Clinical question: What would you do—internal bleaching or crowns?
Here’s a question from an endodontic colleague, asking for insight from our various perspectives regarding this scenario. Take a read...
Is endo/internal bleaching considered aggressive or conservative compared to full-crown coverage? How about when multiple teeth are involved?
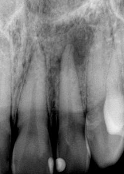
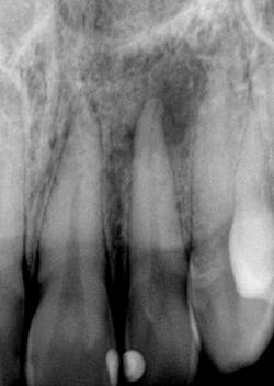
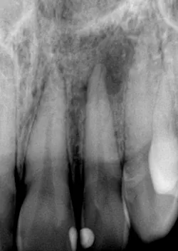
I recently had a young lady come in with multiple teeth darkened from trauma that happened years ago. It was for a consult to consider endo/internal bleaching.So, which do you think?
- Endodontic treatment of no. 9, 10, and 11 (with conservative accesses) with internal bleaching and lingual restorations posttreatment? Or…
- Treat no. 10 and then do full porcelain coverage on all incisors since the shading is light enough for coverage and no show-through.
Is taking a bur to the teeth too aggressive? Is it practical? Internal bleaching has its drawbacks and may not be the best definitive long-term solution the patient is looking for. Time is money; perspective is everything.
State your case and why you feel that way, and I’ll post the responses for everyone to reflect on. Looking forward to the discussion!
Keeping dentistry real, raw, and day-to-day...
Cheers, my friends! Dr. Stacey
Editor’s note: This article first appeared in Through the Loupes newsletter, a publication of the Endeavor Business Media Dental Group. Read more articles and subscribe to Through the Loupes.
Stacey L. Gividen, DDS, a graduate of Marquette University School of Dentistry, is in private practice in Hamilton, Montana. She is a guest lecturer at the University of Montana in the anatomy and physiology department. Dr. Gividen is the editorial codirector of Through the Loupes and a contributing author for DentistryIQ, Perio-Implant Advisory, and Dental Economics. She serves on the Dental Economics editorial advisory board. You may contact her at [email protected].
About the Author
Stacey L. Gividen, DDS
Stacey L. Gividen, DDS, a graduate of Marquette University School of Dentistry, is in private practice in Montana. She is a guest lecturer at the University of Montana in the Anatomy and Physiology Department. Dr. Gividen has contributed to DentistryIQ, Perio-Implant Advisory, and Dental Economics. You may contact her at [email protected].

