New Products
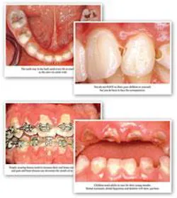
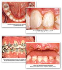
Practicon introduces exclusive dental hygiene poster series. Practicon has launched a series of four dental health posters based on the popular book by Dr. Theodore Croll, “The Gross, Disgusting and Totally Cool Mouth Book.” The book features unforgettable, real-life photos that illustrate the importance of good dental hygiene, and the poster series enlarges four of the book’s convincing pages into stand-alone photographs. Brief captions printed below each photo make each dramatic image self-explanatory. Individually or as a set, each poster is laminated and fits into a standard frame. For more information, call (800) 959-9505 or visit www.practicon.com.
Waterpik® releases new orthodontic tip. A study published in the April issue of the American Journal of Orthodontics and Dentofacial Orthopedics compared the Waterpik® dental water jet with orthodontic tip to flossing. In this single-blind, parallel, randomized four-week clinical trial, the group that used the Waterpik with the orthodontic tip removed three times the amount of plaque and reduced 26% more bleeding compared to the flossing group. Orthodontic patients finally have an easier and more effective alternative to traditional flossing. Visit www.waterpik.com and take advantage of complimentary continuing education programs and patient education brochures, which include a $5 rebate. For more information, call (800) 525-2020.
DEXIS® introduces DEXusb™ for freedom of choice in connectivity! DEXusb is a fast, robust USB sensor controller. It offers a digital X-ray imaging solution that provides maximum portability, ease of use, and affordability. Building on the ultra-portability concept of its PC card, DEXIS now provides a choice of PC card or USB — or both! Clinicians can elect to use either interface on the same workstation. DEXusb is completely self-powered. No additional docking stations or adapters are required, which makes DEXusb an affordable way to bring digital X-ray to the entire practice. Visit www.dexis.com to learn more.
Indigreen Innovations adds Fast Dams. Anatomically shaped Fast Dams are used in place of cotton rolls to retract the cheek and tongue while maintaining a dry field. Perfect for use when applying sealants or when a rubber dam is too cumbersome, Fast Dams feature 17 suction holes along the perimeter to aspirate continuously. Smooth rigid plastic construction will not collapse. Molded anatomical shape stabilizes position and frees hands by eliminating the need to hold evacuation instruments. Fast Dams fit into all standard saliva ejector valves and will not aspirate soft tissues. Order through your dealer. For more information, visit www.indigreen.com.
ADSTRA Systems, Inc. introduces ADSTRA Charting™ M4, which takes advantage of the increased robustness and security provided by the Microsoft SQL database, and allows user-controlled, off-site backup. ADSTRA Charting software provides a complete charting system that allows dentists to create examination, treatment, and treatment plan charts for general, restorative, endodontic, and periodontal dentistry. Features include freehand text fields, formatting tools, user-definable values for perio, endo, implants, and much more. For more information, call (800) 450-0220, or visit www.adstra.com.
Ivoclar Vivadent bluephase G2: for every material, every time. Ivoclar Vivadent introduces the new bluephase G2, the first cordless, high-performance polymerization light to offer limitless LED curing. Suitable for every clinical situation, it can be used for the fast polymerization of all light-curing dental materials in the wavelength range of 380 nm to 515 nm. Its virtually noiseless cooling fan enables unlimited use to cure all indications with no cooling time required, and its state-of-the-art, 60-minute-capacity lithium polymer batteries offer the ultimate in mobility. For more information, call (800) 533-6825 or visit www.ivoclarvivadent.us.
A-dec® enhances new Preference ICC® offerings. A-dec announces three new modules for the Preference ICC system, a collection of cabinet modules specifically designed to meet the sterilization needs of dental practitioners while also improving efficiency. The new modules include the C2S2 Clean Storage Module, the CST1.12 Full-height Storage Module, and the CST1.25 Full-height Storage Module. In addition, the Preference Collection 5591 ICC Corner Module now comes with bi-fold doors standard for the upper storage area. For more information, visit www.a-dec.com or call (800) 547-1883.
Sunstar Americas adds new Eez-Touch disposable prophy angle. Latex-free Eez-Touch provides clinicians with multiple benefits and enhancements for advanced stain removal and interproximal cleaning. With its unique soft grip, the Eez-Touch allows for increased control, eliminates slipping when wet with saliva or paste, and is designed to reduce vibration and finger and hand fatigue. For more information, visit www.GUMbrand.com.
