Performing esthetic and affordable diastema closures with composite restoratives
By David J. Clark, DDS
Flowable restoratives are still relatively new to the dental materials world. Given that it often takes the dental community a decade or two to embrace a material, many dental professionals are of the opinion that the jury is still out on flowables. My personal observation is that flowables are either overutilized or underutilized, depending on the clinician. However, I believe that by finding the proper balance between flowable and paste composites, clinicians can make these materials an invaluable part of their repertoire.
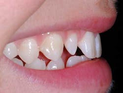
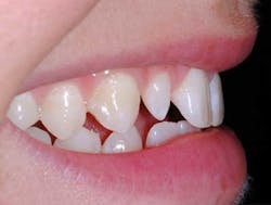
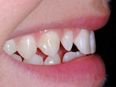
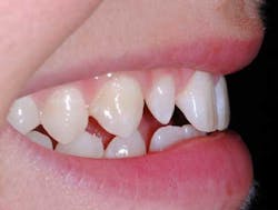
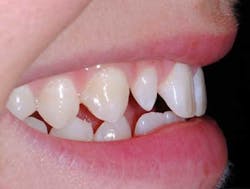
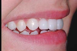
The recent availability of an anatomic diastema closure matrix (Bioclear Matrix Systems) makes it possible to achieve porcelain-like contours with composite materials, allowing dentists to offer an alternative treatment to patients who wish to avoid the expense of porcelain. But with this new capability, it is extremely important that dentists select the proper flowable material. For maximum success, a flowable should:
- Be strong enough to avoid wear and fracture.
- Achieve and maintain a high level of polish to compete with porcelain.
- Provide strong esthetics, and match the corresponding shades of paste composite.







