This really sucks! Treatment for non-nutritive sucking in pediatric dental patients
This article first appeared in the newsletter, DE's Breakthrough Clinical with Stacey Simmons, DDS. Subscribe here.
Have you ever tried to take a bone away from a hungry dog? Ever told your children not to eat their favorite ice cream when they’re hungry on a hot day? Well, trying to cease a sucking habit is one of those really hard tasks. So, do we need to stop sucking habits? Do they really matter? Well, if you ask this guy, yes! (at certain ages). But not always. OK, don’t get your underwear all in a knot; I’m not talking about prolonged breastfeeding. I don’t need any La Leche League moms sending me hate mail. I’m talking about non-nutritive sucking. Let’s look at this issue for a few minutes.
What is non-nutritive sucking? First off, sucking is a natural reflex for infants. Most infants and young children need some amount of additional sucking beyond that which is needed for nourishment—hence, non-nutritivesucking. This type of sucking can provide emotional benefits. It can enable babies or young children to calm themselves. Some say it’s an important first step in the development of self-regulation and the ability to control one’s emotions. (Did you know they make adult pacifiers? Some adults could use that benefit.)
Fingers, thumbs, binkies, the ear of a favorite stuffed animal, the corner of a loved blanket, or a number of other items can be used. Studies have shown that up to 90% of young children engage in this type of behavior. Some reports state that all infants engage in this type of sucking. (1) Usually, but not always, the prevalence of this decreases as children age. A little over half stop by the age of two and by age four, 90% of children have stopped. (1) Many factors can influence the prolonged habit, none of which I will address here.
ALSO BY DR. CONWAY JENSEN |Behavior management considerations in the pediatric dental patient
There is some debate in the literature about whether there is a difference in effects of whether the child uses the thumb, finger(s), or pacifier. This includes any other objects the child uses. I’ll just consider them all the same for purposes of this discussion. It is agreed that effects come from three factors: intensity, frequency, and duration. Some habits are passive and no changes occur. On the other hand, others can really give that finger or Binky a workout. Some thumbs look like a foot that’s been soaking in a hot tub all night. Some suck so vigorously that teeth could be extracted from the massive vacuum created. If there were a sucking-peanut-butter-through-a-straw contest, these kids would win easily. The point is, the longer, harder, and more frequent the habit, the greater the effects.
So what do we do about it? I think that all depends on presentation, age of the patient, and overall situation. The American Academy of Pediatric Dentistry (AAPD) supports an individualized approach to evaluating children’s oral habits. When appropriate, the AAPD encourages intervention for non-nutritive sucking habits, (4) as this can prevent or intercept any possible changes, such as malocclusion.
So when does one begin to manage the problem? Let’s break this down into age groups. But remember, it’s an individual approach.
- Zero to two years: Do what Elsa does and “Let it go!” You can inform the parent or guardian that this is normal, and we like to see the habit stopped by age three.
- Two to three years: If the habit is not causing any oral changes, it’s not worth the fight. In most cases, the child will stop on his or her own. If you and the parent are concerned, you can start addressing ways to stop (see below). If the habit is causing some malocclusions, then now is great time to start a program to help the patient stop the habit. (5)
- Three years and up: My suggestion is help the patient stop. It’s easier to get the patient to stop early than to wait. Plus, a higher chance of malocclusion can occur if you wait. (5)
A few words of advice: Don’t tell little Johnny the habit has to stop if he is not in a good position to do so. Some kids have hard lives. In times of stress (losing a parent, divorce, loss of a pet, etc.), there are more important things the child has to worry about. A better time will come. Put on your empathy goggles and worry about any effects another time.
Consistency is the key to stop a habit. On average, it takes at least two weeks to break a habit, and two to three more to maintain the broken habit. So, on average, we are talking about five to six weeks of consistency. If the parent is willing to work with you, all the better. To some parents, this is a difficult task.
What works great for the almost-three-year-old is a barrier. Despite what some parents feel, you can’t reason with a 27-month-old. Ever witness the mom trying to explain to a 27-month-old the reasons they have to sit in the car seat, or why they can’t have a bag of candy for lunch? The child is nowhere near able to understand the conversation. Simple reminders and constant physical removal of the thumb by the parent is helpful during the day. Instruct the parent to gently grab the finger or thumb and pull it out saying, You’re a big boy/girl; we don’t do that any more. Just warn the parents that they will be doing this a thousand times a day.
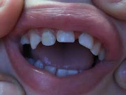
Six-year-old patient with chronic thumb-sucking habit
Nighttime is easier. A nice cheap pair of wool socks over the hand works great. Now, I’m not talking about nice smooth wool socks. I’m talking about the old-style of thick, straggly, “pokey” socks. The reason is, first, no one wants that in their mouth. Ever lick a cat’s tail? Second, those straggly fibers tickle the face. When the child is half asleep and the natural instinct to put that finger in the mouth takes over, those fibers will irritate the face and there will be a natural withdrawal. I know what you’re thinking: They will just take the sock off. Well, not if it’s sewn to a long-sleeved pajama top or shirt! That has never failed if the parents are consistent. Parents have told me all sorts of things they have used—from oven mitts to ski gloves. I do know that cotton socks don’t work. Period! Some commercially made products are available, but most are made out of thin cotton or thin plastic. Cheap old wool socks work great. Have Aunt Thelma knit some up.
