October 2010 Ask the Expert -- Christopher A. Warren from Carestream Health
Ask the ExpertChristopher A. WarrenTechnical Support EngineerImaging Consultant
Carestream Health, Inc.Exclusive manufacturer of KODAK Dental Systems
Last month we asked you to diagnose the X-ray below and send in your answers on what you think the operator may have done wrong. Today we provide you with the image’s diagnosis!Congratulations to Beckie Wooters from Northwestern Michigan College in Traverse City, Mich., for correctly diagnosing last month’s image. Beckie will be awarded a $25 gift card. Be sure to send in your diagnosis for this month’s Diagnose the X-Ray for a chance to win.
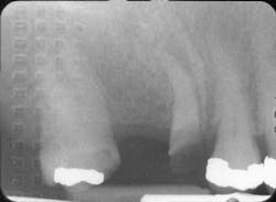
Lead foil image — caused by packet placed backwards (non-tube side) during patient exposureX-Ray answersPacket exposed backwards Intraoral films exhibiting an unexpected lighter density along with a “lead-foil pattern” are usually the result of the packet being incorrectly placed in a patient’s mouth backwards or exposed to the non-tube side.Kodak packet lead foils are designed with a raised knurl pattern. If a packet is positioned backwards and exposed, the knurl pattern can be used as a tool to inform an operator of a placement error. When this error occurs, intraoral films are typically lighter in density and lower in contrast, due to reduced exposure of the film.Some manufacturers of intraoral dental packets have no pattern on the lead foils, making the connection to a placemat error more difficult. All Kodak intraoral packets also emboss “Opposite Side Tube Side” as a tool for proper packet positioning. Tips and TricksUnderexposed radiograph with special or continuous patternProblem: Underexposed radiograph with a raised diamond or herringbone patternPossible cause: Film packet positioned backwards and exposed through the back side (non-tube side) of the packetHow to correct: Establish a protocol to prevent packets from being positioned backwards in a patient’s mouth.Hints: Positioning guides on a Kodak packet
- “Tube Side” is white paper of vinyl
- Kodak packets are embossed with “Opposite Side Toward Tube”
- Tab used to open the packet is placed away from the tube
Be sure to look for the cause of the problem and Chris’s recommendation in our next issue!Contact usHave a question or concern about your KODAK dental film? If so, contact Chris.Looking for an authorized dealer?Need more information about KODAK dental film, call (800) 933-8031 or visit www.kodakdental.com.© Carestream Health, Inc.The KODAK trademark and trade dress are used under license from Kodak.




