One chief complaint, one end result, and 20 ways to get there
This article first appeared in the newsletter, DE's Breakthrough Clinical with Stacey Simmons, DDS. Subscribe here.
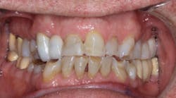
Welcome to the wide world of dentistry where there are so many options! I’m going to start off the year by asking a question, but first, take a look at the photo at the right.
The patient’s chief complaint is that he wants his smile back. Now, what would you do, and how would you do it? Right off the bat, there are more questions than answers. How you approach this particular case may be totally different from 10 other dentists who give their insight—i.e., restorative materials, sequence of treatment, etc. The beauty of it all is that somehow the end result will be similar. I will post this case on DE’s Breakthrough Clinical Facebook group and note what I’ve done and the complications that have come about. I’m intrigued as to what your ideas are and the solutions you’d put forth.
What are your thoughts on keeping Johnny’s parents in the room while treating him? Should you ask them to leave? Is it better that they stay? The conundrum is real, but in the end, Johnny needs to be seen. Dr. Conway Jensen may help you with this dilemma.
With regard to root canals, exactly where does the apex end? Is it better to obturate to the end or go slightly short of said apex? Again, these questions beg answers, and Dr. Allan Deutsch’s insight may surprise you.
We’ve all experienced it—a tobacco user comes in with tissue that looks like corrugated cardboard, and we tell them … what? Stop using tobacco? This is a precancerous lesion, so let’s biopsy it? Note the changes in six months? Oy vey! What is the follow-up and best way to approach this scenario? This month’s path case will be slightly different as the answers are going to come from you!
Send your thoughts via e-mail or go to Breakthrough Clinical’s Facebook group and let us know what’s in your bag of tricks and treatment. Next month, we’ll put it all together.
There’s lots going in the wide world of dentistry. It’s going to be a great year!
Cheers!Stacey L. Simmons, DDS Editorial Director, DE’s Breakthrough Clinical with Stacey Simmons, DDS
This article first appeared in the newsletter, DE's Breakthrough Clinical with Stacey Simmons, DDS. Subscribe here.
LAST MONTH . . . Cheers to the best of the best in 2016 from DE's Breakthrough Clinical
For more articles about clinical dentistry, click here.
For the most current dental headlines, click here.
About the Author
Stacey L. Simmons, DDS
Editorial Director of DE's Breakthrough Clinical e-newsletter
Dr. Stacey Simmons grew up in Hamilton, Montana. She did part of her undergraduate work at Purdue University and then received her bachelor’s degree in exercise physiology from the University of Utah. After applying to both medical and dental school, she decided that dentistry was her career of choice. She received her DDS degree from Marquette University School of Dentistry in Milwaukee, Wisconsin, in 2004. In private practice, she focuses her care on prosthodontics and cosmetic dentistry. She is a guest lecturer in the Anatomy and Physiology Department at the University of Montana. Outside the office, she trains for triathlons and spends time with her family. You may contact Dr. Simmons by email at [email protected].
In 2015, Dr. Simmons became the editorial director of DE's Breakthrough Clinical with Stacey Simmons, DDS, an e-newsletter focused on breaking through plateaus in clinical practice. Subscription information may be found here.
Updated May 4, 2016


