Habit appliances for the general dentist
If you are a general dentist, now is the time to add simple orthodontics to your tool belt. Fixed habit appliances are the easiest to start with. They are simple because they require no adjustments, and there are no moving parts. Compliance from patients is assured, because the appliance is fixed in place.
ALSO BY DR. MARIELAINA PERRONE | Myths and facts about cosmetic orthodontics: addressing common patients' concerns
As we move forward in our dental careers, many of us tend to focus on learning techniques that will produce high dollar value. We often forget about assessing oral habits such as thumb sucking and tongue thrusting and the incipient damage caused to the oral cavity by such habits. Learning to incorporate your knowledge of these issues to benefit your patients (and your practice) is not only rewarding to all involved, but prevents further problems down the road for your patients.
ALSO BY DR. MARIELAINA PERRONE | Hawley appliances: what they can do for your dental practice
The two main habits that appliances are used to treat include:
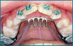
- Thumb sucking — This can be either a fixed crib appliance or a rake-style appliance.
- Persistent tongue thrust — This can utilize the crib, rake, or spiked style.
Palatal rake for cessation of thumb sucking (Image provided by Great Lakes Orthodontic Lab)
Treatment planning will initially be used to determine whether the patient is a candidate for these appliances. Start by asking a few simple questions.
Thumb sucking
- Ask the patient and parent about the duration, intensity, and frequency of the habit. Next, check the physiological signs of the habit (thumb irritation, palatal changes, anterior tooth displacement/open bite) to see if the signs coincide with the answer the parent and patient are giving.
- Ask the patient (without the parent in the room) whether he or she is ready to stop the habit and willing to do whatever it takes. It is important to note that one of the main reasons for the establishment of a tongue thrust habit is forced cessation of thumb sucking.
- Ask what has been done at home to stop the habit. Patients should have been attempting cessation at home already on their own to assure you of their readiness.
Tongue thrusting
- Ask the age of the patient. Generally tongue thrusting self-corrects by 8- to 9-years-old.
- Ask whether the patient has already seen an orthodontist to align the occlusion. If yes, then ...
- Ask whether the patient has seen a therapist for myofunctional therapy. If yes and the habit still remains, then evaluate the causes. These can range from prolonged thumb sucking, anatomy issues (high palate, large tongue), to neuromuscular disturbances (poorest prognosis).
- Ask whether the patient is ready to wear the appliance. The patient needs to want to do this or the prognosis will be poor.
- Determine the intensity of the tongue thrust. There are two ways to check:
- Simple — Tongue thrust with a teeth-together swallow. These are ready to treat with appliance therapy.
- Complex — Tongue thrust with a teeth-apart swallow. These patients may require further orthodontic treatment and airway assessment.
Once you have assessed that your patient is ready, the steps include:
- Study models and bite registration.
- Have the lab fabricate the appropriate appliance.
- Cement the appliance in place.
- See the patient in two weeks to evaluate how he or she is doing with the appliance.
- Remove the thumb-sucking appliance in two to nine months depending on initial severity. Remove the tongue-thrust appliance in six to nine months depending on severity.
Important note: Parents should be informed that further orthodontic treatment may still be necessary after cessation of the habit appliance.
Choosing the appliance
In my opinion, it is best to go with the most effective appliance this is usually the most uncomfortable for the patient. These include the palatal rake for thumb-sucking habits and the spikes for tongue thrusting. I have seen plenty of nice-looking, comfortable appliances that the parent and patient love, fail. There is nothing more disheartening than for your patient to wear the appliance for an extended period of time, and then have to restart therapy with a new appliance.
Conclusion
There is a great sense of pride and accomplishment for all when a disruptive, disfiguring habit is discontinued. Your patients will spread the good word about you, and what better way to get new patients into your practice?
ALSO BY DR. MARIELAINA PERRONE |Orthodontic movement for the general dentist



