A dental picture that's worth thousands of dollars, literally
Dr. Stacey Simmons compares photos taken with an inexpensive intraoral camera compared to an expensive one obtained through her dental supplier. "Well, simply put, I got ripped off."
Editor's note: This article originally appeared in Breakthrough Clinical, a clinical specialties newsletter from Dental Economics and DentistryIQ. To subscribe, visit dentistryiq.com/subscribe.
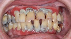
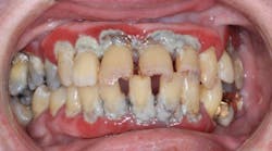
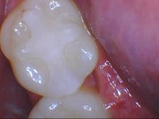
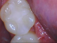
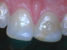
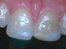
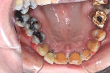
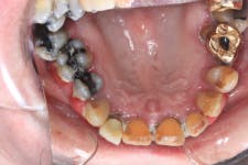
TAKE A LOOK AT THESE PICTURES immediately above and below this paragraph. They are photos of the same teeth. Can you tell a difference? Aside from the hue (warm versus cool, which can be changed!), they are, for the most part, equivalent...except for one thing. Figures 1, 2, and 3 are literally worth thousands of dollars (around $3,500, to be exact), whereas Figures 4, 5, and 6 cost less than $200. What am I driving at? Well, simply put, I got ripped off. Let me explain.
When I did my start-up practice, naivete was my middle name. If the dental supply rep said I needed A, B, and C, I bought A, B, and C without question. Blame that on whatever you’d like, but I was so focused on getting patients in the door and offering the “best of the best” that perhaps I gained comfort knowing I could defer to the “specialists” when it came to equipping my office. Intraoral (IO) cameras were no exception.
As an adjunct in the clinical setting, IO cameras are invaluable. When you put a picture in front of patients and have them help diagnose their own problem, their next question is usually, “How soon can I get in to get this fixed?” Furthermore, these photos are vital for insurance claims processing, as clinical proof of what we do (or don’t do) is becoming more and more mandatory.
Fast forward to today. I’d like to think I’ve become a more savvy dental equipment consumer because experience, trial, and error have taught me a thing or two along the way. I’d been using the name-brand IO cameras for years and, for the most part, never had an issue with them. I take pictures of everything. Time and use have taken their toll because they have started to break down, and I've subsequently needed to invest in new IO cameras. Ouch. The price tag sucked, and because I’m a stubborn person, I was a tad reluctant to pay what the dental suppliers were asking. OK, really reluctant. My pragmatic mind said, “They are small handheld cameras that hook into a USB port that integrate into a software system. It’s not that technical!”
My astute office manager started to do some research and found an IO camera that was less than $200 (compared to the quoted price of $3,500–$5,000 from the supplier). The camera had an impressive number of favorable reviews, and it supposedly integrated easily into my existing software system (Eaglesoft). This was key. I didn’t want a lot of hassle, and ease of use was mandatory. I figured, why not; let's try it. If it doesn’t work, I’m hardly out anything, and I can return it. Win-win.
The result is what you see in Figures 4, 5, and 6 above, which easily suffice for their intended purpose—basic recordkeeping and submission to insurance companies accompanying claims. For large reconstruction cases or full-mouth capturing (figures 7 and 8), I use a Canon Rebel T3i camera with a 100 mm macro lens and a flash/rim light. This package cost me just under $2,000, which is surprisingly less than what the dental supplier wanted for a new IO camera! Yup. Really. Not a fan of my dental supplier right now.
If I’m in a quick bind (like I was before I purchased additional IO cameras), I even whip out my iPhone, which actually took a pretty decent picture of this crack I wanted to document on No. 18 (figure 9). Try and convince me now that I need that really expensive IO camera. Nope. Not happening, especially when I can crop, filter, and zoom in on a picture that isn't worth a few thousand dollars.
Figure 9
The bottom line is this: we have the choice to be smart and thrifty when we put money on our office credit cards for basic necessities that don’t necessarily need to be purchased through a dental supplier.
Here’s another example: plastic chair covers from a dental supplier cost, on average, $0.20 each. Plastic wastebasket liners from Costco that cover the same amount of chair cost $0.02 each. I’m saving $0.18 per patient, and that adds up every day, week, month, and year. A piece of plastic like that should not be so expensive! So, yeah, I’ll take it.
What am I saying? Hello, Amazon, Costco, and third-party suppliers that offer the same materials at a fraction of the cost. This begs the question: are dental suppliers going the way of Blockbuster Video? Perhaps. To find out, stay tuned As the Dental World Turns...
Cheers!
— Dr. Stacey
Editorial Director, Breakthrough Clinical
LAST MONTH >> Unsupervised dentistry: Dentist buddy-buddies, fixing 'gum decay,' and DIY ortho aligners—say what?!
Editor's note: This article originally appeared in Breakthrough Clinical, a clinical specialties newsletter from Dental Economics and DentistryIQ. To subscribe, visit dentistryiq.com/subscribe.
Keep reading more articles about clinical dentistry at this link.
For the most current dental headlines, follow this link.
About the Author
Stacey L. Simmons, DDS
Editorial Director of DE's Breakthrough Clinical e-newsletter
Dr. Stacey Simmons grew up in Hamilton, Montana. She did part of her undergraduate work at Purdue University and then received her bachelor’s degree in exercise physiology from the University of Utah. After applying to both medical and dental school, she decided that dentistry was her career of choice. She received her DDS degree from Marquette University School of Dentistry in Milwaukee, Wisconsin, in 2004. In private practice, she focuses her care on prosthodontics and cosmetic dentistry. She is a guest lecturer in the Anatomy and Physiology Department at the University of Montana. Outside the office, she trains for triathlons and spends time with her family. You may contact Dr. Simmons by email at [email protected].
In 2015, Dr. Simmons became the editorial director of DE's Breakthrough Clinical with Stacey Simmons, DDS, an e-newsletter focused on breaking through plateaus in clinical practice. Subscription information may be found here.
Updated May 4, 2016












