How to help your patients understand the health benefits of properly aligned teeth
Does your office offer clear aligner therapy? If so, you know that patients might be inclined to think that proper tooth alignment is all about esthetics. Lauren Gueits, RDH, BS, explains how you can help your patients to understand that it's about much more—it's a matter of health.
Straighter teeth mean a healthier mouth and a healthier patient for a number of reasons: (a) they inhibit biofilm formation; (b) they are easier to brush and floss than crowded teeth; (c) they help patients avoid periodontal disease and an increased risk of systemic inflammation; (d) they are less likely to chip, break, or wear; and (e) they are less prone to gingival recession, abfraction, and subsequent cold sensitivity. (1–12) Most patients are unaware that correcting malocclusion can solve everyday problems they experience, such as halitosis, gingivitis, gingival recession, cold sensitivity, abfractions, and chipping—all of which may be due to improperly aligned teeth. (1–9)
You can explain that proper alignment not only resolves the immediate issues, but it can also help prevent more serious problems like tooth loss and systemic diseases from developing. (1–9) In addition to having healthy mouths, your patients can maintain beautiful smiles for life. When you talk to a patient about the importance of correcting malocclusion, you will be best received if you provide valid reasons for investing in tooth alignment. What could be more convincing than making the connection between a proper bite and better health?
The case study that follows also illustrates the benefits of healthy occlusion (i).
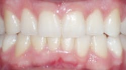
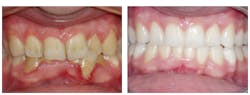
Invisalign case study: Evin, a 23-year-old male
This 23-year-old patient, Evin, presented with bleeding gums, recession, calculus, deep pockets, and clinical attachment loss. He would have been destined for extensive restorative and periodontal treatment if he had not been educated by his dentist, Ben Miraglia, DDS, and his hygienist about the value of orthodontic treatment using Invisalign clear aligner therapy.
His minimally invasive treatment plan included:
• Nonsurgical periodontal therapy, including improved home care and the removal of plaque and calculus via scaling and root planing;
• Fifteen months of Invisalign therapy, followed by nightly Vivera retainer wear; and
• Teeth whitening and enamel recontouring (i.e., no veneers).
Prior to treatment, tooth No. 23 was in traumatic occlusion—or as we would say in patient-friendly terms, it was a "tooth in trauma" or a tooth that was "colliding versus sliding." Once the improper forces were removed, the gingival architecture recontoured, providing both a healthy sulcus and a healthy clinical attachment level. Notice the periodontal improvement of tooth No. 23 in the chart, which shows a 3-mm reduction in pocket depth—from 5 mm to 2 mm.
Without any grafting, there was nearly a full resolution of periodontal health (i.e., the gum line remodeled itself). This "prevention plan," as I call it, gave Evin a healthy, beautiful smile and eliminated the need for future periodontal and restorative intervention. It has been 10 years since Evin completed his Invisalign therapy. Since then, he has not had any restorative or periodontal procedures, just routine maintenance and wearing his Vivera retainers nightly. The patient continued to show excellent oral health and more confidence in his appearance after completion of treatment. Now that’s something to smile about!
Talking to patients about malocclusion and the risks to overall heath
Most patients do not realize that poor tooth alignment can lead to gingivitis and periodontitis, (2) which may lead to conditions beyond the mouth when left untreated. Helping potential candidates for Invisalign clear aligner treatment understand the potential risks of malocclusion can reinforce the fact that alignment may be more about health than esthetics. (10–12)
Some patients can be confused by dental terminology. Simple, patient-friendly terminology can pave the way for better understanding and increased patient value. For example, when explaining reasons to align teeth, you might say "teeth in trauma" or "bad bite" instead of "malocclusion." Instead of "abfraction," you might say "notches or indentations at the gum line."
To keep it simple, try the following statements:
• “Teeth that fit together properly last longer and may prevent the need for costly dentistry in the future.”
• “Teeth don’t age; they wear.”
• “Let’s focus on treating problems (malocclusion), not symptoms (chipping, recession, cold sensitivity, and periodontal issues).”
Also, don’t forget to educate patients about how crowded teeth can contribute to gingivitis and periodontitis. (2) By reviewing the definitions of gingivitis and periodontitis with patients, you can easily help them to connect the dots about how inflammation anywhere in the body, including the mouth, is not healthy.
