Your teeth are meant to last a lifetime. But they endure a lot of stress and force over a lifespan, and sometimes that causes damage.
The outer layout of the tooth is made of enamel, which is the hardest material in the body. When a tooth fractures through to the enamel, it can't be repaired—but you can work with dental professionals to come up with a treatment plan that works for you.
Types of tooth cracks
There are a variety of degrees of cracks and fractures in a tooth. A tooth is cracked when it’s damaged with lines in its surface but not completely broken; a fracture means a tooth is broken or split into several parts. According to the American Association of Endodontics, there are five classifications of tooth cracks.1
Craze lines
Craze lines are hairline fractures in the outer enamel of the tooth and presents as vertical lines commonly found in the front adult teeth. (See figure 1, courtesy of Spear Education, and also read How To Classify the 5 Types of Cracked Teeth.) They are very shallow and painless and usually cause no issues. Craze lines are more of a cosmetic issue, and depending on the size, may collect stain and plaque.
Craze lines are produced from years of wear and tear ranging from general use, prolonged clenching or grinding, eating hard foods such as popcorn kernels, or chewing ice. Other causes are trauma to the mouth, using teeth as tools, chewing on objects, nail biting, tongue rings, previous dental drillings on the tooth, and sudden extreme temperature changes like drinking something hot then following with something really cold. 1, 2
Treatment is not commonly needed, so the options are to leave it alone or possibly have a cosmetic restoration if it’s aesthetically bothersome. Craze lines can’t be removed entirely, so a veneer (a composite or porcelain material that covers the front of the tooth) may be recommended to cover them.
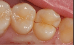
Fractured cusp
A fractured cusp becomes weakened and breaks off usually on its own. This is that fracture that breaks from eating soup or soft bread. The most common fractured cuspal areas are the cusps on the tongue side on the lower back teeth and on the cheek side of the upper back teeth (figure 2). It rarely damages the pulp and doesn’t cause much pain.
A fractured cusp occurs when weakening of the cusp happens through prolonged excessive force or severe tooth decay. Common forces to cause a fractured cusp are, chronic grinding and clenching, trauma, failed restorations, and biting into hard foods. Symptoms may be pain upon compressions and/or pain from the release of biting pressure. More symptoms may be temperature sensitivity, sharp pain when chewing, gum irritation, and a sharp edge on the tooth—frequently noticed by the tongue.
Treatment with these fractures is commonly a crown, with its purpose to cover and protect the tooth. A filling in some cases may be advisable depending on the amount of tooth fractured. If the fracture is deep into the tooth a root canal, will help to restore the tooth. If a fracture is detected early, before the tooth breaks, an onlay may be placed over the cracked cusp. 2
Cracked tooth
A cracked tooth is an incomplete fracture originating from the chewing surface of the tooth and extends vertically toward the root of the tooth. When the enamel is cracked it causes movement of the cracked area, causing the pulp area to become irritated. Eventually there becomes enough damage to the pulp to where the tooth can’t recover, which results in erratic pain. The pain can range from sensitivity with extreme temperatures and chewing to a constant, lingering pain that keeps one up at night. Excessive occlusal forces—the force exerted on opposing teeth when the jaws are closed or tightened—are the biggest factors to a cracked tooth. A cracked tooth is more centered on the chewing surface. Since a cracked tooth progresses toward the root, there is greater chance of root pathosis (disease to the root of the tooth).1,2
Treatment depends on the severity and depth of the crack. There are two kinds of cracks: treatable and untreatable (figure 3). For a treatable tooth, a crown is commonly the treatment option to restore the tooth and prevent progression of the crack. At this stage, early detection is crucial as the crack can steadily worsen, resulting in an extraction of the tooth (which would classify it as untreatable).
Split tooth
A split tooth is the final result of an untreated incomplete cracked tooth. It extends from the top of the tooth to under the gums and lateral from proximal to proximal of the tooth (figure 4). It may split suddenly caused from long-term growth of a crack. The tooth segments become completely separated and even loose. 2
This can result from damaging habits with the teeth such as grinding, clenching, ice chewing, chewing on objects, and eating hard food.
