I made my mom cry in the dental chair, and I couldn't have been happier!
Have you ever picked up a magazine or gone to a CE lecture and left feeling no bigger than a Lego man? You know, the cases where a mess of a patient presents to the dentist and everything flawlessly ends up perfect. The treatment plan is laid out, every specialist is on hand to give their input, the patient accepts said treatment plan (finances NEVER seem to be an issue), fillings are sculpted, the porcelain is pristine, the bite is dead-on, esthetics are glamorous, and the photos are spot on. Every time.
Editor's note: This article first appeared in Breakthrough Clinical, the clinical specialties newsletter created just for dentists. Browse our newsletter archives to find out more and subscribe here.
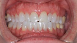
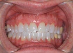
Figure 1: Before
What?! Who would actually want to make their mom cry? Well, the truth of the matter is that I did make my mom cry, but it was for a good reason. She got the smile she always wanted and was absolutely thrilled with it—so much so that her mascara was running down her cheeks and a box of tissue wasn’t enough to stop the downfall of tears. She even said she "felt beautiful" and that she wanted to take my dad on a date. Boom. Enough said.
Let’s get to the point I’m trying to drive home. Have you ever picked up a magazine or gone to a CE lecture and, after reading or listening, felt no bigger than a Lego man? You know, the cases where a mess of a patient presents to the dentist and everything flawlessly ends up perfect. Absolutely perfect. The treatment plan is laid out, every specialist in the book is on hand to give their input, the patient accepts said treatment plan (finances NEVER seem to be an issue in these cases), the fillings are sculpted, the porcelain is pristine, the bite is dead-on, the esthetics are glamorous, and the photos are spot on. Every time. Wouldn’t it be nice ...?
Now, I don’t know about you, but I live in the real world, and instances such as those are few and far between. Yes, I’ve done some big restorative and reconstructive cases, but to be honest, sometimes the results were not what I hoped them to be, or there were some unexpected challenges along the way that had to be dealt with. Treatment plans were altered or the porcelain shade was slightly off; the patient really didn’t care and wanted the crown cemented anyway. I’ve also made some calls that in hindsight could have been done differently to benefit the patient in a better way. Sometimes the patient changed his or her mind mid-treatment and wanted to do something totally different. And sometimes, when all is said and done, patients just aren’t happy.
You may be reading this and thinking, "Wow, she really doesn’t sound very competent in her skills." Actually, that’s far from the truth because I base my successes on two areas:
- Is the work I did solid? Are the margins closed? Is the caries taken care of? Is perio addressed? Is the patient’s overall health and wellness met under my care?
- Is the patient happy? Does the patient like the result? Is the patient's chief complaint met? Did I make the patient feel comfortable in the chair?
As dentists, we tend to pick apart each other's work without realizing that the backbone of said work is comprised of all of the aforementioned points. For example, have you ever seen a patient who transferred to your office and when you look at the work that was done previously, you think that you could have done it better or you would have done something else? Waving hand in air ... guilty! Instead of putting myself in the other dentist's shoes, I pick apart his or her work. Now, if there is clear negligence or just shady work, that’s one thing. I’m talking about the nitpicky stuff that doesn’t mean much to the patients because, well, they are happy with the outcome! If the work is solid, and our patients are happy, then we just need to step aside and encourage them to maintain their oral health and see us regularly. Plain and simple. My point is this: not every patient needs to have glammed-up dental work and be ready for a magazine cover or a lecture circuit. There is something to be said for the nuts and bolts of dentistry.
Don't get me wrong. I absolutely understand the teaching point behind the lectures and pictures, and I do benefit from them. There is so much talent out there that it amazes me. Kudos and fist bumps to those dentists who can transform lives in such a manner. However, every now and then, I think it would be nice to see a case that didn’t go perfectly. Show me all the bumps and challenges, and perhaps even show an outcome that’s not full of all the glitz and glamor. Bring reality to the screen, so to speak. What do you think?
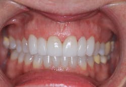
Figure 2: After
From this perspective, take a look at the photos of my mom’s teeth—before and after (figures 1 and 2). I was hesitant to post these photos, because I know they will be picked apart with questions and criticisms. I’m OK with that, though, because my mom is absolutely 111% ecstatic with the result. Plus, she got a hot date with my dad.
Cheers!
Stacey L. Simmons, DDS
Editorial Director, Breakthrough Clinical
LAST MONTH >> 'You've got to be kidding me! I got a bad review from my STAFF member?!'
Editor's note: This article first appeared in Breakthrough Clinical, the clinical specialties newsletter created just for dentists. Browse our newsletter archives to find out more and subscribe here.
For more articles about clinical dentistry, click here.
For the most current dental headlines, click here.
About the Author
Stacey L. Simmons, DDS
Editorial Director of DE's Breakthrough Clinical e-newsletter
Dr. Stacey Simmons grew up in Hamilton, Montana. She did part of her undergraduate work at Purdue University and then received her bachelor’s degree in exercise physiology from the University of Utah. After applying to both medical and dental school, she decided that dentistry was her career of choice. She received her DDS degree from Marquette University School of Dentistry in Milwaukee, Wisconsin, in 2004. In private practice, she focuses her care on prosthodontics and cosmetic dentistry. She is a guest lecturer in the Anatomy and Physiology Department at the University of Montana. Outside the office, she trains for triathlons and spends time with her family. You may contact Dr. Simmons by email at [email protected].
In 2015, Dr. Simmons became the editorial director of DE's Breakthrough Clinical with Stacey Simmons, DDS, an e-newsletter focused on breaking through plateaus in clinical practice. Subscription information may be found here.
Updated May 4, 2016






