Tips for temps (part 1)
Marshall Fagin, DDS, a prosthodontist, offers some insights regarding preplanning, material choices, and techniques for achieving easier, faster, and better temporary restorations.
Great temporaries can have a significant positive impact on impression-making and delivery appointments because they contribute to tissue health, and they can also provide the dental laboratory with valuable insights to contours and occlusion of the final restoration. Great temporaries depend on preplanning with diagnostic wax-ups and proper tooth preparation.
Preplanning
Whether the teeth being treated are discolored, missing, rotated, tipped, supererupted, worn, periodontally compromised, or restored, a diagnostic wax-up can give insight into the necessary tooth preparation requirements, esthetic changes, and occlusal corrections, whether for crowns, bridges, or veneers. A diagnostic virtual wax-up can be done digitally, using intraoral scanners and software. One can then print or mill a temporary with polymethyl methacrylate (PMMA) with precision.
Temporaries designed from diagnostic wax-ups can provide templates for the final restorations, so the dentist and patient can learn how they respond to esthetics, phonetics, altered vertical dimension, and occlusal changes. For the lab, an incisal index is a helpful tool for duplicating upper widths, lengths, overbite, and overjet. A fast-set putty such as Ivoclar Vivadent’s Virtual XD is great for this (figures 1–4). From temporization, the dentist can also gain insight about where improvement in the patient's home care is needed, and the patient will become more cooperative and motivated.
Figure 1: Incisal putty matrix of temp model to guide lab on final prosthesis
Figure 2: Index of temporary as a matrix for final prosthesis
Figure 3: A golden section divider used to design golden proportion
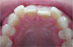
Figure 4: Confirming golden proportion and width symmetry
A clear vacuform for full coverage or a cut-back putty matrix for veneers can help determine preparation needs relative to the amount of reduction required and the final restorative material being used, especially when tooth rotations and sizes are being altered (figures 5–9).
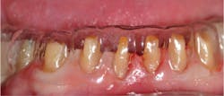
Figure 5: Worn dentition
Figure 6: Clear vacuform prep reduction guide
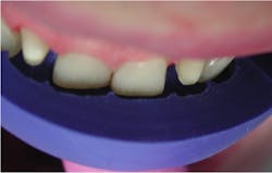
Figure 7: Teeth prior to preps
Figure 8: Diagnostic wax-up with guide
Figure 9: Prep index
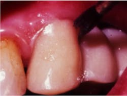
Margin placement is also important to healthy tissues. Subgingival placement is dependant on material choice, smile line, root color, emergence profile requirements, past cervical decay, and erosion history. Having the preparation follow the crest of tissue—whether at or slightly below the crest—will aid in the clinician's ability to capture a quality impression and get temps that fit well (figure 10).
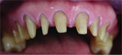
Figure 10: Preps follow the crest of tissue
With multiple preparations, a parallel path of insertion will ease the draw and fit of the temporary. A large photo mirror, rather than a small intraoral mirror, can make it easier to check this. If there are lost fillings or undercuts, a light-cured glass ionomer liner can be placed to quickly correct the issue and eliminate the risk of locking in the temps. It also makes it easier to insert multiple final crowns in any sequence.
Material choices
The two primary materials used for temporization are made from bisphenol A glycidyl methacrylate (bis-GMA) and PMMA. When using bis-GMA, making the final impression first, especially when the margins are subgingival, will retract the tissues and allow for flow of the material to capture the preparation margins. When using PMMA, the initial form can be made before the impression, and the reline can be done after the impression, including use of a preprocessed temporary or digitally milled temporary. However, if the impression is not being done that day and the margins are subgingival, it will be easier to capture the margins with a reline of PMMA. When laser troughing is being done with the impression technique, either system will work well after the impression. With both veneers and crowns, using a bis-GMA material—such as ExperTemp (Ultradent Products), Telio CS C&B (Ivoclar Vivadent), or Turbo Temp 3 (Danville Materials)—can produce great results with minimal shrinkage and little to no heat, in comparison to any of the PMMA materials.
Techniques with bis-GMA
For excellent detail with bis-GMA temporaries, I have found Ivoclar Vivadent’s fast-set Virtual XD putty to be exceptional as a matrix for fabricating crowns, short-span bridges, onlays, and veneers. When placing it over your diagnostic wax-up, use a petroleum jelly, such as Vaseline, on your glove to smooth and press it in place, extending at least two teeth beyond the area involved at each end, if possible (figure 11). With longer spans, consider more extension for stability.
