Battling Bulimia
Orthodontic and restorative dental treatment for a patient with severe bulimia
WRITTEN BY
Rhonda R. Savage, DDS
Eating disorders such as anorexia nervosa, bulimia nervosa, and binge eating are a serious concern in women’s oral health and a clinical challenge for dental professionals. All segments of the population are affected - men and women, young and old, rich and poor. An estimated seven million women and one million men suffer from eating disorders. Eighty-six percent report onset of illness by age 20, and 77 percent report duration from one to 15 years.1 Each of these eating disorders presents with unique patterns of psychological, medical, and dental characteristics.
Eating disorders involve serious disturbances in eating behavior, such as extreme and unhealthy reduction of food intake or severe overeating. Eating disorders are also often associated with feelings of distress or extreme concern about body shape or weight. They frequently occur with other psychiatric disorders such as depression, substance abuse, or anxiety disorders. In addition, people who suffer from eating disorders can experience a wide range of physical complications, including heart conditions and kidney failure, which could lead to death. Recognizing eating disorders as real and treatable diseases is critically important 2
Bulimia nervosa affects an estimated 1.1 to 4.2 percent of females during their lifetime. Bulimia nervosa is different than occasional overeating and is characterized by ...
• Eating a larger amount of food than most people would eat during the same time (may consist of thousands of calories)
• Food consumed within a short time, typically two hours or less
• A feeling that one cannot stop or control eating
• Physical or emotional distress
• A history of binging/purging two to three times a week for three months or longer
Following a binge, a person may feel consumed with fear, guilt, or shame and try to undo his or her behavior with vomiting, laxatives, water pills, fasting, or exercise. Purging, however, rarely works well for weight loss. It is estimated that 50 to 75 percent of the calories have already been absorbed.3 Laxatives and water pills cause water loss, not weight loss. Because purging or other compensatory behaviors follow binge-eating episodes, people with bulimia usually weigh within normal range for their age and height. They may fear gaining weight, desire to lose weight, and feel intensely dissatisfied with their bodies. People with bulimia often perform behaviors in secrecy, feel disgusted and ashamed when they binge, yet relieved once they purge.
Most people in our culture are concerned with how they look or what they weigh, and may choose to alter body parts that they don’t like. With bulimia, there is an intense connection between self-respect and the way the body looks. Eating disorder patients experience a high level of dissatisfaction with other nonweight-related physical attributes such as the appearance of their skin, teeth, jaw, nose, ears, and height.5
This article will discuss one form of eating disorder - bulimia nervosa - and present a clinical case study that illustrates dental treatment for a patient with a history of severe tooth erosion.
Case report
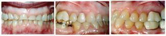
A 55-year-old female presented for restorative treatment of her anterior teeth (Figure 1). She had a history of bulimia during college, which resulted in extensive erosion of her maxillary anterior teeth. Her lower anterior teeth had super-erupted, leaving her with a reverse smile line. Upon clinical examination, we noted that she had good oral hygiene, extensive incisal tooth loss of all her anterior teeth, erosion at the cementoenamel junction, and a history of clenching/grinding. She reported that she had controlled the bulimia for years, and was seeking good esthetics and function.
Clinically, her roots were short and tapered. She was not a good candidate for periodontal crown lengthening. She also did not want a full-arch restoration that would have allowed increased vertical dimension for anterior crowns. After reviewing all treatment options, she elected to have orthodontic treatment completed to create clinical space for anterior restorations.
Orthodontic treatment began with maxillary braces to intrude the maxillary incisors and level the gingival margins. Mandibular braces were placed to intrude the lower anterior teeth, open space for a future bridge for Teeth Nos. 29 to 31, and achieve well-related occlusion. The orthodontic treatment was to take approximately 26 months. The patient knew that composite bonding would be necessary several times during treatment to achieve the best esthetics and function. A consultation with a periodontist was completed to discuss the possible need for tissue grafting in the mandibular premolar areas. A night guard to manage the parafunctional habit was completed following her final restorations.
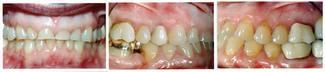
The composite buildups were completed twice during the orthodontic phase as the teeth were intruded (Figure 2). After a thorough discussion of her restorative choices, the patient chose porcelain-fused-to-metal crowns because of her heavy daytime clenching habit. The metal linguals allowed for minimal tooth reduction and preservation of the remaining mandibular enamel. She did not want to cosmetically whiten her teeth, and chose to postpone restorative treatment of her mandibular teeth.
The patient was pleased with the results (Figure 3). The crowns restored adequate function and esthetics, and the vertical dimension was achieved through orthodontic movement. Interdisciplinary treatment enabled the patient to regain good esthetics and improve her self-esteem.
