Dental trauma: A hygiene student's case study
By Lauren Wilgenbusch, Minnesota State University, Mankato
May 7, 2013
Tooth avulsion is among the most common and serious dental injuries. According to the American Academy of Pediatric Dentistry, it is defined as “the complete displacement of a tooth out of its socket.” It is responsible for up to 16% of all dental injuries in the permanent dentition. Healing of an avulsed tooth often presents a challenge and depends on the vitality of the cell layers along the root surface. Immediate replantation at the accident site is the most critical determinant for the survival of avulsed teeth. Delay in replantation will perpetually result in root resorption and loss of the tooth (Kenny, 2006).
Complications after replantation of avulsed teeth are common and have conveyed incidence rates ranging from 57% to 80% (Nesiama & Sinn, 2010). Complications may arise during the next several years of regular dental exams, including ankylosis, excessive mobility of the tooth, and resorption. Other complications that can emerge consist of discoloration, infection in the pulp, and reinclusion of the tooth as a result of root replacement resorption and ankylosis (Emerich & Wyszowski, 2010). Most replanted teeth will be lost in five to seven years even if root canal therapy has been done after replantation (Nesiama & Sinn, 2010).
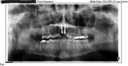
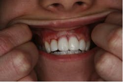
The patient, a 13-year-old female, was seen for emergency treatment in July 2005. The child was catapulted over the handlebars of a bicycle, resulting in the avulsion of the right and left permanent maxillary central incisors. The avulsed teeth were left dry in the palm of her hand for 10 minutes until she reached the hospital where the teeth were placed in milk. Other oral injuries included a laceration on the right side of the philtrum, which was sutured. Examination of the avulsed teeth revealed that the crowns were intact but the mesial incisal edges of both were fractured. Treatment options were explained to the parents and replantation of the avulsed teeth was chosen. She was referred to a local dentist to have the teeth replanted. The roots of the teeth were planed to remove any debris and were then reinserted into the alveolar socket and secured with a splint for six weeks. During the next year the patient had root canals done, followed by metal posts and PFM crowns placed on the avulsed teeth (Figure 1).
Due to the patient’s age at the time of trauma, the crowns were replaced five years later with lava crowns, which are porcelain crowns with a zirconia framework inside (refer to figure 2a and 2b).
One year after the crowns were replaced, the teeth became mobile. The patient went in for an appointment and radiographs confirmed external root resorption had occured around the reimplanted teeth (refer to figure 3).
The root resorption in this case was most likely due to PDL damage. Treatment options were explained and the decision was made to extract the teeth and place dental implants. She was referred to a Mankato, Minnesota oral surgeon for the implants.
Implants in the anterior region signify a particular challenge for oral surgeons. The ideal outcome is normal, natural-looking teeth, but that is not always a possibility. Many considerations need to be made in order for the implants to look as natural as possible, such as the need for bone and tissue grafting (Block, 2001).
When extracting a tooth with intentions of replacing it with an implant, the decision needs to be made whether to do an immediate implant placement or delayed placement. In this case, infection was not present, so implants were able to be placed immediately.
In the case of the patient, bone grafting was needed and was performed at the same time as extraction and implant placement. Most anterior maxillary tooth sites have insufficient bone and soft tissue, requiring both bone and soft tissue augmentation (Block, 2001).
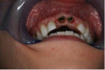
The oral surgeon, Dr. Richard Kim, D.D.S., M.D., explained how the procedure went. “When the patient first came in, she was put to sleep with intravenous general anesthesia. When she was asleep, I removed teeth numbers eight and nine. For immediate extraction with implant placement, the first initial pilot hole is placed a little bit lingually from the extraction site. You want the top of the implant to come out where the tooth cingulum would be so that more porcelain can be placed toward the buccal of the crown. After this, you go in with a 2-millimeter wide twist drill, then a larger tapered twist drill, and keep increasing the diameter of the drill until you reach the desired size, which was 4.3 mm in this case. I used Tapered Groovy Titanium Nobel Biocare implants for the patient at a size of 4.3 mm in diameter. The implants had threads which made it a little wider so it could engage the bone. I then used a torque wrench to tighten the implant into the bone and I was able to obtain a force of 45 Ncm2, which tells you the primary stability of the bone. I then placed bone allograft, which included BMP-2, to promote bone regeneration. The last step was securing the healing abutments, suturing up the tissue, and adjusting the flipper to fit.” (Refer to figure 4.)