Figure 11: Vaseline is used to shape the putty matrix
A two-minute setting time allows more than enough time to smooth the matrix with the Vaseline, flattening off the top and keeping it thick for more strength to avoid flex in the longer spans. Cut the putty matrix back to within a millimeter of the margins. For posterior areas, always cut anterior at contact of a specific tooth for quick positioning. For the anterior area, place a pencil line down the middle between the two centrals. This will allow you to quickly position the matrix filled with the bis-GMA material (figure 12).
Figure 12: Note the detail inside the Virtual XD fast-set putty matrix
Before seating the filled matrix, be sure the teeth are dried off completely to eliminate contaminants and increase accuracy of fit.When injecting the selected shade of bis-GMA material, position the tip of the syringe in the incisal or occlusal area of the matrix and keep the tip immersed in the material to prevent voids. Only fill the area you are restoring.
After the two-and-a-half-minute setting time, remove the matrix, and using a plastic instrument, scrape away all of the excess material. Even scrape where you cannot see the material because being so thin and transparent, it's easy to miss. Using a curved hemostat, gently wiggle the temporary, engaging areas that are thicker like the contacts, to avoid breakage. Straight hemostats do not engage well.
With veneers, there are often open embrasures that can trap the bis-GMA material. To avoid this, block embrasures by teasing a flowable block-out material into them from the lingual with an explorer, and then light cure. Sometimes with more significant gingival undercuts below contacts on posteriors, you can decrease the undercut with recontouring. Or you can use the end of a plastic instrument coated with Vaseline to place a small amount of block-out material, such as Putty Block-Out (Ultradent Products), below the contact to avoid trapping and breakage upon removal.
After gently and carefully removing temporary, use alcohol on a piece of cotton and scrub off the oxide-inhibitor layer, both on the inside and outside. Using magnifiers and a sharp pencil under overhead light, mark the margins and contacts. This aids in speed and accuracy for trimming. Then, using a high-speed with a medium-grit pointed diamond (NTI No. M863-012, Kerr [formerly Axis]), trim and carefully shape the temporary margins and contacts to the pencil line for maximum accuracy (figure 13).
Figure 13: High-speed shaping of bis-GMA
The embrasures can be opened using a thin, flexible diamond disc (NTI No. D911 HEF-220T, Kerr [formerly Axis]; figure 14). If any overtrimming, short margins, or open contacts occur, you can always go back and do an add-on procedure with either the fast-setting (one-minute) Super-T from AMCO Corp. (figures 15 and 16), or you can place and cure Excite F adhesive (Ivoclar Vivadent) on the temporary while out of the mouth, seat the temporary, and then place a flowable composite such as Tetric Flow (Ivoclar Vivadent), teasing it into position with a perio probe or an explorer, and light cure it (figure 17).
Figure 14: Diamond disc for shaping embrasures with bis-GMA
Figure 15: Short margin needs an add-on
Figure 16: Super-T is brushed on to repair the margin
Figure 17: Tetric Flow composite is used to correct the margin
After corrections are made, tease out the temporary, mark it with pencil, and trim it. Open the embrasures enough so that a floss threader can get through. Sometimes you might anticipate a certain amount of tissue papillae healing from the laser troughing or cord packing. If that is the case, provide adequate embrasure to allow for healing. The ideal distance from contact to bone is 5 mm.
Editor's notes: This article is the first in a two-part series. Part 2, comparing bis-GMA with PMMA, will appear in the June 28 issue of the Product Navigator. The article first appeared in the United Kingdom–based journal, Private Dentistry, and it has been edited and republished with permission.
Marshall Fagin, DDS, is a prosthodontist who practices in Buffalo, New York. He is a national and international lecturer and educator, frequently updating his colleagues on the most recent advances in cosmetic, implant, and reconstructive dentistry. He has held teaching positions at the School of Dental Medicine at Buffalo, the University of Florida (Gainesville), Pac Live at the University of the Pacific (San Francisco), and the Misch International ImplantInstitute (Detroit).

















