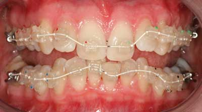
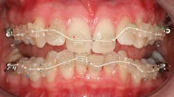
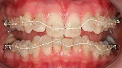
Six Month Smiles from the dental patient's perspective
Photo courtesy of Six Month Smiles Ever wonder what patients’ experiences are with braces? What do they really feel as they go through each step of the process, and what are their thoughts? You can find out here in this blog about a patient’s honest, firsthand experience with the Six Month Smiles Cosmetic Braces System.BEGIN BLOG HERE.


