Real Life Orthodontics
WRITTEN BY
Karen Reese, DDS, MS, and
Trudy Bonvino, DDS, MS
In this era of managing age-related changes, adults seek orthodontic care more often than in the past. According to the American Association of Orthodontists, 20 percent of orthodontic patients are adults. This equals almost one million patients being treated by orthodontists in the United States and Canada.
Adults typically present with a greater variety of treatment needs and expectations. Their treatment plans often require an interdisciplinary approach, and orthodontic treatment is only part of their plans. Some patients have already experienced comprehensive orthodontics as a child. They may have treatment needs but may not be willing or able to undergo a second course of fixed appliance therapy. With the growing number of removable appliance options, there is usually a solution to accommodate these patients.
Periodontal status is of particular concern to adults, who are more likely to be affected by periodontal disease and may need a more in-depth assessment prior to orthodontic treatment. In several scenarios, orthodontic treatment may be sought to improve their periodontal situation. For example, severe crowding of mandibular anterior teeth may be relieved by removing a lower incisor, followed by orthodontic treatment (see Figure 1). Orthodontics may also be used to enhance bone support where teeth are missing. In an area where a tooth is missing and bone grafting will not provide support for an implant, orthodontics may be used to move a tooth into the edentulous site. The site previously occupied by the repositioned tooth often has better bone support to permit implant placement.
One of the major differences between children and adults is the lack of jaw growth. Discrepancies in jaw growth may be handled to a limited extent through orthodontics. However, significant discrepancies in the skeletal bases or a desire to achieve profile changes are usually best treated with orthodontics in conjunction with orthognathic surgery (see Figure 2).
Adults often present with worn teeth, either from bruxism or a traumatic occlusion. For those with traumatic occlusion, orthodontics may be necessary to provide a proper foundation for restorative work. Below are examples of two patients who presented with traumatic occlusion. Both sought a consultation for cosmetic treatment because they were not pleased with their smiles. Both were told they needed orthodontic treatment prior to starting restorative treatment.
The patient in Figure 3 presented with a Class III pattern of growth. From a facial standpoint, it appeared that the discrepancy required orthognathic surgery to correct the occlusion. The patient also displayed severe maxillary crowding and negative overjet on all anterior teeth. Upon examination, however, it was determined that the patient exhibited a mesial shift between centric relation and centric occlusion.
The maxillary incisors erupted in a retroclined position, forcing the patient to posture her mandible forward to bring her posterior teeth into occlusion. This type of occlusion is often referred to as pseudo-Class III.
The patient was treated orthodontically for 12 months. Her maxillary crowding was relieved by the removal of one bicuspid tooth. Fixed appliances were used to procline her maxillary anterior teeth, thus removing the traumatic anterior interferences. The size, shape, and color of her teeth will be subsequently improved with veneers (Figure 3).
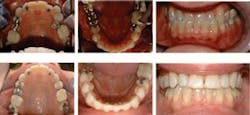
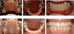
The patient in Figure 4 exhibited a Class III skeletal pattern with maxillary and mandibular spacing and minimal anterior overbite and overjet. He was unhappy with the worn appearance of the maxillary anterior teeth, but was unable to have them restored due to their current position. It was determined that consolidating the patient’s mandibular anterior spaces would provide clearance for restorative work. The lower arch was treated with Invisalign for 10 months. No attempt was made to improve the lower midline. Following orthodontics, the patient’s maxillary arch was restored with posterior crowns and anterior veneers (Figure 4).
In a 2004 study conducted by the American Academy of Cosmetic Dentistry, 99.7 percent of Americans felt that a smile is an important social asset. The same study also found that 74 percent of adults believe that an unattractive smile can hurt a person’s chance for career success. Some of the smile characteristics people notice are straightness of teeth, whiteness of teeth, and “sparkle” of a smile.
Orthodontics plays an integral role, either alone or in conjunction with cosmetic dentistry, in improving people’s smiles. Figure 5 illustrates a patient who needed orthodontics prior to placement of veneers. The goal of orthodontic treatment was to provide proportionate spaces around maxillary anterior teeth.
One of the largest segments of adults seeking treatment are those with orthodontic relapse. The information available today about retention supports the use of indefinite retention. Patients who have not continued with retention into their adult years may experience gradual changes in the alignment of their teeth. Some of the most common changes are relapse in mandibular anterior crowding, return of maxillary midline diastemas, and space opening at extraction sites. Many of these patients are candidates for aligner therapy, followed by lifelong retention (see Figure 6).
There are so many opportunities to enhance people’s lives and smiles. Orthodontics can play an integral role in designing and executing a treatment plan for patients to have the smile they desire. ■
The authors wish to thank Drs. Steven Boger and Patrick Prochaska for their restorative expertise in treating these patients.
Karen Reese, DDS, MS
Dr. Reese is an orthodontist in New Hope, Minn. She was named one of the top orthodontists in the area by Minneapolis St. Paul Magazine in July 2002. An author and lecturer, she is involved in organized dentistry at the local and national levels. You may contact Dr. Reese at [email protected].
Trudy Bonvino, DDS, MS
Dr. Bonvino is an orthodontist in Blaine, Minn. A member of many prestigious orthodontic associations, she is the recipient of numerous honors and awards for her work in the field of orthodontics. You may contact Dr. Bonvino at [email protected].