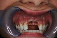
As previously stated, the gingival flap performed on the patient during the implant surgery resulted in blunted papillae on all four of the maxillary incisors, revealing one millimeter of cementum on the lateral incisors and shrinking the tissue making the healing abutments visible over the flipper. Composite was added to the apical portion of the flipper to mimic tooth structure and conceal the abutments (refer to figure 5).
The patient and oral surgeon agreed to do a cosmetic procedure called a subepithelial connective tissue graft to correct the problem. The subepithelial connective tissue graft produces exceptional color matching at the recipient site and should be considered whenever soft tissue grafting is recommended in an area of esthetic concern (Sclar, 2003). This patient received a closed bilateral palatal subepithelial connective tissue graft one month after the implants were placed. The procedure went as followed: A horizontal incision was made on the palate approximately three millimeters apical to the premolars and ranged from the mesial of the first premolar to the distal of the second premolar. A second incision was then made, which determined the thickness of the donor site. The tip of the scalpel was then reinserted inside the second incision, parallel to the palatal tissue and another incision was made, which created a subepithelial pouch. Following, vertical incisions were made within the pouch through the connective tissue to define the width of the donor site. An incision was made at the most apical portion and the connective tissue was then dissected from the subepithelial pouch. Donor tissue is composed of connective tissue, epithelium, fat, and periosteum. It was instantaneously taken and placed over the recipient bed, where it was then adjusted and sutured into place. The recipient site was prepared beforehand by revealing some connective tissue and obtaining a blood supply for the donor tissue. An absorbable collagen dressing (CollaPlug) was then placed in the subepithelial pouch to fill the dead space and aid in hemostasis. The wound was then sutured closed and healed by secondary intention (Sclar, 2003).
The patient was healing well until a week after the surgery, when a suture became unfastened, mobilizing the tissue and exposing the facial and mesial root surfaces of number seven. The patient returned for a post-op appointment and the area was examined. The oral surgeon (Dr. Kim) attempted to repair it at the appointment. The patient was anesthetized with local anesthesia, a connective tissue bed was made at the recipient site, and Alloderm was positioned over the exposed root surface of number seven and immobilized with sutures. Alloderm connective tissue grafts are composed of freeze-dried human cadaver skin with all immunogenic cellular components removed (Sclar, 2003). A coe-pak periodontal dressing was then placed over the surgical site to provide protection, help prevent postsurgical bleeding and assist in shaping newly formed tissue. The allograft failed and the mesial and facial root surfaces of number seven were exposed once again.
The patient was then referred to a periodontist with optimistic expectations of a successful tissue graft. She was seen for a consult and a treatment plan was developed. The patient had a mucogingival defect at the facial and mesial surfaces of number seven; each presented three millimeters of recession. The papillary tissue between numbers seven and eight was absent, which presented a particular challenge for the periodontist since lost papillary tissue previously could not be regenerated. The patient returned for surgery two weeks later. Local anesthesia was used on the patient. A connective tissue bed was made on the recipient site. To receive a decent color match, the donor tissue was taken from the attached gingiva on the buccal side of teeth numbers two and three; the papilla was included in the donor tissue. It was then transplanted onto the connective tissue bed and sutured into position with the donor papilla replacing the missing papilla between teeth numbers seven and eight. A periodontal dressing was placed over the donor site to aid in healing and the patient was dismissed. The patient returned for a post-op appointment two weeks after the procedure and a good response was shown with a wide band of keratinized soft tissue support, partial facial root coverage, and regeneration of a mesial papilla.