If the child is old enough or cognitively able, a reward system is great! Have a reward chart available on your web page or at your office to give to patients. Here is a sample.Older children and teens need a different approach. Threatening! Just kidding. A reward system works as well, but make it age appropriate. These kids will laugh and roll their eyes at a sticker chart on the fridge. Although if you use one, invite their friends over to see it. The sheer power of embarrassment may be enough. I may have to try that with my teens and put up a lazy or bad attitude chart. Sometimes just talking about it is enough to help break the habit. But you have to talk to them about it! Tell them why it’s important to stop. A simple reminder such as a Band-Aid on the finger or white medical tape works well if the child is ready to stop.
Desire is key. He or she has to want to stop. A reward system is good because it is motivating, which in turn helps promote the desire to stop. No amount of talking and threatening will work if the desire is not there. My mother-in-law would pay her kids to practice piano. They all still hated it, but they did it for the reward. Now the kids are all adults and love playing. My friend in high school loved smoking, and her mom bribed her to stop with a diamond ring passed down from her grandmother. It took her all of three weeks to stop. Motivation and desire are strong forces.
I treated a 14-year-old with severe malocclusion from sucking two fingers at once. Her mom refused to address the issue with her and made it my problem. Mom insisted on an appliance, which I made the mistake of placing. The patient had absolutely no desire to stop. Mom expected this appliance to work despite our many conversations in which I told her I disbelieved it would work, due to the lack of motivation. After eight months, there was no ending of the habit. The patient just favored a new area anterior to the appliance. You must have the help of the parents to assist with motivation.
Let’s talk about appliance therapy. I believe this should be used only as the last resort if all other attempts at breaking the sucking habit have failed. I have to be honest and tell you that even this may not work if the child has no desire to stop. These appliances are used as a tangible reminder or a barrier. A Bluegrass appliance is a great reminder for the child who wants to stop but needs a constant reminder, as some kids don’t even realize the habit is taking place. Other appliances include a fence or even spikes that poke the finger/thumb. But again, the desire to stop is key.
My mom had our dentist use a spiky appliance on my brother. It took him a whole day to find another spot in his mouth that satisfied him. That elongated thumb was magical. Just as a side note—before that, it was my job to paint my brother’s thumb with a horrible-tasting polish before bed. It took him all of 15 seconds to suck it off, and then he was back at it all night long. I was on the top bunk, so I heard his thumb relations all night long.
Pacifiers, babas, mute button, Mr. Chewy, or whatever you want to call it . . . they all are easy to deal with. The fastest way is to gather them all up—every one of them—and throw them away. At bedtime, give the kid a nice kiss, shut the door, and walk away. A few horrible nights will follow, but it will be over one night. Have a date weekend and invite grandma over—that is, if you want to get back at your mother-in-law for something. If that is not an option, throw all but one pacifier away. Every day, with sharp scissors, cut a paper-thin piece off the tip. After a while, the baba will not be as fun. At that point, the child is told that’s all there is and most of the time, the sucking habit will be over.
Older children four and up do well with giving the pacifier away. Throw all but one away and explain to the child that the little baby down the street (or new cousin or anyone with a new baby) has no money and is so sad that they don’t have a Binky. Really go into lots of detail about how it will help the mom and the baby to sleep better. Convince the child to give theirs to the baby and wrap it up with a bow and then give it away. A reminder later will be needed that the child gave theirs to the baby, and it’s all gone. I have a few special toys at the office that I use for trades when the parents think it’s time. I trade their last pacifier for a toy. If parents really want it to be gone and are afraid to hurt little Holly’s feelings, I ask the child for it and take it away. Of course you have to get mom’s permission first (I made that mistake once). That way it’s my fault and not hers. But if any other pacifiers are found in the house, all efforts will be lost. Kids will steal them from siblings, so make sure all the others are gone.
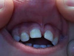
Some parents flat out don’t want to make five-year-old Johnny sad, so they refuse to address the issue, despite the negative consequences such as a large cross-bite and an open bite you can drive a truck through (see the photos below). In those cases, I’m glad I know some great orthodontists. Telling mom she’ll need $6,000 in a few years to correct the effects of Mr. Chewy may change her mind, but don’t always count on it.
Six-year-old patient with chronic thumb-sucking habit
It’s really rewarding when a young patient trusts you enough to try to stop. It’s awesome when you make a trade with a promise and a handshake. Patients are so excited to see you in a few months to tell you how big they are. I get kids at the grocery store running up to me with a huge smile, sharing with me that they stopped their habit!
This article first appeared in the newsletter, DE's Breakthrough Clinical with Stacey Simmons, DDS. Subscribe here.
ALSO BY DR. CONWAY JENSEN |Diagnosis and treatment for Breakthrough Clinical pathology case: No. 7
References
1. Nowak AJ, Warren JJ. 2000. Infant oral health and oral habits. Pediatric Clinics of North America. 47(5):1043–1066.
2. Warren JJ, Slayton RL, Yoneza T, Bishara SE, Levy SM. Effects of non-nutritive sucking habits on occlusal characteristics in the mixed dentition. Pediatric Dentistry. 2005;27(6):445–450.
3. Pinkham JR, Casamassimo PS, Fields HW, McTigue DJ, Nowak AJ, eds. Pediatric Dentistry: Infancy Through Adolescence. 3rd ed. Philadelphia, PA: W.B. Saunders Company; 1999.
4. American Academy of Pediatric Dentistry, Council on Clinical Affairs. 2003. Policy on oral habits. Pediatric Dentistry. 27(7):40.
5. Warren JJ, Levy SM, Nowak AJ, Tang S. Non-nutritive sucking behaviors in preschool children: A longitudinal study. Pediatric Dentistry. 2000;22(3):187–191.










