Creating instant believability — The power of digital photography
If there was one tool you could use to discuss treatment options with patients, what would it be? A mirror? CAESY? Dental X-rays? I would say all of these items are great after the patient has decided that he or she is ready to do dentistry and you’re working out the details of the plan. But the one item that is absolutely the most beneficial and necessary in today’s dental practice is a digital camera.
The digital camera creates instant believability with patients. A stranger becomes a listener, a shopper becomes a buyer, and a naysayer becomes a believer. I don’t know any dentist who doesn’t want to build good relationships with patients. It’s one of the anchors of an effective and lucrative practice. Do you have an intraoral camera in your operatory that you aren’t using? Do you have a digital still camera that you only use for travel or family events? If so, then you have access to one of the easiest ways to create believability with your patients.
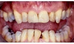
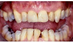
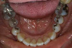
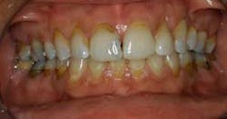
You know the old saying, “A picture is worth a thousand words.” Think about that saying and what it means. It’s basically saying that you paint a visual image that does not need to be described by words. Now look at this photo and think of all the words coming to your mind. (Image 1.1) Infection? Broken? Missing? Holes? Is this what patients might be thinking if this were a photo of their mouth? This doesn’t need to be described by the dentist, hygienist, or the dental assistant.
(Image 1.1)
Digital photos take you 1,000 words deeper into conversations with your patients. What happens is that when you place the photos on the monitor and scroll through them, patients ask questions. Also, patients instantly believe that what you are about to discuss is real. Why? Because they can see it with their own eyes. This removes the emotional wall often experienced by patients when it comes to dental care. You know the one I’m talking about — “Oh, they’re trying to sell me something.”
If you have not yet incorporated this armamentarium into your practice, you are ultimately losing opportunities to connect with your patients and discuss whole mouth dentistry, elective care, and even basic health needs. Whether you have a moderately priced, high-end intraoral, or digital still camera, you and your team should take time to integrate it into your daily routine. Make it a habit to capture digital camera images like you do X-rays.
The first thought of many doctors is, “Where do you get the training for taking digital photos?” (Image 1.2)
(Image 1.2)
My suggestion is to call your friend the orthodontist, who has been taking digital images for years. Ask him or her if you can do some dentistry on a team member in exchange for some photography training. Take a photography course at an upcoming dental meeting. The pitfall to this is that you have to be an implementer, someone who will come back to the office with your team to make it happen. Also, there are dental speakers and practice consultants who do in-office intensive training sessions for the entire team. As the doctor, you must find out which way will work best for you and your team. But the one thing that is proven is — “A picture is worth $1,000 on the average dental patient.”
The next question is what do you do with the images once you learn to take them? Don’t keep them to yourself! Some offices show them on a 42-inch monitor that can swing around to face the patient chair. You can do that or you can show patients the images on your computer monitor. These visuals are especially important with new patients because you haven’t had time to build solid relationships with them yet. You need to create this believability instantly.
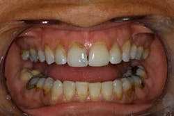
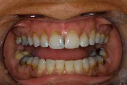
When faced with digital photos, patients feel sure you are suggesting treatment they really need. There’s no second-guessing your recommendation because patients essentially diagnose themselves. The statement you make through digital photography is that you care that patients understand and are comfortable with your treatment plan. It also shows that you’re keeping up with technology. Capturing images in your computer software makes them available to print for patients, which is very powerful in the long run. I recommend printing the most important photos in color. (You do not have to print them on photo paper that is easily a waste of money at this point.)
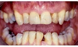
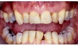
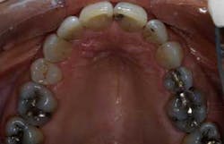
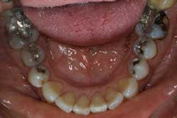
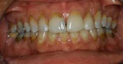
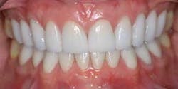
Example: If you were discussing cavities, broken down fillings, or any cosmetic procedure, I would print the image. (Images 1.3, 1.4) You should probably even print a smile or retracted smile photo since you discussed cosmetics. (Go with the more drastic photo that best shows the devastation to the teeth.) (Image 1.5) It is also advantageous to use a black marker to draw arrows next to the teeth being discussed and write some key points to remember, such as crowded, discolored, worn, or broken down.
(Image 1.4)
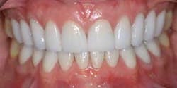
(Image 1.5)
Other supportive ideas behind digital photography include communication with your lab, emails to your specialist, and digital record keeping. (Photos of a current condition and on-going changes)
You may be thinking of all the other ways digital photography can be of value. Once your treatment numbers rise, your dental schedule stats fill up, and procedures are completed, you will want to explore other avenues that can be created by this small investment of a digital camera. Regarding sharing photos, it is a nice finishing touch to share the before and after images with your patients. Never miss an opportunity to print images for patients to take home and share with family and friends. These pre- and post-treatment photos remind them of their previous conditions and how you took care of them. The message is clear — “We deliver on our work, and you can trust us.” (Images 1.6, 1.7)
(Image 1.6)
(Image 1.7)
Now, what about the office image? You can easily have digital photos blown up and mounted for display throughout the office. (1.8) This is a good marketing tool, but to take it a step farther you can have patients write testimonials on their prints, which will provide a more personal feel in the office. New patients, family members, and even patients sitting on the fence about treatment can read the testimonial and move closer to taking care of their dental needs. Cameras come in a wide variety of types and price ranges. Anyone can afford camera technology. It’s a simple, effective way to build instant believability, long-term patient relationships, and of course, your practice. The next time you reach for your mirror to have a better look, reach for your camera so that patients can have the same view you have.











