One of my favorite things right now: Venus Pearl One and Venus Diamond One
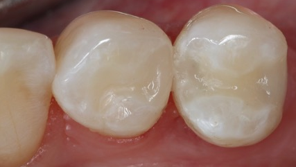
Single-shade composites can be an excellent solution to create efficient and esthetic direct restorations. An additional benefit of single-shade composite systems is that we can minimize the amount of inventory that is maintained in the dental practice.
Kulzer recently introduced Venus Pearl One and Venus Diamond One to the dental industry. Both are nanohybrid composite resins and have excellent physical properties, including high flexural strength and low shrinkage stress. The difference between the two: Venus Diamond One has a firm consistency, and Venus Pearl One has a creamier consistency.
While I prefer the handling of one over the other, I’ve enjoyed this technology and the reliability of both of these composites to create esthetic and durable restorations on both anterior and posterior teeth. These are definitely one of my favorite things right now!
Photos courtesy of the author.
Related articles
- One of my favorite things right now: Easy Flow
- One of my favorite things right now: PureVac HVE
- One of my favorite things right now: TriPlaqueID
- One of my favorite things right now: Carbon Nitrile Gloves
- One of my favorite things right now: Custom composite shade tabs
Editor’s note: This article first appeared in Through the Loupes newsletter, a publication of the Endeavor Business Media Dental Group. Read more articles at this link and subscribe here.
About the Author

Pamela Maragliano, DMD
Pamela Maragliano, DMD, is the chief editor of Dental Economics. Based in Salem, Massachusetts, Dr. Maragliano began her clinical career as a dental hygienist. She went on to attend Tufts University School of Dental Medicine, where she earned her doctorate in dental medicine. She then attended the University of California, Los Angeles, School of Dental Medicine, where she became board-certified in prosthodontics. Dr. Maragliano owns a private practice, Salem Dental Arts, and lectures on a variety of clinical topics. You may contact her at [email protected].



