Dr. Kinra's case gallery: Soft landing
By Diwakar Kinra, DDS, MS
May 21, 2013
Case description: Patient presents to the office with a chief complain of “My tooth is sensitive to cold air.”
Upon diagnostic testing, replicated prolonged sensitivity to cold after implementation of Endo-Ice. Pain to percussion and chewing were also confirmed with proper testing.
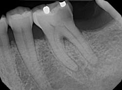
Upon radiographic analysis, noted caries encroaching the pulp chamber, thickening of the PDL on the mesial root, and the start of apical osseous breakdown on the distal root. Pulp chamber and canals deemed slightly constricted and pulp stone recognized towards the distal.
Pulpal diagnosis: Irreversible pulpitis
Periapical diagnosis: Symptomatic apical periodontitis
After obtaining straight line access and caries removal, the canals were located and negotiated to working length with a number 10 stainless steel C-file and Pathfiles one through three. Glidepath was confirmed with a Root ZX, with a number 15 K-file. At this time, the orifice was further enlarged and relocated over the long axis of each root with GTX 40-.10.
Next, the canals were shaped using GTX Files. Initially, a 40-.06 was taken to resistance. At this time, a crown down method was used going from 30-.06 to 20-.06. Final shape was determined to be a 30-.06 for all canals. These were confirmed using a shape verifier (provided with Guttacore obturators) and an apex locator.
Canals were irrigated with full-strength sodium hypochloride and Q-mix and agitated with an EndoActivator for one minute in each canal. Next, the canals were dried and sealer was applied with a paper point in the coronal half of the canal.
Obturation was completed by slowly placing the Guttacore obturators to length and removing the handles with a sharp spoon excavator. It can be noted that Obturation looks complete and an apical dilacerations was picked up on the distal canal.




