Endodontic insight into safety, efficiency, and cost savings
This article first appeared in the newsletter, DE's Breakthrough Clinical with Stacey Simmons, DDS. Subscribe here.
A good insight into endodontics is the understanding that the shapes an endodontic instrument imparts to the canal need not be conical in cross-section. While we need continuous tapers for effective irrigation and obturation, there is nothing in that need that requires the same taper in both planes with conical instrumentation being the unalterable result. Conical instrumentation is convenient, producing a shape that can be matched by a similarly tapered gutta-percha cone, but for most pulpal anatomy, it defines an inaccurate partial enlargement of a pulpal space that was initially most likely highly oval and isthmus-like. The result is often excessive removal of dentin in the mesio-distal plane where the pulp is thin and inadequate removal of the pulp tissue in the much wider bucco-lingual plane.
ADDITIONAL READING |The myth of 'easy' root canals in endodontics
K-files limited to short arcs of horizontal motion combined with the occasional pull stroke can retain the original shape of canals, but tend to impact debris apically resulting in a loss of length and subsequent canal distortions when an attempt is made to regain that length. They are also associated with hand fatigue. Their use has been reduced with the advent of greater tapered rotary instrumentation, an innovation that has led to the excessive removal of mesio-distal dentin and poor cleansing in the bucco-lingual plane. K-files proved problematic in their use leading to the introduction of greater tapered NiTi instrumentation that minimized their employment. Greater tapered rotary NiTi instrumentation, in turn, lead to excessive removal of dentin, the production of dentinal micro-cracks and the documentation of roots increasingly vulnerable to vertical fracture.
The pathway out of this dilemma is the use of modified reamers (see photo comparison, figure 1), 02 tapered stainless steel instruments with a flat incorporated along their entire working length (SafeSiders, Essential Dental Systems, EDS) where for the vast majority of cases the only instrument used manually is the thinnest one most easily negotiating to the apex. Once full length is achieved, as defined by the apex locator, the handle is attached to a 30-degree reciprocating handpiece oscillating at 3,000 to 4,000 cycles per minute. Short arcs of motion virtually eliminate instrument breakage and the production of micro-cracks associated with greater tapered rotary instrumentation.
ADDITIONAL READING |Avoiding common pitfalls in endodontic diagnosis
As these instruments are not prone to separation, dentists gain confidence to work the canals laterally against the broader buccal and lingual extensions of oval canals, producing shapes that are reflective of the original anatomy in larger form. For the same reason, the dentist is now confident in using the instruments more than once prior to replacement, dramatically reducing their endodontic costs.
This system works efficiently because each instrument widens the canals in both planes beyond its own dimensions. For example, the canals in a tooth may be so narrow that it takes the thinnest 06 tipped 02 tapered instrument several minutes to negotiate the full length of the canal. However, once reached and then attached to the reciprocating handpiece, the 06 tipped 02 tapered stainless steel reamers will then enlarge the canal beyond its own dimensions, allowing the subsequent 08 tipped 02 tapered stainless steel reamer to rapidly reach the apex that is then used in the same manner to allow the 10 tipped 02 tapered stainless steel reamer to quickly reach the apex. In this way, the SafeSiders give the dentist the means to achieve a glide path to 20 rapidly and safely. After the 20 relieved reamer is taken to the apex using the 30-degree reciprocating handpiece oscillating at 3,000 to 4,000 cycles per minute, the glide path is well defined and distortion-free.
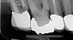
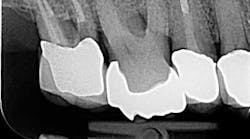
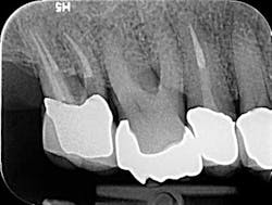
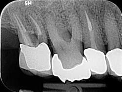
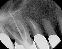
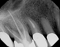
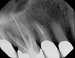
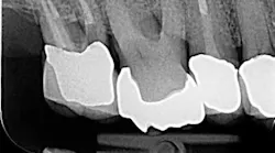
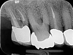
I then employ two instruments—the 30/02 Shaper and the 30/04 Finisher (Tango-Endo, EDS) that are also used in a 30-degree to 45-degree reciprocating handpiece, but designed with a more efficient flute design—to remove tissue and shave dentin away in the longer bucco-lingual isthmuses that may be present. These instruments are also highly resistant to separation, but for caution I suggest limiting their use to three teeth. Generally, there is little need to instrument the canals with larger instruments. If, in fact, the canal is wider than the instrument mesio-distally, in the same way the instruments can broaden the preparation bucco-lingually. It will also accomplish this task in the mesio-distal plane. Once shaped to these dimensions, the canal is properly sealed flooding the canal with epoxy resin cement via a bidirectional spiral applicator and the placement of a single Tango-Endo gutta-percha point (figures 2-3), demonstrated in the before-and-after radiographs.
This article first appeared in the newsletter, DE's Breakthrough Clinical with Stacey Simmons, DDS. Subscribe here.




