Considering Today's Esthetic Direct Composites for Conservative Posterior Restorations
Today, with patient awareness of conservative treatment alternatives being greater than in previous years, we owe it to ourselves and our patients to discuss the use of direct composites whenever possible,1 even when the case presented may otherwise appear immediately suitable for indirect ceramic or resin inlay/onlay restorations. Without question, indirect all-ceramic or resin restorations satisfy a variety of clinical indications. However, in cases in which the removal of defective amalgam restorations reveals only shallow cavities that can be easily and esthetically restored chairside, the use of direct restorative composites may be indicated as the treatment modality of choice.2,3
To this end, the consideration of direct composites for posterior indications is much more feasible today than in past decades based on the esthetic restorations that can be achieved, as well as the physical properties that these materials demonstrate. In particular, today's materials enable us to achieve restorations that demonstrate natural-looking, polychromatic, and durable esthetics.1,2,4,5,6,7,8 Simultaneously, these materials now demonstrate the physical properties — such as wear resistance and strength — that we need to ensure treatment durability and long-term function.8,9
Additionally, manufacturers have addressed material characteristics that once affected the ease of use of direct composites for posterior applications. Specifically, newer generations of direct restoratives offer us improved handling properties, including high sculptability and/or flowability, in addition to greater esthetic versatility with wider shade ranges, varying opacities and translucencies, greater strength, and high polishability.10 Combined, these attributes make it easier for us, as clinicians, to deliver esthetic and conservative posterior restorations in a single appointment.
One family of materials, in particular, that has been recently introduced and used in clinical practice for esthetic anterior and posterior direct composite resin restorations is 4 Seasons® Universal Composite System and 4 Seasons® Flow (Ivoclar Vivadent, Amherst, N.Y.). According to the manufacturer, both products support universal application for anterior and posterior restorations and provide various enhancements in material, handling, and esthetic properties compared to previous generations of direct composites.
4 Seasons® Universal Composite is a monomer- and filler-based composite suitable for either a layering technique that requires just one shade, or anatomical build-ups in which the dentist follows the same techniques used by ceramists to mimic natural tooth structure. The composites in this logical, easy-to-understand system demonstrate optimal wear characteristics, exceptional handling, and fast and easy polishability. The system's "true colors" are divided into two shade groups — dentin and enamel — just like natural teeth. Within each group are subcategories that include a total of 40 shades, enabling us to maintain artistic control over the restorations we create.
4 Seasons® Flow, on the other hand, is a flowable, light-cured resin that demonstrates high radiopacity for easy detection on X-rays, along with optimized handling properties for controlled flowability. It enables us to predictably achieve esthetic results due to the composite's perfectly matched shades (seven A-D Vita shades, in addition to an extra-white Bleach shade). The inherent translucency of 4 Seasons® Flow mimics that of natural tooth structure, allowing restorations to virtually defy detection. As a result of the material's patented fine particle chemistry, restorations are quickly and easily polished for sustained luster. The new flowable resin also provides fluoride release for added confidence.
Case presentation
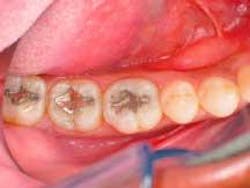
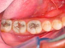
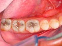
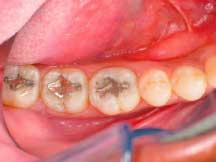
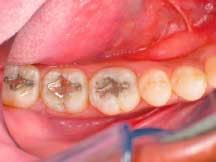
A male patient presented with failing 15-year-old amalgam restorations on Teeth Nos. 17 through 19 (Figure 1) and cold sensitivity on Tooth No. 19. Teeth Nos. 17 and 18 required Class I restorations, while Tooth No. 19 required a Class II restoration. Direct composite resin restorations (4 Seasons Universal Composite and 4 Seasons Flow) were deemed the more appropriate treatment for this patient. This was confirmed following removal of the amalgam restorations, which showed the shallowness of the cavities.
The clinician chose to restore these teeth utilizing the anatomical buildup technique. In this procedure, the 4 Seasons Value Shade Guide tabs were used prior to tooth preparation. The advantage of using the 4 Seasons shade guide is that the tabs are made with ceramic to ensure long-term color stability and consistent shade matching.
Further, these value shades provide three choices: high, medium, or low. This clinician finds that the medium value shade is appropriate in approximately 75 percent of the direct restorations she places.
The patient was anesthetized, and proper rubber dam isolation was placed. This step was crucial to a successful clinical outcome, since saliva contamination may have resulted in an adverse effect on the bond between the restorative material and the tooth.11
The amalgam restorations were removed using a cross-cut carbide bur, and the preparation walls were polished with a fine diamond to remove any remaining enamel tags, which would help contribute to greater adaptation of the composite.12 For the proximal box of Tooth No. 19, a medium grit diamond was used for the preparation, followed by use of a fine grit diamond.
1
2
3
4
5
6
Caries detector (Seek, Ultradent, Salt Lake City, Utah) was placed, and the teeth were then thoroughly rinsed and dried. Once the preparations and caries detection were complete, dentin shade tabs were used to determine the appropriate dentin composite shade for the cavity areas. Usually, the dentin shade selected for the anatomical buildup technique will be one to two shades darker than the original Vita shade of the unprepared tooth.
