DMP Dental Complete Composite System
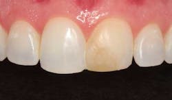
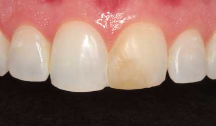
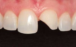
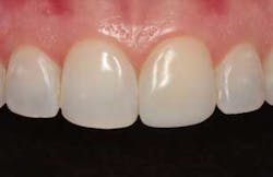
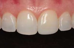
DMP Dental Complete Composite System consists of three types of composites — NanoCeram universal, a light curing nano-hybrid composite suitable for all direct anterior and posterior restorations, NanoCeram Flowable, and Bright Posterior. They are offered in syringes of 4 g and unit dose capsules, as well as 2 g syringes of flowable. They are available in up to 16 Vita shades, as well as opaque, incisal, and bleach shades. DMP Composites are composed of a special blend of micro and nano-fillers (20 – 700 nm). The highest esthetic results and superlative physical properties have been achieved through the development of a sophisticated method for the integration of the nanoparticles in the resin matrix. Ease of sculpting combined with its extremely low water sorption, solubility, and polymerization shrinkage create restorations that resist deterioration and provide longevity, high marginal integrity, minimal postoperative sensitivity, and virtually eliminating microleakage.
The NanoCeram Flowable has a creamy consistency that makes it easy to place. It has excellent color matching, and after finishing it seems to have a “chameleon effect” as it blends into the surrounding teeth in a seemingly invisible fashion. It is quite easy to polish, it gives a natural look to the teeth, and it finishes to a very hard surface. Bright Posterior exhibits several unique features combined in one posterior composite. The flow and creamy consistency allow dentists to bulk fill the posteriors without overfilling or wasting time grinding back the layering of heavier composites. The flow is such that it virtually eliminates the need for heating or vibrating devices to improve the flow of the composite, saving time and expense. Dentists can carve most of the anatomy with instruments, and they will require minimal chair time for final contouring and polishing.
These non-sticky, easy-to-polish restoratives yield prolonged color stability and a long life in a superlative restorative. DMP Dental LTD has been producing filling materials for 25 years and composites for 15 years, as well as many other dental products. Contact them at DMPDental.com, 908-553-3196, or [email protected]. Inquiries from dealers are encouraged.




