Oral symptoms of systemic pathology in a 17-year-old female
Presentation
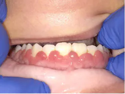
A 17-year-old female presented to a dental school clinic with a chief complaint of a sudden, painless swelling of her gingivae (figures 1 and 2).
Diagnosis
In two weeks, the patient returned for a follow-up appointment. The tissue had grown back almost to the original levels (figures 4 and 5). Note the intense red color of the maxillary gingivae.
At this follow-up, the biopsy report was available. Here is a quote from that report: “The histomorphology when combined with the clinical presentation and positive staining with MPO and high proliferation index is highly suggestive of acute myeloid or promyelocytic leukemia. The patient should be quickly evaluated by hemo-oncology with this in mind.”
Top causes of gingival enlargement and treatment options
Mysterious lesions, Lemonheads, extreme oral herpes, and more
An almost-vague radiodense lesion, mysterious mole, and a tongue top 5
Treatment and discussion
The patient was referred to the University of Florida’s Children’s Hospital, where she was treated and went into subsequent remission with chemotherapy. With a timely diagnosis and swift treatment, young people typically respond quickly and favorably. Treatment programs may include chemotherapy, radiation, stem-cell transplant, immunotherapy, or bone marrow transplant.
Myeloid leukemia involves the rapid growth of myeloid blood cells that build up in the bone marrow and prevent the normal production and maturation process. Promyelocytic leukemia is a more aggressive form of myeloid leukemia. In young individuals, these conditions are most often associated with several chromosomal abnormalities. Sudden gingival enlargement is not an uncommon symptom.1 It may occur in patients with non-Hodgkin’s lymphoma.2
Certain medications may initiate gingival hyperplasia. It is common in renal transplant patients who are treated with cyclosporine and a calcium channel blocker.3 Other medications such as carbamazepine, phenytoin, topiramate, and valproic acid are all possible triggering agents.4 Finally, certain immunosuppressants have the potential to trigger gingival hyperplasia.
Editor’s note: This article first appeared in Through the Loupes newsletter, a publication of the Endeavor Business Media Dental Group. Read more articles and subscribe to Through the Loupes.
References
- Demirer S, Ozdemir H, Sencan M, Marakoglu I. Gingival hyperplasia as an early diagnostic oral manifestation in acute moncytic leukemia: a case report. Eur J Dent. 2007;1(2):111-114.
- Raut A, Huryn J, Pollack A, Zlotolow I. Unusual gingival presentation of post-transplantation lymphoproliferative disorder: a case report and review of the literature. Oral Surg Oral Med Oral Pathol Oral Radiol Endod. 2000;90(4):436-441. doi:10.1067/moe.2000.107446
- Hood KA. Drug-induced gingival hyperplasia in transplant recipients. Prog Transplant. 2002;12(1):17-21. doi:10.7182/prtr.12.1.k0605089820vt807
- Hatahira H, Abe J, Hane Y, et al. Drug-induced gingival hyperplasia: a retrospective study using spontaneous reporting system databases. J Pharm Health Care Sci. 2017;3:19-27. doi:10.1186/s40780-017-0088-5
About the Author
Charles Patterson, DDS, MS, MBA
Charles Patterson, DDS, MS, MBA, has had an extensive career spanning private practice, military service, teaching, publishing, lecturing, and research. With more than 30 published articles, he has lectured to dental organizations nationwide, at Bethesda National Medical Center, and in Japan and Korea. His statistical research studies and educational materials have been used by the Department of Defense since 1996. He has collaborated with various federal agencies including NCIS, CID, the Veteran’s Administration, plus several universities. Dr. Patterson holds degrees in applied mathematics, dentistry, orofacial pain (TMD), and economics. A father of five, he also plays a mean rock-and-roll guitar. Contact Dr. Patterson at [email protected] or at (630) 546-7366.
Updated July 21, 2022






