New Article
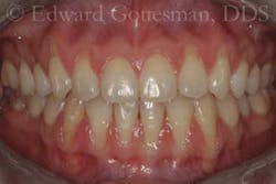
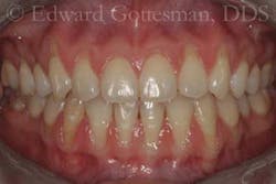
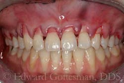
By Edward Gottesman, DDSGingival recession is a frequent esthetic complaint. Traditional techniques to cover denuded roots rely on harvesting palatal autogenous connective-tissue (CT) grafts, which can cause considerable discomfort and prolonged healing.An attractive alternative to CT harvesting is the acellular dermal matrix (ADM; AlloDerm®, LifeCell Corp., Branchburg, NJ/BioHorizons, Inc., Birmingham, AL). ADM is produced from donor skin with epidermis and cellular components removed. Its advantages include improved patient comfort and acceptance, reduced morbidity, biocompatibility, and availability in quantity, making it ideal for multiple-tooth coverage. Recession coverage with ADM is comparable to that of autografts, with predictable clinical attachment-level gain, thickening of the remodeled gingiva, consistent stability, and recession prevention.The alternating-papilla tunnel technique developed by Dr. Edward “Pat” Allen and colleagues facilitates ADM grafting, minimizes trauma, and improves blood supply. Preoperative presentation shows severely denuded roots on teeth Nos. 3 through 14 and 19 through 30 in a healthy 29-year-old Asian female patient:
Papillary incisions are made on alternating papillae, preserving midlines. Split-thickness flaps are elevated on the incised papillae to create flap advancement recipient sites; a supraperiosteal pouch is dissected superiorly/inferiorly to the tunneled papillae (12 mm to 15 mm from the gingival margin):
The ADM graft is appropriately hydrated, sized, and trimmed:
... threaded through the tunnels and under the dissected papillae, then sutured with interrupted 7-0 polypropylene sling sutures around individual teeth:
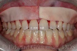
The flap is then advanced and sutured with interrupted 6-0 polypropylene sling sutures, completely covering the ADM graft:
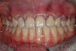
Maxillary (1 year+) and mandibular (four weeks) postoperative results ...
... demonstrate highly esthetic, stable elimination of recession.Author bioDr. Edward Gottesman is a diplomate of the American Board of Periodontology, and a fellow of the International Congress of Oral Implantologists. Dr. Gottesman received his DDS degree and completed his periodontal residency training at Stony Brook University School of Dental Medicine, State University of New York, Stony Brook, N.Y., where he teaches part-time. He is a partner at PerioNYC, a private periodontal and dental implant practice in Manhattan. You may contact Dr. Gottesman by email at [email protected] or visit www.perionyc.com for more information.










