Heraeus Mondial Denture Teeth help end years of patient pain
SOUTH BEND, IND. — For all of her 33 years, Cheryl was afflicted with ectodermal dysplasia, a condition in which the teeth may be missing, pointed, widely spaced, or prone to cavities because of defective enamel. In her case, her baby teeth were misshaped, and since many of her permanent teeth failed to develop, each time she lost a baby tooth her remaining teeth would shift.
Those adult teeth that did develop were peg-shaped. Cheryl had to wear partial dentures at age 11 and braces at 19 and again at 31, and most of her teeth were sanded down. Despite all of this treatment, for virtually her entire life she suffered from near-constant mouth and headache pain, great difficulty in eating and speaking, and a smile that detracted noticeably from her appearance.
Cheryl refused to let these hardships prevent her from becoming the first and only member of her family to earn a college degree, graduating magna cum laude with a B.S. degree in psychology in May of 2010. The determination that led her to pursue a college education also led her to find a way to put her oral health nightmare behind her.
Shortly after her graduation, she attended the National Family Conference of the National Foundation for Ectodermal Dysplasias. Then, while visiting the foundation’s Facebook page in early 2012, Cheryl found a link to a news release describing how George Kirtley, DDS, of Indianapolis had given an edentulous 17-year-old ectodermal dysplasia patient a full set of Mondial® denture teeth. The teeth were manufactured and donated by Heraeus Kulzer, LLC, the worldwide leader in dental esthetics.
Cheryl decided to find an oral surgeon and a prosthodontist who would be willing to donate treatment for her. Fortuitously, in 2009 she had reconnected with a high school friend whose brother happens to be an oral surgeon. Her friend said she would be happy to ask her brother if he would be willing to help Cheryl. Alvin Stosich, DDS, MD, of the Utah Center for Oral and Facial Surgery, agreed immediately.
Cheryl emailed several prosthodontists near Dr. Stosich to seek their support. One replied that same day and said, “I find cases like yours to be very rewarding, and a big reason I love what I do.” That was Jonathan Rasmussen, DDS, who had worked on numerous other cases with Dr. Stosich.
Now that she had her volunteer clinicians lined up, Cheryl needed to procure the necessary materials—s pecifically, implants, and denture teeth. Both doctors contacted Nobel Biocare, which agreed to donate the implants. Cheryl contacted Lesley Melvin at Heraeus to inquire about their dental teeth. “Before I could even ask them for a donation,” she said, “Lesley told me they would be happy to give me the teeth at no charge.” Cheryl also applied for and was granted financial assistance from NFED, and she organized a fundraising event.
Treatment was in April. First, Dr. Stosich extracted all of Cheryl’s teeth from her upper and lower jaw. He then performed aveloplasty to remove bone and make room for the dentures and to preserve her smile line. Next, he placed four implants — two anterior and two posterior—in both the upper jaw and the lower jaw using an “all on four” technique that allows these implants to handle the entire load.
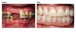
Dr. Rasmussen then placed the Heraeus’ Mondial® temporary denture teeth into the implants using one-piece prostheses that each held several teeth. The teeth were manufactured in conjunction with Dr. Rasmussen’s lab technician, Susan Howell of Howell Dental Labs. Cheryl will wear the temporary teeth for six months, at which time Dr. Rasmussen will fit her with permanent teeth. At that point, she will have either 24 new teeth from first molar to first molar, or 28 new teeth from second molar to second molar. She will have implant-supported fixed prostheses on both her upper and lower jaws, with screws permanently connecting them to the implants.
Despite this rigorous surgical procedure, on the day following her treatment Cheryl was experiencing less pain than she typically experienced every day for the past ten years.
According to Dr. Stosich, “The ‘all-on-four’ surgery is life-changing. Most people don’t realize that modern technology and scientific advancements make freedom from pain, embarrassment, self-consciousness and the inability to bite a reality.” In truth, he said, “a once edentulous person can now enjoy a great quality of life.”
Said Dr. Rasmussen, “As a specialist, I realize that part of my responsibility is to help out those who can’t pay me for my services. Dentistry is an enjoyable profession anyway, but it’s especially satisfying when you can help someone as pleasant, charming and determined as Cheryl improve her quality of life.”
Lesley Melvin, Heraeus Product Manager, said, “It’s always gratifying when talented and generous dental professionals use our innovative materials to transform a person’s life, but it’s particularly rewarding when that person has endured hardship with as much grace and perseverance as Cheryl has. She is a truly special person.”
June is Ectodermal Dysplasias Awareness Month.
For more information on Heraeus or its products, call (800) 431-1785or visit www.heraeusdentalusa.com.