After healing of the epithelial graft, the patient returned to her general dentist to have the abutments and crowns placed. The healing abutments were removed, impressions were taken and shades were matched and sent to the lab (refer to figures 6a and 6b).
The patient returned two weeks later for the crown fitting. The doctors were successful in regenerating some of the tissue on tooth number seven but were not efficacious in restoring the tissue apical to the implants. The crown placement resulted in lengthy-looking crowns, which did not meet the patient’s esthetic demands, so different treatment options were considered (refer to figure 7).
It was agreed to use pink porcelain crowns. The use of gingiva-colored ceramics in addition with a fixed prosthesis has been recommended for treatment of gingival recession (Capa, 2007). It can be challenging to achieve natural gingiva color so a gingival shade guide was sent to the office and used to match the tissue. An intraoral photograph was taken to assist the technician in providing the proper gingival color (refer to figure 8).
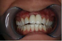
Pink porcelain was added to the crowns and shaped to accommodate with the anatomical contours of the maxillary incisors and completed with a glaze. They were returned to the office for the patient to evaluate. She was satisfied so they went ahead with treatment. The maxillary lateral incisors still consisted of inadequate tissue coverage (refer to figure 9), so composite material was placed on the facial and mesial surfaces to coronally extend the crown of the teeth.
The abutments were then secured into the implant site and the pink porcelain crowns were cemented into place. Radiographs were taken to confirm adequate crown placement and photographs were taken of the final result (refer for figures 10, 11a and 11b).
Conclusion
Dental hygienists play a key role in maintaining the replacement of avulsed teeth. They are faced with the challenge of treating patients who have avulsed teeth and educating them with proper oral hygiene instruction so they last for years to come, whether they are reimplanted or replaced with dental implants. Patients that have successfully undergone dental implant surgery should receive treatment modifications during dental care. All patients with dental implants should be treated with plastic instruments in the affected area because stainless steel or titanium instruments may scratch the surface of the implant promoting the growth of plaque biofilm; the use of ultrasonic machines should also be avoided (Todescan, Lavigne & Kelekis-Cholakis, 2012).
Individual treatment modifications may also have to be considered depending on the past periodontal health of the patient. Several studies have shown that prior periodontal infections are a significant source of periodontal pathogens and may proliferate to the dental implant. Other factors that put patients at greater risk include the presence of diabetes mellitus, poor plaque control, and cigarette smokers. Patients with any of these qualities should be closely monitored on a regular basis in hopes of extending the life of their dental implants (Todescan et al, 2012).
A thorough understanding of the clinical signs on peri-implant diseases is critical to the prognosis of the implant. There are many clinical examinations that can be used to discover the health status of a dental implant. This includes a soft tissue assessment, plaque index, clinical probing depths, bleeding on probing, suppuration, stability of soft tissue margins, mobility, and bone levels (Todescan et al, 2012).
The soft tissue assessment entails checking for clinical signs of gingival inflammation, including edema, redness, and variations of delineation and uniformity. A plaque index measuring system should also be utilized during the clinical examination. Studies have shown that implants sprayed with titanium plasma that possess a rough surface have higher plaque retention rates than smooth surface implants. On the other hand, other studies have shown no correlation between the surface texture of an implant and plaque retention. However, caution is advised when monitoring rough surfaced implants because of the possibility of greater amounts of plaque accumulation (Todescan et al, 2012).
Probing is an essential and dependable diagnostic guideline in the longitudinal monitoring of peri-implant tissues. A plastic probe should be utilized at recall appointments to measure the midaspect of the mesiobuccal, buccal, distobuccal, mesiolingual, lingual, and distolingual surfaces of the abutment. At the initial appointment after the placement of the implant, baseline probing depths should be determined. Probing depths for traditionally placed implants with supraosseous platforms generally range from two to four millimeters. Intraosseous implants or implants placed at bone level may display slightly greater probing depths. Increase in clinical probing depths along with bleeding upon probing and suppuration are generally associated with loss of attachment and should be regarded as a peri-implant disease. The clinical assessment should also include monitoring the soft tissue margins in relation to the fixed dental implant. Apically migrating gingival tissue may expose the implant surface to bacteria, increasing biofilm accumulation. Any recession around the implant should be noted and monitored (Todescan et al, 2012).
