The Internet - Cosmetic imaging
Women dentists began honoring beauty in their practices long before consumer dental companies marketed "beauty" to mass consumer markets, without even a whisper of sound science. Lacking those huge Madison Avenue advertising dollars, women dentists who create beauty and attractiveness in their aesthetic practices every day now have a number of options to showcase the art and science of dentistry through customized digital imaging.
"A picture is worth a thousand words," and savvy practitioners are using digital imaging to communicate to patients the value of a fabulous smile. As dentists, we place veneers, enhance lost vertical dimension, restore lost fullness of the face from missing teeth, close diastemas, recontour and reshape teeth, whiten teeth, straighten teeth, and reshape gingival contours and appearance. Dr. Debra Gray King's "Extreme Makeover" cases in this issue point to how dental procedures can have an impact on image.
Even for those patients who want something less extreme than what is shown in reality shows, through images captured with a digital radiographic sensor, a digital camera, or an intraoral camera, we can help patients understand how women dentists can offer beauty and attractiveness to their smiles.
What imaging software can do for you ...
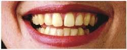
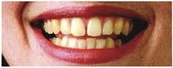
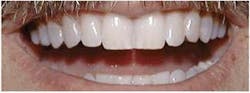
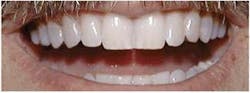
Practice Works - Images courtesy of Dr. David Gane, PracticeWorks, Inc.
null
null
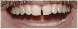
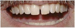
Dentrix Image - Images © 2003 Dentrix Dental Systems, Inc.
null
null
ViperSoft - Images © 2003 Integra Medical
null
null
Most people appreciate the ability to see the changes that can be made to their teeth and/or soft tissues. Since many people learn by visual cues, digital imaging allows patients to "see" the impact of decisions about recommended treatment. Patients also enjoy taking part in the imaging process. They enjoy having the opportunity to view themselves with all of the different treatment options.
The first basic requirement for imaging is to have a camera and some sort of image-management software to capture and store images. These images can come from digital cameras, intraoral cameras, or digital radiographic sensors. Once the images are stored, the photo-editing tools in an imaging software package can be used to manipulate these images.
Numerous software packages are available today that will do an excellent job with cosmetic imaging. Some of the better programs are DICOM Imaging from PracticeWorks (www. practiceworks.com), Dentrix Image from Dentrix Dental Systems (www.dentrix.com), Digital Dentist from Digident (www.digident. com), ViperSoft from Integra Medical (www. vipersoft.com), and Image FX from SciCan (www.scican.com). There are also Internet imaging services available, such as Smile Vision Cosmetic Imaging (www.smilevision.com), SmilePix (www.smilepix.com), and SmileArt (www.smileart.com). With these services, you can take digital photographs and email the images to the companies to do the imaging for you. There is a fee involved. More and more software packages and imaging services are being developed each year.
What an Internet imaging service can do for you ...
SmilePix - Images courtesy of John Laundon, SmilePix
null
null
These software packages provide image-manipulation tools that enable the dentist to simulate and personalize the results of suggested treatment. Patients will then be able to truly visualize how they would look before committing to any procedure. Cosmetic imaging becomes the ultimate tool in patient communication and co-diagnosis. Its internal and external marketing potential are limitless. Imaging also can be useful when communicating with laboratory technicians. A dentist can create the image desired and send it to lab technicians to help them deliver work that fulfills the dentist's aesthetic vision.
Digital imaging will deliver a number of benefits to a practice. Dentists will be able to increase treatment acceptance and improve patient communication. A learning curve exists to master the process, but with a little practice, cosmetic imaging will become a very enjoyable task for a dentist and her team.
Creating a beautiful smile for patients can be a work of art. Patients can better understand the wide range of possibilities dentists now offer if they are shown the options first. Showing patients the possible outcomes through cosmetic imaging can help them understand how dentistry can create beauty in their lives.
Jeff Dalin, DDS Dr. Dalin is a Fellow in the American and International Colleges of Dentists and the Academy of General Dentistry. He practices general dentistry in St. Louis, Mo., and is editor of St. Louis Dentistry Magazine. Contact him at [email protected] or (314) 567-5612. 











