Orthodontics: Unmasking Veneers
Reprinted with permission from the Winter 2003 issue of the Journal of the American Orthodontic Society.
Porcelain veneers are a wonderful treatment option when teeth are broken, worn, or badly discolored. However, when anterior teeth are not aligned and simple orthodontics combined with whitening could be used, shouldn’t we offer our patients the option of more conservative treatment?
A current hot topic in dentistry today is porcelain veneers. Many journal articles and continuing-education courses have spent extensive time on this topic. Porcelain veneers are a quick, easy, and profitable solution to many cosmetic dental problems, making them popular on the dental lecture circuit. The big drawback to the veneer, however, is the destruction of usually healthy enamel, and, in some cases, sound, healthy dentin during the preparation of the tooth.
In the early days of my orthodontic career, an orthodontist friend told me that in his opinion, a one-arch orthodontic correction violated the “standard of care,” yet this same friend never thought porcelain veneers used to align four to six anterior teeth violated a standard of care. I regret that, at that time, I did not challenge his claim. Today, I would argue that if veneers or crowns are used to esthetically align anterior teeth when orthodontics and whitening would yield the same results, the standard of care has been violated. If most patients were informed how much tooth structure is removed for veneers and if the patient were given the option of orthodontics and tooth whitening, which treatment would they choose? And would they prescribe this treatment for their children and family? I am not suggesting there is not a place for veneers; there are still cases in which I use them, but I also strive to save tooth structure if possible.
A veneer is never considered a conservative, irreversible procedure. According to Dr. Gordon Christensen, renowned researcher and dentist, the trend in dentistry today is toward over-cutting of the teeth.1 Dr. Christensen feels this trend needs to be reversed. Even in my own general practice, I have found it necessary to cut more tooth when preparing a veneer in order to get a better esthetic result or bond. In a worst-case scenario, when the veneers did not satisfy the patients’ esthetics and the need for more coverage to obtain a better bond presented, I have had to prepare the tooth for crown coverage (such as an Ivoclar or Empress). Because of these problems, and with the addition of whitening agents and orthodontics to my practice, my use of porcelain veneers dropped dramatically.
According to Dr. Christensen, the general dentist needs to incorporate some orthodontics into his or her practice.2 Orthodontics is the cornerstone of the cosmetic dental practice.3 There is nothing wrong with only performing anterior tooth alignment and not correcting a patient’s bite or lower tooth alignment if the patient doesn’t want to address these other issues.
Today, adult orthodontics is no longer considered embarrassing. Twenty percent of Americans with orthodontics are over the age of 18.4 Adult orthodontics is truly a treatment of chief complaints; flared anteriors, maxillary anterior spacing, and crowded lower anteriors are only a few reasons today’s adult patients ask about cosmetic correction.
Still, many adults refuse braces. There are options for these patients. Invisalign is one such option, but not in my practice. CRA Associates has devoted much time to the Invisalign® system. However, it is expensive. Lab fees often approach $1,800 per case. The Invisalign® system uses many, many aligners to treat relatively minor orthodontic problems. It is recommended today for a very small percentage of orthodontic problems that could be treated more efficiently and economically with partial removable fixed appliances such as Hawley spring aligners, tooth positioners, and Essix retainers. I have chosen to work only three days a week; thus overhead is a constant concern. I consistently run a 40 to 46 percent overhead. One of the ways I accomplish this is by keeping lab bills down. Invisalign® violates this “keep overhead low” rule. Invisalign® is a wonderful treatment option for the patient who simply refuses brackets. Still, dentists can do a similar system in their own offices without the lab fees.
Dr. Jack Sheridan, an orthodontist and a professor at the LSU School of Dentistry, has pioneered his own system and has been using it successfully for many years. The technique was the forerunner to the Invisalign® system. Basically, Dr. Sheridan uses a Type A or Type C Essix clear plastic material with a typical suck-down technique.5 For active tooth movement, a window is cut in the retainer to allow the tooth to move. Composite bonded on the tooth applies pressure for “active” tooth movement.
As Dr. Sheridan stresses, teeth move quite easily with space, force, and time.6 The appliance can be fabricated in-house and correction can be accomplished with one or two appliances. As with all appliances, there are some drawbacks. First, patients always ask why there is a hole in their retainer. Second, there is added time to place composite to the tooth that is to be moved, and then grind it off later. Finally, many of my patients complain that their tongue could not leave the window or the composite on the tooth alone. To help with these drawbacks, I have developed a variation on this technique.
