Pathology: Pain on the left, pain on the right
Editor's note: Originally published May 2016. Updated September 2023.
Case presentation
A healthy 37-year-old male presents with pain on the lower-left and lower-right sides of his mouth. He states that he drinks a lot of soda, and he knows his teeth are bad. He feels like the area is swelling, and the associated pain is keeping him from sleeping.
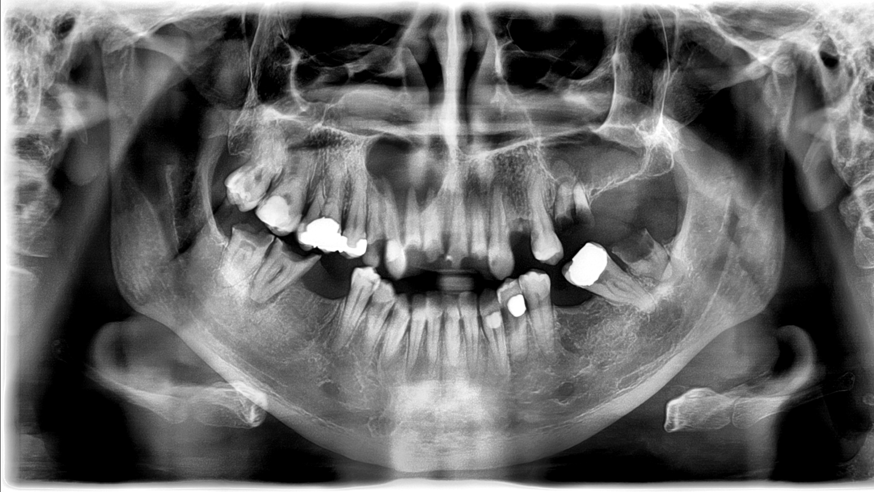
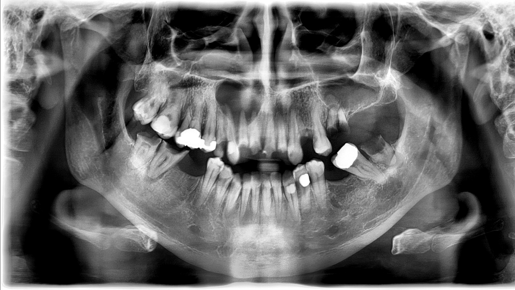
A limited exam reveals rampant decay. The panoramic radiograph shows badly decayed teeth on the lower right side, with an apical radiolucency and associated swelling in the buccal vestibule. Also noted is a well-defined radiolucency above the apexes of tooth nos. 5–9. There is some expansion around the bone; the lesion is not fluctuant or mobile. Nos. 5–9 are severely decayed.
Differential diagnoses
- Traumatic bone cyst
- Periapical granuloma
Definitive diagnosis
Odontogenic/periapical (radicular) cyst
Treatment and discussion
Radicular cysts are primarily found in the maxilla (60%) and are the most common of odontogenic cysts (52%).1 Clinically, they are typically asymptomatic and found via radiographic examinations. If there is pain, it is due to a slow growth and subsequent swelling.
Radiographically, these lesions have well-defined borders with an oval/round radiolucency.1 If the lesion is large enough, the roots of adjacent teeth can be displaced; jaw fracture is a possibility if the lesion is large enough and in the right location.
Other complications include “squamous cell carcinoma and epidermoid carcinoma arising from the epithelial lining.”1
Treatment is complete enucleation of the cyst and surrounding lining.
The patient presented to the oral surgeon’s office, and all remaining maxillary teeth except nos. 6–11 were removed. Prognosis is good. A partial is in the patient’s definitive treatment plan.
You may also be interested in ... Pathology with different appearance at different stages
Reference
- Morrison A, Magliocca KR. Mandible-maxilla cysts of the jaw: radicular (periapical) cyst. PathologyOutlines. Updated March 25, 2014. https://www.pathologyoutlines.com/topic/mandiblemaxillaperiapicalcyst.html
About the Author

Christopher Shumway, DDS
Christopher Shumway, DDS, graduated from the University of Wisconsin–Madison, with a degree in zoology in 1999. In 2004, he graduated with honors from Marquette Dental School. He is a member of the American Dental Association, Wisconsin Dental Association, and Washington/Ozaukee County Dental Association. In addition to working in Slinger, Wisconsin, Dr. Shumway provides care to underserved children at a clinic in Green Bay two days a week. Outside of dentistry, his hobbies are fishing, running, camping, backpacking, and gardening.