If the tooth is salvable, the treatment recommended is root canal and crown. If the tooth is not salvable, the treatment is extraction.
Vertical root fracture
A vertical root fracture originates in the root of the tooth and extends to the chewing surface (see figure 5). The fracture may compromise part of the root or the full length of the root, moving in the direction from the cheek to the tongue side. This fracture is commonly discovered when the bone and tissue become infected.
This fracture can actually be diagnosed on a radiograph. Most root fractures are associated with a history of root canal treatment. The dental hygienist or dentist will ordinarily discover a deep narrow pocket along the root. 2
Treatment is extraction as fractures in the root have a poor prognosis and are untreatable. In some cases, a dental professional may try a root resection—removing the fractured root.
Chipped tooth
One more condition the American Association of Endodontics doesn’t classify is a chipped tooth. This commonly occurs in grinding situations. In fact, a classic sign of grinding is small random chips, small pieces of enamel that break off the tooth. Many other incidences beyond grinding can cause chipped teeth including biting on hard foods, trauma to the mouth, and accidents. It’s common for front teeth to have small chips, and this can be caused by anything from natural wear and tear and utensils or glass bottles hitting the front teeth, to using teeth as tools to open or hold objects.
Chipped teeth may feel jagged or rough on the tongue. And of course the most noticeable sign is that it’s on the front teeth, so it’s pretty apparent in the mirror or pictures.
Treatment options depend on the extent of the chip. Many times, leaving it alone is advised, or just smoothing the chipped area will be sufficient. If it’s small and smoothing isn’t advantageous to the tooth, then bonding with a composite or porcelain material is adequate. In bigger chips, your dentist may recommend veneers if bonding can’t be done; if it’s more than a chip, a crown is the best option.
Conclusion
Early detection is crucial in saving a compromised tooth. Generally, cracks aren’t clinically visible, and the majority of the time they’re diagnosed through symptoms. Tell your dental professional if you feel any symptoms like twinges, mainly when eating, or if chewing on the other side of the mouth becomes more of a habit to avoid the pain. The dentist will use a bite stick for you to bite gently on to try to simulate the sensation to pinpoint where the fracture is coming from.
At home, monitor the tooth by how often it happens (once a month or at every meal), what irritates it (temperature or eating), whether it lingers, or if it immediately goes away after the culprit is removed. It may be hard to tell exactly which tooth is having the twinges, so if you feel the pressure, put your finger on that suspected tooth and push a little to prolong the feeling to determine the right tooth. If you don’t experience that pressure feeling, try an adjacent tooth until you can isolate the right tooth. It’s important to determine the right tooth, so the wrong tooth isn’t unnecessarily worked on.
If you do experience any of these issues with your teeth, visit your dentist sooner versus later—the longer you wait, the tooth will be more vulnerable to more breakage and increased expensive treatment options. It’s healthier and cheaper to place a filling than it is for a crown or extraction.
References
1. Cracked Teeth. American Association of Endodontists.https://www.aae.org/patients/dental-symptoms/cracked-teeth/#:~:text=Unlike%20a%20broken%20bone%2C%20the%20fracture%20in%20a,but%20does%20not%20guarantee%20success%20in%20all%20cases
2. Bonk J. How to recognize the 5 types of tooth cracks. Spear Education. March 2019. https://www.speareducation.com/spear-review/2017/08/how-to-recognize-the-5-types-of-tooth-cracks
About the Author

Lara James, RDH
Lara James, RDH, is a licensed dental hygienist with more than 15-plus years of clinical hygiene experience in corporate, dental management, and private practices. She has created DentalAisle.com, a dental blog to educate consumers on dental products and dental issues. Lara also has written an online continuing education course on dentalcare.com. For more information, email her at [email protected].
Updated October 26, 2022





