Case study: use of perioscopy and LANAP for treatment of moderate periodontal disease
Case #2 is a patient with moderate periodontal disease, but the clinical findings of early furcation involvement, localized vertical bone loss in molar teeth and an intermediate risk analysis indicate a combination treatment plan of Perioscopy and Laser Assisted New Attachment Procedure (LANAP).
Case #2
Perioscopy by Suzanne Newkirk, RDH
LANAP by Robert Gottlieb, DDS
Female, age 61
No social habits
Medical History:
Hypertension, dry eyes
Medications:
Hydrochlorothiazide (HCTZ) for hypertension
Ophthalmic cyclosporine (Restasis) eye drops for dry eyes
OTC Calcium citrate
PreViser Risk Analysis:
Risk Score 3
Disease State 15
Diagnosis and Etiology:
Moderate periodontitis
Associated occlusal traumatism from a deep overbite and anterior spacing
Bruxism with associated TMJ discomfort
Generalized pocket depths of 4-6 mm in posterior teeth, generalized BOP
Ill-fitting posterior crowns are a plaque and food trap which are contributing factors in posterior inflammation and pocketing
TX plan:
•Improved personal oral hygiene
•FM perioscopy and LANAP
Occlusal therapy
•Orthodontic referral
Restorative treatment plan to replace poorly fitting crowns post orthodontia
•3 month periodontal maintenance
Facials:
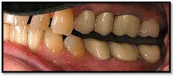
Pockets 4-7mm, generalized posterior BOP
UR/LR Pre TxThe tissues around the posterior crowns are almost bluish in color(above left)UL/LL Pre Tx:
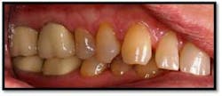
Pockets 4-6mm, gen posterior BOP
UL/LL Pre TxUL/LL Pre Tx reflected in a mirror
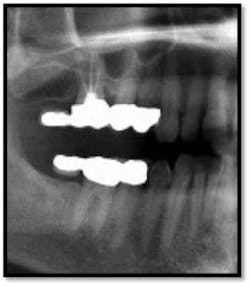
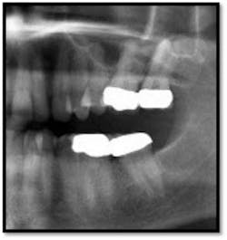
TX FM Perioscopy with local anesthetic FM LANAP Surgical Procedure •bone sounding was performed on all teeth included in this procedure •occlusal adjustment performed resulting in reduction in centric prematurities •Orthodontic referral for anterior spacing •3 month periodontal maintenance14 months post TreatmentPocket reductions of up to 4mm
Conclusion:
The patient now has a stable dentition and has moved forward with Invisalign orthodontia to correct the overbite and spacing in her anterior teeth.
The posterior crowns still present a challenge to keep clean and will be scheduled for replacement post orthodontic treatment.
She is enrolled in periodontal supportive therapy every 3 months.
To read another article in RDH eVillage FOCUS from Suzanne Newkirk and Robert Gottlieb, go to article.














