Make the jump: Raise the ceiling on practice growth with CBCT
I didn’t go to dental school, so I’m not sure if this subject is part of the curriculum. But I firmly believe that every dentist and doctor should be aware of the vast difference between 2-D versus 3-D, or cone beam computed technology (CBCT). Imagine using a long-distance rifle without a scope, performing tiny surgical stiches without loops, or driving a car without a windshield. Yes, these things were all mainstream and the best available technology at one point, but you’re behind the times if you’re still relying on them.
The cost of a 3-D panoramic image is not insignificant. I’m sure anyone with more than three years left to practice has asked the price question at some point. Is the upgrade worth it? The answer is a resounding yes, with a caveat—you get out of it what you put into it, and much more for your investment. Join me here for a journey through the finer points of upgrading.
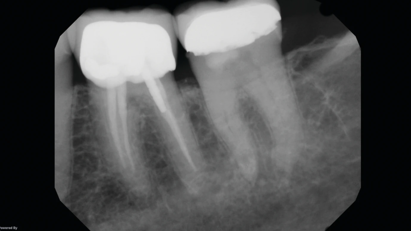
Right off the bat, appearance is everything; not just the machine itself, but the images you present to your patients. This is possibly the most dramatic change, somewhat akin to telling a patient you’re going to replace their drill session with pain-free laser treatment. The color, image quality, and detail are so far above and beyond your 2-D scans that you’ll be dumbfounded you waited so long take the plunge.
Integration with other systems is of paramount importance in technology. Pairing the right systems can lead to new procedure opportunities and off-the-chart convenience. CAD/CAM and 3-D imaging equipment of the same brands are made to work in harmony, and when possible, competing brands are working together using software to communicate seamlessly. Where many offices scan the mouth and send the images to a specialist for such work as implants, 3-D imaging allows you to handle more cases internally, with the information to handle cases from start to finish. Did you know that doing one more implant per month will offset the cost of CBCT in many instances (assuming current price and interest rates)? That’s just the start.
Regarding profit increases, it varies by one’s desire to jump out of his or her comfort zone, but suffice it to say the sky’s the limit, and some studies say profits increase from 35% to 40%. According to Jack Pruitt of Dentsply Sirona, doctors can’t thank him enough for the gentle push to make the jump. “I have not had one dentist tell me he or she is sorry for upgrading to 3-D. The addition is like getting amazing new living room furniture that you just can’t wait to show off, and people really respond to its presence. Everyone has increased production through more confident diagnosis, and that goes double for those who pair it with CAD/CAM.”
Anyone in the know will tell you that an increase in diagnoses will proportionally increase case acceptance; that’s just a numbers game. How far your practice can go taking on these new procedures raises the ceiling for your practice’s growth. Even if you don’t take on new procedures, simply being able to diagnose many more issues will elevate your perception in patients’ eyes. If you dare to take on more procedures and expand your horizons, wouldn’t you agree that growth is inevitable?
Sleep disorders
A lot of recent attention has been focused on the importance and benefits of sleep. Naturally that leads to discussion of the disorders that keep people from that consistent, ever-elusive good night’s rest. Of all of the physical and psychological reasons for sleep disorders, one of them can be found with origins and diagnoses in the dental wheelhouse, so to speak. I’m referring to sleep apnea, or more specifically, obstructive sleep apnea (OSA). This is a cessation or reduction in breathing due to a blockage in normal air flow.
An estimated 22 million Americans suffer from sleep apnea. Worse yet, approximately 80% of the most serious cases are still undiagnosed. The practice of using 3-D technology to discover/diagnose OSA has been documented by the British Institute of Radiology in October 2016 and again in April 2020 by the Journal of Clinical Sleep Medicine (JCSM). The use of CBCT technology has become instrumental in diagnosing sleep apnea. In fact, many dental practices spend time discussing their findings with their patients when the scans illuminate a sleeping and/or airway issue.
The American Academy of Sleep Medicine published a study suggesting that 3-D could become a primary tool in screening for OSA. The sheer knowledge of being able to show patients they might have a sleep disorder that they wouldn’t have otherwise known about, let alone addressed, is satisfying, but it also opens up the practice to a whole new field of study and potential. In some cases, sleeping issues carry very serious consequences; you could be saving lives.
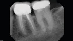
For those on the fence due to cost, there are 2-D upgradeable units. But with the declining costs of 3-D technology during the last 10 years, it’s debatable whether it’s worthwhile to postpone what will soon be mainstream. As I’ve often written, better to immerse oneself in the technology and become comfortable with what your competition already knows; 3-D is the present and the future. Those who wait to take the plunge risk being left behind. Look at the visual differences between 2-D and 3-D and tell me you don’t need this.
I’m not a salesman, but more of a student of practical analysis and dental office economics. It seems to me that making the jump to 3-D not only pays for itself but increases case acceptance and has a visual, psychological effect on a practice’s patient base. In today’s rapidly changing world, if you aren’t moving forward and growing, you might as well be going backward.
Matthew Newman is the operations manager for the Baltimore/DC/Northern Virginia region of Patterson Dental. A 20-plus year veteran of operational management, he has spent most of his career in the fields of distribution center management and hospitality. He writes articles on operational management, office synergy, and a variety of other topics. He may be contacted by direct message on LinkedIn.
About the Author

Matthew Newman
Matthew Newman is the VP of sales operations, marketing and public relations for CAD-Ray North America. a distributor of practical CAD/CAM solutions, and home of the Medit intraoral scanner. A 20-plus year veteran of operational management, he has spent his career in the fields of dental B2B, operations management, and hospitality. Newman writes articles about operational management, office synergy, startups, and a variety of other topics. He can be reached through direct message on LinkedIn.
Updated December 15, 2024