Mobility should be routinely evaluated by means of manual examination or automated testing devices such as the Periotest dental measuring instrument or the Ostell instrument. The cause of any signs of mobility should always be determined if possible. Mobility may be due to failure of the prosthetic or osseointegration. If the implant device moves as a whole unit, failure has occurred and the device should be removed (Todescan et al, 2012).
If clinical signs imply peri-implantitis is present, radiographs should be taken to confirm the diagnosis. At each recall appointment, an effort should be made to calibrate radiographic techniques so that the relationship between bone and implant can be well defined. It is also important to establish baseline bone levels after implant placement for comparison reasons (Todescan et al, 2012).
There are three diagnoses that can be made in regards to the health of dental implants. Healthy is when no clinical signs of inflammation are present. Implant mucositis is characterized as a localized inflammatory lesion within the soft tissue, and may be recognized by redness and bleeding upon probing. Peri-implantitis is identified by a localized inflammatory lesion which also includes attachment loss around an osseointegrated dental implant. It is often correlated with increased probing depths, suppuration, bleeding on probing, and loss of supporting bone (Todescan et al, 2012).
Daily plaque removal is the most critical factor in maintaining dental implants. Therefore, it is imperative the patient have a thorough understanding of their responsibility in preserving their implants along with proper at-home care techniques. An individualized oral hygiene regimen should be provided for the patient according to the condition of the soft tissues and extent of plaque accumulation and should be reviewed at every recall appointment. Home care devices that have been shown to aid in the maintenance of dental implants include soft toothbrushes, interdental brushes without metal wiring, end-tufted brushes, gauze, many types of floss, stannous fluoride gel, and chlorhexidine rinse (Todescan et al, 2012).
In conclusion, traumatic dental injuries such as avulsion can be accompanied by many complications and can also be time consuming and costly. In addition, they may affect many aspects of life such as function, appearance, and self-esteem. But with new technology and experts in their field, missing teeth and tissue can be esthetically replaced and maintained and the patient’s quality of life and self-esteem can be returned.
References
1. Block, M., (2001). Anterior aesthetic implant restorations: Surgical techniques for optimal results. Color Atlas of Dental Implant Surgery (pp. 109-158). Philadelphia, PA: The Curtic Center.
2. Capa, N. (2007). An alternative treatment approach to gingival recession: Gingiva-colored partial porcelain veneers: A clinical report. The Journal of Prosthetic Dentistry, 98(2), 82-84. doi: 10.1016/S0022-3913(07)60040-7.
3. Emerich, K. & Wyszowski, J. (2010). Clinical practice: Dental trauma. European Journal of Pediatrics, 169(9), 1045-1050. doi:10.1007/s00431-009-1130-x
4. Kenny, D. (2006). Whether to replant avulsed permanent teeth. Dental Abstracts, 51(1), 9-10. Doi:10.1016/j.bbr.2011.03.031
5. Nesiama, J. & Sinn, D., (2010). Tooth avulsion. Clinical Pediatric Emergency Medicine, 11(2), 108-111. Retrieved from http://www.sciencedirect.com
6. Sclar, A., (2003). Subepithelial connective tissue graft technique for dental implants. Soft Tissue and Esthetic Considerations in Implant Therapy. (pp.141-162). Carol Stream, IL: Quintessence Publishing Co, Inc.
7. Todescan, S., Lavigne, S., & Kelekis-Cholakis, A. (2012). Guidance for the maintenance care of dental implants: clinical review. Journal of the Canadian Dental Association , 78(107), 1-8. Retrieved from http://www.jcda.ca/article/c107
















