One of my favorite orthodontic cases
First off I'm not an orthodontist nor do I play one on TV, but I was at least partially trained at a Holiday Inn Express. I have taken several comprehensive orthodontic training courses including Dr. Robert Gerety's course, Progressive Orthodontics, and a hands-on tip edge course in Austin with Dr. Jeff Gerhardt.
This is a case that I took on early in my career as a wannabe orthodontist.
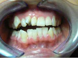
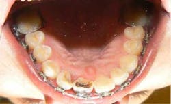
She came to me for an orthodontic consultation. She was 24 years old and hoping to marry her then-boyfriend at some point, but she didn't like her smile; she felt it was unattractive. So we gathered her orthodontic records and pointed out to her that it appeared she had either a supernumerary tooth or over-retained primary tooth between her upper centrals. Along with this, she also had some minor crowding on her lower teeth. She had a Class I molar relationship that I hoped to maintain.
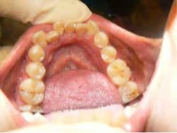
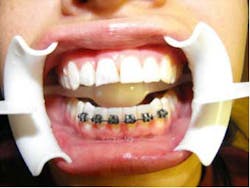
Extraction of supernumerary tooth —
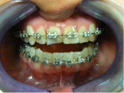
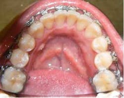
Month 0-3 I like to start all my orthodontic cases off with a light round nickel titanium wire such as an 014N or 012N. While in this wire, I used some elastomeric chain to help align and rotate the teeth.Month 4-10 I continued to level the teeth and begin to reposition brackets on a 18X25 heat-activated NiTi wire based on a panoramic X-ray that I like to take to help me with root positioning.Month 11-16 Progress to a stainless steel 19x25 wire for more tooth torque and better bracket engagement.Month 16-18 Finishing on a 018SS. I don’t have much wire-bending skills, so I mostly move brackets and am capable of only some simple step bends.
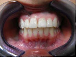
Bleaching — We debanded the upper and performed a Zoom bleaching up top. At that time we also impressed to make a lower bonded lab-fabricated retainer. (I know we should do this in-office.)














