Study reports orthodontics introduced early may benefit young children with severely protruding teeth
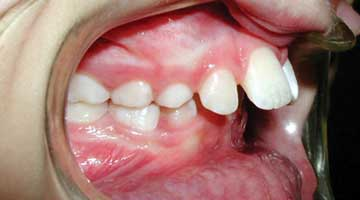
Young children (ages 6–10) with severely protruded upper front teeth, commonly called “buck teeth,” are at increased risk for dental trauma and may benefit from an orthodontic correction, according to a study published recently in the American Journal of Orthodontics & Dentofacial Orthopedics. (1) The study found that approximately 1 in 3 children who were treated for severely protruding teeth were less likely to experience dental trauma (such as a chipped, broken, or knocked out permanent tooth).
“Active children who play organized sports or love the playground and who have severely protruding teeth may benefit from early intervention by an orthodontist,” says Morris N. Poole, DDS, president of the American Association of Orthodontists (AAO).
ADDITIONAL READING | Ankylosed primary teeth with no permanent successors: What do you do?
“Youngsters with protruding teeth don’t have adequate lip coverage to protect their teeth from a blow or a fall. The result of losing or damaging a front tooth in childhood becomes a lifelong problem. We only get one set of permanent teeth, and the corrective measures to restore or replace a broken or lost tooth can be expensive, and likely will need to be repeated over the course of a lifetime.”
“Protruding front teeth cause other problems for children. The ‘bite’—the manner in which the upper and lower teeth meet—may be improper, and make it difficult for a child to bite food or to chew properly. The condition can interfere with speech for some individuals. And there’s an emotional toll, too, for children who may be bullied because of their teeth,” says Dr. Poole. “Interceptive treatment addresses the immediate protrusion problem. Parents need to know that most patients will require a second phase of treatment after most or all of their permanent teeth are in to move teeth into their final, optimal positions.”
ADDITIONAL READING |Orthodontic options for the ectopic eruption of a maxillary first molar
“Parents should also understand that children go through what we call an ‘ugly duckling’ phase, when permanent teeth begin to emerge and seem too large or appear to be spaced incorrectly,” Dr. Poole says. “Most children will ‘grow into’ their teeth and go through this phase without the need for orthodontic treatment. But for those children whose teeth protrude significantly, I recommend parents take their child to an orthodontist for an evaluation.”
AAO’s Find an Orthodontist service at www.mylifemysmile.org can locate nearby AAO members. Orthodontists are specialists in the diagnosis, prevention, and treatment of patients who have misaligned teeth and/or jaws. After graduating from dental school, prospective orthodontists are required to successfully complete two to three additional academic years of study in orthodontics at an accredited orthodontic residency program. Only those with this level of formal education may call themselves “orthodontists.” Only orthodontists are admitted for membership in the AAO.
Reference
1. Thiruvenkatachari B, Harrison J, Worthington H, O’Brien K. Early orthodontic treatment for Class II malocclusion reduces the chance of incisal trauma: Results of a Cochrane systematic review. American Journal of Orthodontics & Dentofacial Orthopedics. 2015;148:47–59.
About the American Association of Orthodontists
Founded in 1900, the American Association of Orthodontists (AAO) is the world’s oldest and largest dental specialty organization. It represents 18,000 orthodontist members throughout the United States, Canada, and abroad. The AAO encourages and sponsors key research to enable its members to provide the highest quality of care to patients, and is committed to educating the public about the need for, and benefits of, orthodontic treatment.
| READ MORE CLINICAL ARTICLES ON DENTISTRYIQ |


