Periodontal disease loses battle against minimally invasive treatment
“For the first time, they have beaten the beast.”
Periodontal maintenance patients experience clinical success through nonsurgical periodontal treatment using Perio Trays
The patient in this case study is like many with gum disease. She has a long history of disease treatment, including regular three-month maintenance visits, yet she struggles to maintain healthy conditions. Bleeding on probing was present at 63% of the sites of her mouth. Thirty-seven percent of her pockets measured 4–6 mm. In addition to initial root debridement and scaling plus regular maintenance, she also had localized antibiotic therapies. The disease persisted.
ADDITIONAL READING …
Case study: Nonsurgical treatment for peri-implant mucositis and periodontitis
This situation is not unique. Roughly half of American adults have chronic periodontitis. Many dental professionals cite patient compliance as the number one obstacle to disease treatment, but really with what are patients asked to comply? Toothbrush, rinse, and floss can’t reach deep enough for effective patient home care, so even with frequent professional treatment, the bacteria grow back and infections chronically remain.
Dr. Daub and the patient’s hygienist, Melinda Evans, recommended prescription Perio Trays (Perio Protect, St. Louis, Missouri). The trays are custom-fabricated according to individual patient conditions and used at home in 15-minute increments to deliver medication deep under the gums. Dr. Daub prescribed Perio Gel (QNT Anderson, Bismarck, North Dakota) with 1.7% hydrogen peroxide to be used in the trays. The patient went home on June 23, 2016, with instructions to use the trays and peroxide gel for 15 minutes, three times a day for two weeks.
On July 7, 2016, when the patient returned, bleeding was reduced from 101 sites to seven sites, and deep pockets decreased from 37% to just 2%. The patient was then asked to incorporate the trays into her regular home care, using them once a day for 15 minutes.
Periodontal charting on June 8, 2016.
Periodontal charting on July 7, 2016.
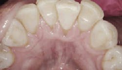
Taken after probing on July 7, 2016. Image courtesy of Perfect Teeth–Frank Lloyd Wright.
“At Perfect Teeth–Frank Lloyd Wright, we present Perio Protect trays to all qualifying patients based on a diagnostic profile of need,” explains Dr. Daub. “The sense of gratitude, hope, and confidence that Perio Tray patients express is so rewarding. Most periodontal maintenance patients are stagnating, merely maintaining conditions and not improving,” said Dr. Daub. “We have found that this product has given us clinical reward. Patients have also experienced emotional satisfaction, and for the first time they have beaten the beast!”
In the video below, Dr. Brian Daub discusses how he uses Perio Protect in his practice with his periodontal maintenance patients ...
Melinda Evans, a seasoned hygienist of 25 years, described chronically bleeding gums as a condition of periodontal disease “locked in time. The pocketing and bleeding simply never change. So when we introduced the Perio Protect tray delivery system,” she recalls, “the results were beyond my expectations. To this day, I still smile every time I show a new patient the results we are getting. Then,” she adds, “when they return and tell me ‘my gums never felt healthier,’ the treatment restores my hope for my profession. I waited 25 years to hear and see this excitement from my patients.”
In the video below, Melinda Evans explains how she talks to patients about Perio Protect as a nonsurgical approach to treating periodontal disease ...
ADDITIONAL READING …
Pocket depth reduction is not the aim of periodontal treatment
For details on the award and other recipients, visit theOrkosAward.com/studies. More information on the Perio Trays is available at PerioProtect.com.









