Dental options for immediate temporization
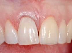
In a recent article, I went over the various types of options clinicians have when treating patients who need an immediate implant placed. As I had mentioned in that article, the placement of a temporary the day of implant placement has significant advantages in preserving the gingival form. The temporary may be attached to the implant, or may simply extend into the socket to maintain the emergence profile but not be attached to the implant.
ALSO BY DR. FRANK SPEAR |Options in anterior immediate implant placement
ALSO BY DR. FRANK SPEAR |Two fundamental etiologies of open embrasuresSurgeon constructs custom temporary. The process starts with the extraction of the tooth and placement of the immediate implant. The surgeon now has to decide what type of temporary he or she is going to construct, a custom healing abutment which has ideal emergence profiles but doesn’t extend coronally past the gingival levels, or a full temporary restoration. Two things typically effect which approach is taken: how much torque it took to reach final placement and how comfortable the surgeon is with making temporaries. If the implant required 35N of torque to reach final depth, a full temporary could be placed. However, if the surgeon is not comfortable making the temporary, then a custom healing abutment would be the best choice, with some form of temporary placed above the healing abutment but not attached to the implant. The challenge with this option is that most surgeons would prefer not to be involved in the process of constructing the custom healing abutment or the temporary.
Surgeon uses extracted tooth as temporary. A simple solution to getting a temporary with correct emergence profile the day of surgery is to use the extracted tooth. Prior to extraction a clear matrix is made similar to an Essix orthodontic retainer. The surgeon extracts the tooth and places the immediate implant with a cover screw or short healing abutment. Next, the root of the extracted tooth is cut off 2 mm apical to the facial CEJ. The tooth is tried back in over the implant and the root length adjusted until it goes into position with the clear matrix completely seated over the top. It doesn’t need to extend all the way to head of the cover screw, just 2 mm to 3 mm into the socket. The patient is instructed to keep the matrix in place with the tooth inside until the restorative dentist can create a temporary within the next few days. If the extracted tooth did not have a crown on it, and neither do the adjacent teeth, the natural crown of the extracted tooth can be bonded to the adjacent teeth as the temporary. If the extracted tooth has a crown on it, and the implant required 35N of torque to place it, the restorative dentist can fabricate a temporary directly attached to the implant. If the dentist desires using the extracted tooth and clear matrix as a removable temporary, perforations can be made through the lingual of the matrix into the tooth, and composite placed locking the tooth and the matrix together. The use of a removable temporary is not as predictable from a soft tissue perspective, however, as the other approaches. For years I have used the approach of having the surgeon place the implant and use the extracted tooth in the matrix as the immediate temporary. The patient then can come to my office one to three days after the surgery and I can fabricate whatever form of fixed temporary seems appropriate. This approach is very efficient for the surgeon, and also allows the restorative dentist the opportunity to fabricate the temporary in a more ideal environment.
Reprinted with permission from Spear Education.


