The 3 modes of a universal adhesive: Part III -- selective-etch
Parts I and II of this series illustrated the use of 3M™ ESPE™ Scotchbond™ Universal Adhesive in self-etch and total-etch techniques, respectively.
Selective-etching has previously been a somewhat fraught technique for many practitioners, as the isolation of phosphoric acid only to enamel margins can be difficult. If etchant falls onto dentin and the surface is over-dried, bond strength can suffer and postoperative sensitivity is often the result. However, the introduction of Scotchbond Universal Adhesive has helped alleviate this worry for many dentists. The formula of this adhesive includes the 3M™ ESPE™ Vitrebond™ Copolymer, HEMA and water, the combination of which lets the material bond to etched dentin and create a hybrid layer, even if the dentin is dried.
Case selection for selective-etch mode
Part I of this series highlighted a case in which the majority of the preparation was in dentin. A self-etch mode was used for that case due to the fact that the preparation was very deep but the tooth was asymptomatic. On the other hand, this article will demonstrate a similar case in which the selective-etching technique was used, due to the fact that a greater amount of enamel was involved.
Case presentation
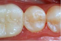
The patient presented with sensitivity on No. 20 (Fig. 1). Caries was confirmed, and a rubber dam and FenderWedge were placed (Fig. 2). Upon initial access to the area, the extent of the caries was found to be quite deep. The prep was refined to a final shape that included enamel remaining in the proximal box. A Composi-Tight 3D XR matrix was then placed.
Due to the fact that the tooth was symptomatic before treatment began, a liner/base was placed at the floor of the preparation and light cured. 3M™ ESPE™ Scotchbond™ Universal Etchant was then applied to the enamel areas of the preparation (Fig. 3). (The viscosity of this material is thick enough that it does not run, which is especially helpful in cases of deep dentin exposure.) After the etchant was rinsed, Scotchbond Universal Adhesive was scrubbed onto the entire prep for 20 seconds. The area was then air dried for five seconds or until the adhesive didn’t move, and light cured for 10 seconds with a 3M™ ESPE™ Elipar™ S10 LED Curing Light (Fig. 4).
A vertical layering technique was used with 3M™ ESPE™ Filtek™ Supreme Ultra Universal Restorative to develop the proximal box. Following the Histological Layering Technique, a body shade was used to replace the dentin areas, and an enamel shade was used to replace enamel. Three to four layers were placed in total to complete the restoration (Fig. 5).
A diamond composite finishing kit was used to shape the composite, and finishing and polishing were completed with 3M™ ESPE™ Sof-Lex™ Spiral Finishing and Polishing Wheels(Fig. 6).
Discussion
The presence of enamel in the proximal box in this case helps illustrate one of the useful qualities of Scotchbond Universal Adhesive in selective-etch techniques. While many practitioners would place the etchant only around the occlusal cavosurface, the thicker viscosity of the Scotchbond Universal Etchant helps it stay put where it is applied, so it can be used with confidence in cases like this without worries of it contacting the deep dentin.
Conclusion
This series has demonstrated the use of a universal adhesive for self-etch, total-etch, and selective-etch techniques, with each technique shown to be simple and straightforward. The versatility of this adhesive, as well as its ability to be used to bond to indirect surfaces, has made it a new go-to material in many offices. Dentists who wish to streamline their supplies, eliminate the confusion of learning many techniques, achieve high bond strengths, and minimize sensitivity would be well advised to investigate if a universal adhesive is the solution for them.Fig. 1: Preoperative view of No. 20