Try explaining gingivitis and periodontitis in this way: Since "gingiva" refers to the gums and "-itis" refers to inflammation, "gingivitis" means inflammation of the gums; likewise, "perio" means "around" and "dont" means tooth, so "periodontitis" means inflammation of the tissues that surround and support the tooth.
Conclusion
Patients present with malocclusion in the dental hygiene chair every day. Dental hygienists have the opportunity to educate patients about preventing problems malocclusion imposes, rather than just treat the symptoms (ii). Fortunately, with the ease of use, comfort, and hygienic benefits Invisalign clear aligners provide, patients are saying “yes” to orthodontics as part of their “prevention plans” to help them maintain healthy and beautiful smiles.
Editor's Note: This article first appeared in Pearls for Your Practice: The Hygiene Product Navigator. Click here to subscribe. Click here to submit a products article for consideration.
Notes
i. Case study and images courtesy of Ben Miraglia, DDS
ii. Visit learn.invisalign.com/rdh for more information on Invisalign therapy geared toward dental hygienists.
References
1. Geiger AM. Malocclusion as an etiologic factor in periodontal disease: A retrospective essay. Am J Orthod Dentofacial Orthop. 2001;120(2):112–115.
2. Staufer K, Landmesser HJ.Effects of crowding in the lower anterior segment—a risk evaluation depending upon the degree of crowding. JOrofac Orthop. 2004;65(1):13–25
3. Chung CH, Vanarsdall RL, Cavalcanti EA, Baldinger JS, Lai CH. Comparison of microbial composition in the subgingival plaque of adult crowded versus non-crowded dental regions. Int J Adult Orthodon Orthograth Surg. 2000;15(4):321–330.
4. Goldman H, Schluger S, Fox L, Cohen DW. Periodontal Therapy. 7th ed. Philadelphia: W.B. Saunders;1990:52.
5. Kassab MM, Cohen RE. The etiology and prevalence of gingival recession. J Am Dent Assoc. 2003;134(2):220–225.
6. Rees JS. The role of cuspal flexure in the development of abfraction lesions: a finite element study. Eur J Oral Sci. 1998;106(6):1028–1032.
7. Lee HE, Lin CL, Wang CH, Cheng CH, Chang CH. Stresses at the cervical lesion of maxillary premolar – a finite element investigation. J Dent. 2002;30(7–8):283–290.
8. Rees JS. The effect of variation in occlusal loading on the development of abfraction lesions: a finite element study. J Oral Rehabil. 2002;29(2):188–193.
9. Borcic J, Anic I, Smojver I, Catic A, Miletic I, Ribaric SP. 3D finite element model and cervical lesion formation in normal occlusion and in malocclusion. J Oral Rehabil. 2005;32(7):504–510.
10. Nesse W, Dijkstra PU, Abbas F, et al. Increased prevalence of cardiovascular and autoimmune disease in periodontitis patients: a cross-sectional study. J Periodontol. 2010;81(11):1622–1628.
11. Renvert S, Ohlsson O, Pettersson T, et al. Periodontitis: a future risk of acute coronary syndrome? A follow-up study over 3 years. J Periodontol. 2010;81(7):992–1000.
12. Cullinan MP, Ford PJ, Seymour GJ. Periodontal disease and systemic health: current status. Austr Dent J. 2009;54(Suppl 1):S62–S69.
Lauren Gueits, RDH, BS, is a clinician with more than 30 years of experience, a published author, and a recipient of the 2010 Sunstar/RDH Award of Distinction. She lectures nationally to health professionals on the oral-systemic and ortho-perio links and empowers hygienists to be health-care advocates. Lauren received her associate of applied science degree from State University of New York at Farmingdale and her bachelor of science degree from O’Hehir University. She received training in orofacial myofunctional therapy through the Academy of Orofacial Myofunctional Therapy in 2013, and she is a member of the American Dental Hygienists' Association, the American Academy of Physiological Medicine and Dentistry, and various industry boards. Lauren is passionate about the perio-ortho connection and the benefits of aligned teeth, and she enjoys her role as senior education manager for Align Technology.
Author's Disclosure: While the author of this publication is an employee of Align Technology Inc., the views presented herein represent her opinions in her personal capacity as a health-care professional and do not necessarily reflect the opinions, thoughts, or views of Align Technology Inc.