Patterson Dental announces CAESY Smile Channel DVD 2008. CAESY Smile Channel DVD 2008 is the latest version of the educational reception area program designed to inform and entertain patients on a variety of topics. Two new programs, Talk Out Loud and Health Watch, motivate patients to take a proactive role in maintaining their oral health. The technology section offers three new presentations on the latest innovations in dental equipment, including lasers, CEREC® CAD/CAM technology, and VELscope for early detection of oral cancer. For more information, visit www.caesy.com or call (800) 294-8504.
iKey Medical Keyboards help prevent cross-contamination. One of the biggest concerns is effective infection prevention, and disinfection of commonly used objects is fundamental in preventing cross-contamination. iKey LTD presents the SK-97-TP. Tightly sealed in a durable, waterproof polycarbonate case, the SK-97-TP is designed for easy disinfecting and is compatible with all hospital-approved cleaning agents. Its low-profile keys offer tactile feedback, and a highly-sensitive Synaptic touchpad with left and right click buttons offers additional convenience and functionality. Visit www.ikey.com/medical or call (800) 866-6506 for more information on iKey’s medical keyboards and computer mice products.
Power back with Power Tower by Gaia Power Technologies. Power events are here to stay. Blackouts and brownouts can happen at any moment, and only those businesses equipped with a backup power solution can escape the hassle, inconvenience, and cost of a power event. The Power Tower installs easily, operates without interruption to protect sensitive equipment, provides hours or days of power, and scales in size to fit existing and future needs. Large-site needs can be addressed by installing multiple units. To learn more, call (888) GAIA-NOW (424-2669) or visit www.gaiapowertech.com.
ARM & HAMMER®adds new Age Defying toothpaste. The Makers of ARM & HAMMER® Oral Care Products introduce Age Defying Toothpaste, a new formula with 35% baking soda, 0.24% sodium fluoride and amorphous calcium phosphate (ACP). The formula delivers fluoride plus calcium and phosphate ions to help rebuild and strengthen tooth enamel. Baking soda and ACP also deliver nonabrasive whitening that dissolves, penetrates, and lifts stain. Age Defying is available in full- and trial-size tubes to dental professionals by calling (800) 447-6666. For more information, visit www.oralcarepro.com.
Video Dental Concepts releases new Retropan™ kit. Why change your pan? Video Dental Concepts’ new, easy-to-integrate Retropan kit has been upgraded to TWAIN compatibility and combines the latest CCD technology with a USB interface. The logical alternative to purchasing a new digital pan is to digitize your existing unit. There is no end-result difference between a retrofit and a factory-set kit. Retropan is compatible with seven major pan brands and there’s no down time because your unit is converted overnight. Call (800) 323-2690 or visit www.videodental.com.
Preferred Distribution, Inc. releases Blast™ — it’s alive! BLAST is a unique, new evacuation system cleaner that utilizes live bacteria to keep the system clean and odor free. Unlike common cleaners that work only on contact for a brief second, BLAST works continuously thanks to its patented, live bacteria formulation. It works 24/7, even when the office is closed. BLAST digests organic matter, including biofilm in the evacuation lines. It is nonfoaming and amalgam separator-friendly. Call (800) 365-2839 for information or to order.
Supermax Aurelia®Luminance™ fully textured latex power-free gloves are specially formulated for dental professionals. An advanced polymer coating technology provides optimum comfort and added gripping action. The gloves are fully textured for greater tactile sensitivity, even in wet conditions. They are 100% visually inspected for quality and flat-packed piece by piece for easy dispensing and wrinkle-free gloves. For more information, call (877) 287-3542 or visit www.supermax-inc.com.
Paperless Technologies releases PT Dental 6.0. This version is a major release with more than 20 new features and changes. Examples include the ability to send automated e-mail and text-message appointment reminders that enable patients to complete online questionnaires directly from the e-mail reminder. Version 6.0 also utilizes both Tablet PCs and regular desktop computers, enabling users to complete and sign electronic documents on either type of computer. It also speeds up the patient check-in process, as answers provided by parents can automatically apply to their children’s forms as well, reducing or eliminating the need to rewrite the same information for each child. For more information, visit www.gopaperlessnow.com or call (888) 884-2225.
















