Quick tips on how to be a better clinical provider within all disciplines of dentistry
It is easy to go to work every day and do the same old drill-and-fill without thinking of what you could change or do better. Few would disagree that time commitments and comfort within the status quo are some of the most common reasons why clinical skills do not get sharpened. We are all busy, and it is natural to resist change. Despite the aforementioned, there are opportunities available for you to ruffle up said monotony, change course, and improve how you see and practice the art of dentistry.
ALSO BY DR. STACEY SIMMONS |Watch, fill, or crown? How you can involve your patients in the dental treatment planning process
After almost 10 years of practicing, I have briefly listed below a few notable clinical tips that have enabled me to continually improve my skills and change the way I do things for the better. I am able to maintain a high standard of care, which, in turn, instigates a reciprocated and long-term trusting relationship with my patients.
- Be up-to-date on dental products and their uses.
- Try new techniques and technology!
- It is easy to maintain a charted course and make the ruts in the road deeper. Instead, turn the corner and blaze a new trail. If it doesn’t work for you, then at least you know.
- For example, do you continuously use Tofflemire bands because that was what you did in dental school? I will tell you, there are better ways to achieve tighter contacts and more ideal contours with other techniques and products!
- Have you ever used a DIAGNOdent or used your computer software to its fullest potential? I submit to you that if you are using only your eyes, explorer, and X-rays, you are missing caries.
- Don’t let your likes and dislikes dictate or limit your potential to perform certain procedures in your chair. Expand a little with the insight and minds of your colleagues — especially in areas where you are most uncomfortable.
- Many general dentists refer difficult or complicated procedures to specialists — this is one of the things that makes our profession come full circle — a community of providers to ensure the best care possible.
- When you do refer, establish a trusting relationship with your specialist and use that association to both of your advantages.
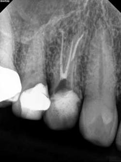
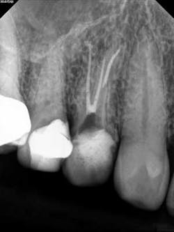
- Endo has never been one of my strong points in dentistry. I have found that spending time with my referring endodontist has allowed me to obtain a better understanding and acquire more honed in clinical skills. In addition to this, we also converse regularly on cases that I refer. Treatment plans are solidified with the use of newer technology because the diagnosis of pathology is more accurate. For example, we have found the 3-D cone beam to be quite advantageous to assess why a root canal is failing or noting the presence of that tricky third canal on a premolar or bifurcated canal on the molar.
- I have furthermore benefited from keeping up with all the current literature. There is absolutely no way that I can read every journal that comes across my desk — there is too much information to comb through, digest, and implement. By maintaining a close working relationship with my referring endodontist (and other specialists), I am able to discuss the current literature that he reads pertinent to his specialty and, in turn, I am able to share what I read. This routine has generated many healthy debates and exchange of information that would otherwise not occur. Examples include post vs. no post and treatment outcomes/recommendations for perio/endo lesions.
3 canals! Courtesy of Dr. Joe Petrino, DDS
By maximizing all available resources, you can easily (and inexpensively!) improve your clinical skills. Give it a try — what do you have to lose?
ADDITIONAL READING |General recommendations for the general practitioner regarding endodontic referrals









