Staying inbounds: the neutral zone's importance in successful dental restorations
By Barry Polansky, DMDSolving mysteriesAfter many years of dental practice, patients and procedures seem to blend in to each other, but some patients tend to stand out. I remember, many years ago, having two patients with very similar circumstances. They both had vague complaints about recent anterior cases I placed. Both were maxillary anterior bridges, and both patients came back reporting an uncomfortable feeling around the bridges. Neither described the feeling as pain or discomfort, but more of an annoyance. I remember ruling out endodontic and periodontal causes. Both cases went into my pile of unsolved dental mysteries. It wasn’t until years later — after many courses in occlusion — that I realized what this strange phenomenon could be.The neutral zoneI believe that both cases violated my patient’s neutral zone, and I have since learned that when restoring anterior teeth, I need to be more aware of muscle function and neutral zone. Placing teeth where we believe they look better takes a backseat to how the masticatory system works, and neutral zone recognition is one more variable that restorative dentists must consider. Dentists who are aware of neutral zone and take the necessary steps to stay within its boundaries will provide their patients with more stable, more esthetically pleasing, and — most importantly — more comfortable restorations.Like so many principles of occlusion, the neutral zone was first described by the early prosthodontists. I first came across the term while reading the book, “Neutral Zone in Complete and Partial Dentures,”1 by Beresin and Schiesser. Their explanation of neutral zone was originally published in 1976 and was described as the following:The neutral-zone philosophy is based upon the concept that for each individual patient, there exists within the denture space a specific area where the function of the musculature will not unseat the denture and where forces generated by the tongue are neutralized by the forces generated by the lips and cheeks.
The influence of tooth position and flange contour on denture stability is equal to or greater than that of any other factor. We should not be dogmatic and insist that teeth be placed over the crest of the ridge, buccal or lingual to the ridge. Teeth should be placed as dictated by the musculature, and this will vary for different patients. Positioning artificial teeth in the neutral zone achieves two objectives.
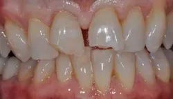
First, the teeth will not interfere with the normal muscle function, and second, the forces exerted by the musculature against the dentures are more favorable for stability and retention.2This definition is a more complete explanation of the one found in “The Glossary of Prosthodontic Terms”: the potential space between the lips and cheeks on one side and the tongue on the other; that area or position where the forces between the tongue and cheeks or lips are equal.The cases I had encountered were not denture cases. It wasn’t until I was exposed to Dr. Peter Dawson’s seminal textbook, “Functional Occlusion From TMJ to Smile Design,”3 that I began to understand the role of neutral zone in restorative dentistry, regardless of whether we are doing fixed or removable prosthodontics. Today, with the popularity of implants, we must be even more aware of neutral zone infractions in the treatment planning stages. In essence, as Dr. Dawson says, “Teeth will not stay stable where muscle does not want them to be.”As described in Dr. Dawson’s text,4Any attempt to move any part of the dental arch, including the alveolar structures outside the neutral zone, will result in increased pressure against the part that intrudes. Being aware of this increased pressure is the clue that signaled I had violated neutral zone space in my patients.A recent caseRecently, I completed a case on a 67-year-old patient who had suffered an injury to her maxillary four incisors (Nos. 7 through 10). Her accident actually moved her central incisors, and she complained about a “pressure” that she hadn’t experienced before the accident. I immediately thought of my historic patients and proceeded to evaluate her, with an eye on neutral zone, during my occlusal examination.
The influence of tooth position and flange contour on denture stability is equal to or greater than that of any other factor. We should not be dogmatic and insist that teeth be placed over the crest of the ridge, buccal or lingual to the ridge. Teeth should be placed as dictated by the musculature, and this will vary for different patients. Positioning artificial teeth in the neutral zone achieves two objectives.
First, the teeth will not interfere with the normal muscle function, and second, the forces exerted by the musculature against the dentures are more favorable for stability and retention.2This definition is a more complete explanation of the one found in “The Glossary of Prosthodontic Terms”: the potential space between the lips and cheeks on one side and the tongue on the other; that area or position where the forces between the tongue and cheeks or lips are equal.The cases I had encountered were not denture cases. It wasn’t until I was exposed to Dr. Peter Dawson’s seminal textbook, “Functional Occlusion From TMJ to Smile Design,”3 that I began to understand the role of neutral zone in restorative dentistry, regardless of whether we are doing fixed or removable prosthodontics. Today, with the popularity of implants, we must be even more aware of neutral zone infractions in the treatment planning stages. In essence, as Dr. Dawson says, “Teeth will not stay stable where muscle does not want them to be.”As described in Dr. Dawson’s text,4Any attempt to move any part of the dental arch, including the alveolar structures outside the neutral zone, will result in increased pressure against the part that intrudes. Being aware of this increased pressure is the clue that signaled I had violated neutral zone space in my patients.A recent caseRecently, I completed a case on a 67-year-old patient who had suffered an injury to her maxillary four incisors (Nos. 7 through 10). Her accident actually moved her central incisors, and she complained about a “pressure” that she hadn’t experienced before the accident. I immediately thought of my historic patients and proceeded to evaluate her, with an eye on neutral zone, during my occlusal examination.
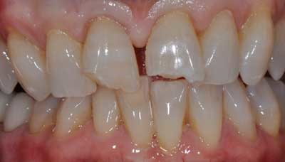
Preop of accidentIn edentulous patients, the neutral zone can be determined and recorded through the impression technique. Determining neutral zone in the anterior region can be done through careful observation. Long facial structure is a clue that should not be overlooked. A deep mandibular cleft is another indication of strong muscle tonus. Phonetics and path of lip closure are also signals of neutral zone. In the end, my wax-up and provisionalization provided me with the information to place my restoration in the proper horizontal position.
Wax-up
ProvisionalBy letting the patient wear her provisionals, we were able to adjust the acrylic until she could function properly. Then we worked out the cosmetics until she was satisfied. The lab (Niche Dental Studio) was able to use the provisional as a template for the final case.
Adjusting thickness of provisional
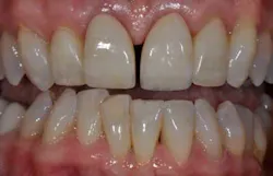
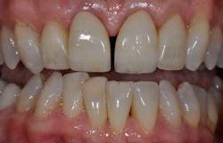
Final
Final portrait
Dr. Barry Polansky is the author of the best-selling book, “The Art of the Examination.” He is in private practice in Cherry Hill, N.J. Dr. Polansky is visiting faculty member of the Pankey Institute. He was the publisher of the Academy of Dental Leadership newsletter and now writes two blogs, TAOofDentistry.com and Casepresenter.com. He is the co-owner of Niche Dental Studio with his son, Master Dental Ceramist Joshua Polansky. He can be reached at [email protected].References1. Beresin VE, Schiesser FJ. Neutral Zone in Complete and Partial Dentures. Mosby, 2nd edition, 1979.2. The Journal of Prosthetic Dentistry. Oct. 1976; 36(4) 356-367.3. Chapter on neutral zone.4. Ibid. Understanding Neutral Zone p. 132.