I begin by taking a typical ortho cast, add block-out material (the same blue block-out material we once used when making whitening trays) where I want the tooth moved, thus replacing Dr. Sheridan’s “window.” I then carve the cast until the tooth is in line. The Type A retainer is delivered within 24 hours. Invisalign usually takes six to eight weeks from impression to delivery. As with Invisalign, the patient is instructed to wear the aligner for 22 hours per day.
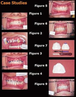
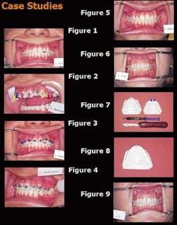
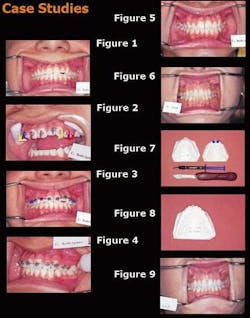
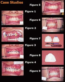
In Figure 1, a 16-year-old boy had previous orthodontics and did not want to undergo a full orthodontic program again. He wanted veneers instead. His chief complaint was the length of Tooth No. 10 compared to Tooth No. 7 and the space between Tooth Nos. 8 and 9. After explaining that he could finish a minor orthodontic procedure in less than two months without the tooth loss associated with veneers, both he and his mother chose the orthodontics. The Tip-Edge® system is used in this case, but other orthodontic systems work as well.
Figure 2 shows the position of the bracket on Tooth No. 10. Figure 3 shows the wires used. Figure 4 is a picture two weeks later, and Figure 5 is a picture when the case was debanded. The total treatment time was a bit longer than six weeks, but still less than two months. I had promised the patient that his braces would be removed before school began, so it was agreed that debanding would take place and the slight gap between the centrals would be corrected with a spring aligner plus (TP Orthodontics).7
Figure 6 is a female in her mid-40s who wanted her centrals aligned but did not want to wear brackets and was not interested in veneers. I have found that a typical retainer only moves a tooth about 0.5 mm. A Type A Essix retainer is usually thinner and easier to wear than a typical retainer.
When the patient no longer feels any pressure on the teeth, he or she returns for a second and, in some cases, a third retainer.
Figure 7 shows the models of my 40-year-oldfemale patient ready to have the Type A retainer fabricated with a suck-down technique. Figure 8 shows the patient’s model; after two months, a new retainer was fabricated and delivered. Figure 9 shows the final results. Brackets can yield a more precise result, but the patient refused this option. She is delighted with the resulting alignment. The final retainer will continue to align the teeth.
Porcelain veneers are a wonderful treatment option for many patients when the teeth are broken, worn, or badly discolored. However, when anterior teeth are not aligned and simple orthodontics combined with whitening could be used, it would be far better for the patient to have the option of a more conservative treatment. As dentists, every one of us has taken the oath to follow the command to do no harm. We must ask ourselves, if I do not give my patients the option of a more conservative treatment, am I doing my patients any harm? Because if we do not ask this question of ourselves, the attorney down the block may be the next person to ask this question of us.
References
1 Christensen G. Journal of Dental Insight April 2002; 1.
2 Christensen G. Journal of Dental Insight June 2002; 3.
3 Freedman G. Cosmetic dentistry: techniques for the successful practice. Authentic Seminars Dec. 2001.
4 Lamb LK. Adults saying yes to metal mouth. Monterey County Herald July 7, 2002; A2.
5 Sheridan JJ, Le Duox W, McMinn R. Essix appliance; minor tooth movement with divots and windows. J. Clin. Orthod 1994; 28:659-663.
6 Sheridan J. Academy of Gp Orthodontics Annual Meeting, April 2002.
7 Kesling P. Tipedge guide and the differential straight-arch technique. 1998.
Leslie R. Penley, DDS
Dr. Penley practices in El Paso, Texas. A graduate of the University of Texas Health Science Center in San Antonio, she incorporated orthodontics into her practice over 16 years ago. Twice past-president of the AGpO, she currently chairs its education committee. She is a member of AOS, AGpO, AGD, ADA, and various chapters.




