinical skill level, the book may be used to train dental technicians, as a standards manual for a laboratory, or to educate orthodontic clinicians about appliance fabrication. It includes the fundamentals of orthodontics, theory and application, advanced topics, case studies, instructional techniques, and chapter quizzes for student evaluation.
For more information, call (800) 828-7626 or e-mail [email protected].
Improved Flush Cut and Hold distal cutter
Hu-Friedy has improved its popular, one-of-a-kind Flush Cut and Hold Distal End Cutter. The updated cutter features a smaller head and tips for greater reach and easier access.
Hu-Friedy’s new cutter is the most innovative cutter available. You can cut wire distally flush to the buccal tube while reducing the likelihood of time-consuming debondings. Made with Hu-Friedy’s precision orbit joint and special blend of stainless steel, the Flush Cut and Hold withstands all forms of sterilization, maintaining its sharp blade and smooth operation.
For more information, call your authorized Hu-Friedy dealer representative, or call (800) HU-FRIEDY (483-7433).
TAK Earth Stone sets fast and bubble-free
Earth Stone gypsum composite was developed to eliminate the mess, the bowls, spatulas, vibrators, and long set-times. Inject the supplied liquid activator into the closed powder container. Shake for 20 seconds, remove the cover and pour a perfect, creamy, bubble-free mix. Earth Stone reaches full working hardness in 10 minutes for single-visit bleaching trays, mouth guards, denture repairs, and a host of formerly multi-visit tasks.
Earth Stone also is a new composition of dental stone. The chalky surface is gone and replaced with a silky-smooth, semi-gloss, epoxy-like surface with abrasion resistance significantly greater than yellow stone and accuracy equal to Class IV die stones.
Earth Stone is $29.95, packaged 18 units to a box. For more information, call TAK Systems at (800) 333-9631 or visit www.taksystems.com.
Maxima® Pure Power curing light
Henry Schein introduces a new high-output Maxima Pure Power curing light, offering an increased power turbo tip and 10-second audible tones for precise curing. The curing light package contains an 8 mm turbo tip, an 80-watt bulb, a light shield, and instruction manual. The Maxima Pure Power accepts all Demetron light guides and is sold with a one-year warranty.
Sullivan-Schein is the exclusive distributor of Henry Schein brand products. For more information, call (800) 372-4346 or visit www.sullivanschein.com.
Powerprox Six Month Braces™ Technique
The Powerprox Six Month Braces Technique is a fantastic procedure you can offer your patients. It can be used as a stand-alone procedure or as a way to enhance the results of your cosmetic and reconstructive cases. You will work on patients who want to be there and refer more patients to you. The Powerprox Six Month Braces Technique can be easily worked into your existing general dentistry practice. The Powerprox Six Month Braces Technique is what dentistry is all about - improving smiles and providing for your family. To order the book or view upcoming seminar schedules, go to www.sixmonth braces.com.
Direct Bond Lingual Retainer Wire
Ortho Organizers is offering a new option for lingual retention, the Direct Bond Lingual Retainer Wire. Formed from three tightly wound stainless steel filaments, this .032” wire will not unravel when cut, while the surface contours of the spiral generate the ability to bond directly to the lingual teeth without a need for bonding pads or end loops. The twist in the wire facilitates long-term stability with physiological tooth movement and can be cut in any length desired and bonded with composite resin at each end, or to any combination of teeth as necessary within the segment. Direct Bond Lingual Retainer Wires are available in 7-inch lengths in packs of 20.
For more information, call (800) 547-2000, or visit www.OrthoOrganizers.com.
New bird beak with cutter
Hu-Friedy, the world’s leading manufacturer in hand-held dental instruments, is introducing its new Bird Beak with Cutter to its line of orthodontic instruments.
The new instrument is a beautiful blend of Hu-Friedy cutter and wire-forming technology. This allows the clinician to perform basic changes with one instrument, saving time and effort. The Bird Beak with Cutter bends and cuts all stainless steel wire .025” and below. The elongated bird beak allows for more room to shape wire.
The instrument is crafted from Hu-Friedy’s exclusive Immunity Steel®, providing smoother bends, sharper cuts, and corrosion resistance. One instrument. Two functions. Zero corrosion.
Call (877) HF-ORTHO (436-7846) for more information.
Intensiv Ortho-Strips from AXIS Dental
Intensiv Ortho-Strips from AXIS Dental provide the solution for one of the most challenging aspects of orthodontic procedures - interproximal stripping. When providing orthodontic treatment, interproximal stripping by standard means such as standard diamond burs, diamond discs, and manual diamond strips present their problems. Intensiv Ortho-Strips, together with the 61LRG low-speed head from KaVo, provide a predictable solution to this problematic procedure. This irrigated system reduces friction and heat, resulting in more patient comfort and no risk of harming tooth structure. Reduction and contouring can be achieved from multiple angles as the handpiece rotates 360°. This combination provides the dentist with a predictable and easy-to-use system that will enhance productivity.
For more information, call (800) 355-5063 or visit www.axisdental.com.
Illuminated expansion screw key
Exclusively from Great Lakes Orthodontics, Ltd., the AcuLight™ expansion screw key features a focused beam of light which allows users to more easily insert the pin into the activation hole for accurate, predictable advancement.
A unique locking mechanism holds the pin in place after activation to prevent back-driving of the screw when the key is removed. AcuLight will ensure that accurate advancement is easy for patients and parents. The single-patient-use key is lightweight and ergonomically designed, and features an easy on/off light switch.
For more information, call (800) 828-7626, or e-mail [email protected].

