The teeth were then cleansed with hydrogen peroxide, rinsed, and dried three times prior to etching. A matrix band (Garrison Dental Solutions) was placed on the mesial interproximal area of Tooth No. 19 to contain the restorative material and act as a mold for the creation of the proper proximal shape.
The teeth were etched using a total etch technique, applying etchant first on the enamel for three seconds, then carrying it onto the dentin area for an additional 12 seconds (for 15 seconds total etch) per tooth (Figure 2). Then the teeth were thoroughly rinsed and dried. A desensitizing agent (Systemp Desensitizer, Ivoclar Vivadent, Amherst, N.Y.) was then applied to the prepared dentition.
An enamel/dentin bonding agent (Prime & Bond NT, Caulk/Dentsply) was applied to the preparations in five consecutive coats by lightly scrubbing it into the enamel and dentin for 15 seconds. The bonding agent was then gently air dried and cured for 10 seconds per tooth.
For the Class II restoration on Tooth No. 19, a thin layer of flowable composite (4 Seasons Flow) was applied in the gingival box area, as well as any other deep preparation areas, and cured for 20 seconds using a curing light at ≥500mW/cm2. For the restoration build-up on Teeth Nos. 17 through 19, each cusp area was developed using .5 mm to 1 mm increments of the A 3.5 dentin shaded composite, building each increment out in a cup-like manner (i.e., as described by Lee Culp, CDT), rather than lobing the cusps. Each increment was then "tack cured" through the tooth for five seconds per increment through whichever cusp had been built up (Figure 3).
After applying the dentin material, the clinician placed a .5 mm layer of medium value enamel material, followed by the final layer of clear transenamel material, using the same buildup and curing technique as specified for the dentin layers. A final cure of each restoration was performed from the occlusal aspect for 30 to 40 seconds per tooth (Figure 4).
The interproximal areas were verified with floss and, in areas where any flash existed, a 12-B blade was used at the gingival margin in a gentle, carving motion to remove it (Figure 5). To reproduce the natural shape and anatomy of the teeth, a series of fine and super-fine diamond finishing burs (Axis Dental Corporation) were used. The occlusion was then checked and, where necessary, a pointed bur was used to reform the anatomy following any occlusal adjustments.
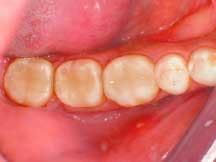
The rubber dam was removed, occlusion was checked and adjusted, and final polishing was completed using a green Jiffy polishing cup (Ultradent Products, Inc.) and Jiffy bristle brush. To best polish the gingival areas, a finishing strip (Epitex Strip) was used. Figure 6 shows the completed direct composite posterior restorations.
Conclusion
As we endeavor to be "true cosmetic dentists," we must avail ourselves of multiple treatment options in order to realize functional and esthetic outcomes for our patients in a manner that is most appropriate for them. Although indirect all-ceramic inlay/onlay restorations might also have been considered here, this case demonstrates that conservative, functional, and esthetic results can be achieved chairside in a single visit, with less cost or inconvenience for the patient, by using an esthetic universal direct composite system (4 Seasons) that works equally well for Class I and Class II restorations.
References
- Radz GM. Creating a new smile — direct bonding with a new micro-hybrid composite resin. Contemp Esthet Restor Pract 2003; (7):20-27.
- Chyz GT. Multiple diastema closure with direct composite restorations. Contemp Esthet Restor Pract 2004; 8(2):18-26.
- Radz GM. Creating natural vitality with direct-bonded composite veneers. Compend Contin Educ Dent 1999; 20:62-70.
- Terry DA, Geller W, Tric O, Anderson MJ, Tourville M, Kabashigawa A. Anatomical form defines color: function, form, and aesthetics. Pract Proced Aesthet Dent 2002; 14:59-67.
- Terry DA. Direct reconstruction of the maxillary anterior dentition with composite resin: a case report. Pract Periodontics Aesthet Dent 1999; 11:361-367.
- Vanini L. Light and color in anterior composite restorations. Pract Periodont Aesthet Dent 1996; 8:673-682.
- Koczarski MJ, Corredor AC. Direct posterior composite restorations: simplified success through a systematic approach. Pract Proced Aesthet Dent 2002; 14:87-94.
- Shannon A. Direct stratified resin procedures to restore form and function. Contemp Esthet Restor Practice 2003; 7:22-27.
- Feigenbaum NL. How direct bonding satisfies an esthetic need. Compend Contin Educ Dent 2003; 24:134-144.
- Fahl N Jr. Achieving ultimate anterior esthetics with a new microhybrid composite. Compend Contin Educ Dent Suppl 2000; (26):4-13.
- Barghi N, Knight GT, Berry TG. Comparing two methods of moisture control in bonding to enamel: a clinical study. Oper Dent. 1991; 16(4):130-135.
- Small BW. Direct posterior composite restorations — state of the art 1998. Gen Dent. 1998; 46(1):26-32.
Gerilyn Alfe, DMD
Dr. Alfe is in private practice in Chicago, Ill., and is currently a clinical instructor and lecturer with The Hornbrook Group. She is also a board member of GenR8TNext and a presenter at the organization's meetings. You may contact Dr. Alfe at [email protected].









