Extreme makeover
WRITTEN BY
Laurie Hare
Atlanta Center for Cosmetic Dentistry
Cosmetic dentist Dr. Debra Gray King is working her magic in Hollywood as part of the 'dream team' of doctors on ABC's hit series, 'Extreme Makeover.'
Given the nation's fascination with reality TV, the original one-hour special "Extreme Makeover" attracted an average of 13.2 million viewers. The spring series was such a hit that ABC has ordered a number of additional episodes for a full-time spot on its fall Thursday night lineup.
null
null
null
null
The show's premise revolves around the Cinderella-like transformation of selected viewers, via a "dream team" of doctors — a cosmetic dentist, a plastic surgeon, and an eye surgeon. Hair and makeup artists, stylists, and personal trainers are also on board to provide the finishing touches.
Dr. Debra Gray King, president of the Atlanta Center for Cosmetic Dentistry, showed the dramatic possibilities of cosmetic dentistry when she joined the renowned team of doctors and makeover specialists on the May 22, 2003, airing of "Extreme Makeover." The two cases we share in this article mimic the magic Dr. King does everyday in her practice. Teamwork with both the dental laboratory and the patient is essential whether the cameras are rolling or not.
null
null
null
null
"I was thrilled to have the opportunity to be on the show, because it gave me the chance to show what we do every day," said Dr. King, who was skiing in Utah with family when she received word she'd been selected. "My cell phone was in my ski pack U I had to stop on a dime and peel off my gloves to get to the phone!"
Dr. Bill Dorfman, the Beverly Hills dentist who is regularly featured on "Extreme Makeover," was influential in Dr. King's selection and also helped her get a California dental license in record time. The producers never knew the hoops that Dr. King had to jump through to accomplish this in only a few weeks. One requirement was to be fingerprinted in California with its live scan system. Dr. King flew to San Diego, hopped in a taxi, and sped to the fingerprinting office while the taxi driver waited outside. Once she was fingerprinted, she got back in the cab, traveled to the airport, and flew back to Atlanta — all in one day.
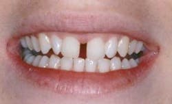
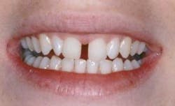
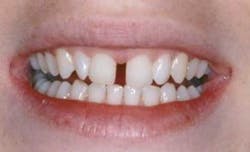
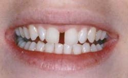
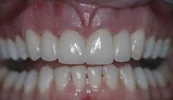
Many, if not most, of the show's guests want to change their appearance in a number of ways. But with Dr. King's first patient, Evelyn, her teeth were her greatest concern. A mother of three from Florida, Evelyn struggled with her smile her entire life. She presented with a large diastema between Teeth Nos. 8 and 9.
"She had a large gap between her two front teeth," notes Dr. King. "We were able to close it by placing porcelain veneers on the anterior teeth."
In addition, Evelyn's axial inclination from canine to canine was skewed. Her arch form and buccal corridor were close enough to ideal that Dr. King decided Evelyn would benefit most from six veneers. Due to the crooked arch form from 6 to 11, Evelyn also presented with gingival asymmetries, so gingival contouring was also in the treatment plan. Whitening with Discus Dental's Zoom in-office whitening system was done prior to the final shade selection. Evelyn wanted a very natural shade, so Dr. King chose a true B1 shade to be fabricated with feldspathic porcelain by Daniel Materdomini, master ceramist at da Vinci Dental Studios.
"The results were so dramatic that when Evelyn saw herself for the first time in the temporaries, she cried," shares Dr. King.
null
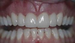
Dr. King's second patient, Sharon, had yellow, crooked, chipped teeth. A wife, mother, and identical twin, Sharon felt she was compared less favorably to her sister, who was viewed as the "pretty one." Dentally, Sharon presented with a narrow arch, discolored teeth, and uneven wear throughout. Dr. King believed Sharon would benefit most from increasing the negative space in her buccal corridor. By bonding porcelain veneers, Dr. King broadened, whitened, and straightened Sharon's smile.
Dr. King's treatment plan included 10 veneers to build out Sharon's arch and get complete control of her shade. Sharon wanted her teeth to be much whiter, so Dr. King ordered a B1+ shade in feldspathic porcelain from da Vinci Dental Studios.
Sharon also had concerns with her lower teeth alignment. She opted for orthodontic movement with a retainer. Both doctor and patient agreed that Sharon's lower teeth should be whiter as well, so they used Discus Dental's Zoom whitening system.
Dr. King recently received a note from Sharon stating that of all the procedures she had done, she was getting the most compliments on her new smile.
Dr. King smiles, "It's so gratifying to be able to change people's lives for the better."
How to contact Dr. King
Debra Gray King, DDS, FAACD, is president of the Atlanta Center for Cosmetic Dentistry and the founding president of the Atlanta Society of Cosmetic Dentistry. She is one of two women dentists to achieve fellowship status with the American Academy of Cosmetic Dentistry. Contact her at [email protected].