Discussion
The primary goal in treating bulimia is to reduce or eliminate binge eating and purging behavior. To this end, nutritional counseling, psychotherapy, and medication management strategies are often used. The most commonly prescribed medications are antidepressants, such as Prozac or Norpramin. These help relieve depressive symptoms and help individuals achieve a healthier body image. In some cases, an antiemetic, such as Zofran, prescribed on a short-term basis will help reduce the stimuli to vomit.5
Appropriate dental treatment is based in the multidisciplinary facets of these conditions. Oral health findings of anorexia and bulimia vary according to how long a person has the disorder, the degree and frequency of pathological eating behaviors, and diet and oral hygiene habits.6 The most common oral manifestation is tooth enamel erosion or perimylolysis associated with the chronic regurgitation of gastric contents. Hellstrom defines this condition as “A loss of enamel and dentin on the lingual surfaces of the tooth as a result of chemical and mechanical effects caused mainly by regurgitation of gastric contents and activated by movements of the tongue.”7 The erosion has a smooth, glassy appearance, especially on the palatal surfaces of the maxillary anterior teeth. The margins of restorations may appear to be “floating,” or higher than adjacent tooth structure. Other occlusal changes may include an anterior open bite and loss of vertical dimension caused by loss of occlusal and incisal tooth structure.8 Bruxism and clenching and abnormal swallowing habits also may contribute to loss of tooth structure.9 Bulimic patients tend to binge on foods high in carbohydrates. A high carbohydrate diet and acidic condition of the mouth from gastric contents can lead to a high caries rate.
Oral health professionals must be aware of the signs of eating disorders and be prepared to collaborate with other health professionals regarding treatment. Management of patients with eating disorders requires assessment, intervention, restorative dental treatment, and dental hygiene treatment. Because of the secretive nature of eating disorders, assessment of patients should begin in a nonthreatening manner to determine the extent of the disorder. The long-term prognosis is dependent upon the severity and duration of the disorder. The dental team should be mindful that people who suffer from these disorders might relapse. The knowledgeable dental professional may be able to intercept these habits through regular recall intervals and examinations.
The first priority after an episode is to rinse with water. If available, a sodium bicarbonate rinse or slightly alkaline mineral water rinse can help neutralize the gastric acids. With respect to providing oral care instructions, these patients should be instructed to rinse with 0.05 percent sodium fluoride, and do not toothbrush for at least an hour after an episode.11 Toothbrushing can be performed after the neutralization of the gastric acid. Patients should also be counseled on the use of antacids, cheese, and xylitol chewing gum. Timing of restorative dental treatment is an issue. Generally, palliative treatment is best until the patient makes progress with recovery. These patients are at risk for hypoglycemic syncope during dental treatment and should eat a meal or snack prior to dental treatment.5
Conclusion
The patient presented with a history of bulimia, which resulted in severe erosion, incisal wear, and over-eruption of the mandibular teeth. She reported her bulimia was under control, and she wanted to improve her appearance and function. Interdisciplinary dental treatment was critical for a successful outcome. Dentists play an important role in the diagnosis of bulimia and in overall treatment. ■
The author would like to thank Dr. Timothy Quinn, Practice Limited to Orthodontics, and Connie Harrington, MA, for her contributions in psychotherapy.
References
1 Studen-Pavlovich D, Elliott MA. Eating disorders in women’s oral health. Dent Clin North Am. 2001; 45(3):491-511.
2 National Institute of Mental Health. Eating disorders: facts about eating disorders and the search for solutions. NIMH 2001 www.ncbi.nlm.nih.gov 1-6.
3 National Association of Anorexia Nervosa and Associated Disorders (ANAD). Eating disorder info and resources. www.anad.org/site.
4 Gupta MA, Johnson AM. Nonweight-related body image concerns among female eating-disorder patients and nonclinical controls: some preliminary observations. 2000. Dept. of Psychiatry, University of Western Ontario, London, Ontario, Canada.
5 Gurenlian J. Eating disorders. The Journal of Dental Hygiene 2002; 76 (3).
6 Bonilla ED, Luna O. Oral rehabilitation of a bulimic patient: a case report. Quintessence Int. June 2001; 32(6): 469-75.
7 Helistrom I. Anorexia nervosa-odontologic problems. Swed Dent J 1974; 67: 253-69.
8 Christensen G. Oral care for patients with bulimia. JADA 2002; 133. 1689-1691.
9 Brady WF. The anorexia nervosa syndrome. Oral Surg Oral Med Oral Path 1980; 60 (6): 509-16.
10 Young WG. Tooth wear: diet analysis and advice. Int Dent J Apr. 2005; 55(2): 68-72.
11 Burkhart N, Roberts M, Alexander M, Dodds A. Communicating effectively with patients suspected of having bulimia nervosa. JADA Aug. 2005; 136(8): 1130-1136.
Warning signs for bulimia nervosa
• Preoccupation with food
• Binge eating, usually in secret and often containing high amounts of carbohydrates
• Vomiting after eating
• Abuse of laxatives, diuretics, or diet pills
• Denial of hunger, or use of drugs to induce vomiting
• Compulsive exercise
• Swollen salivary glands, especially the parotid gland, either unilateral or bilateral
• Broken blood vessels in the eyes
• Malnutrition
• Dehydration, erythemia, angular cheilitis
• Xerostomia associated with laxative or diuretic abuse10
• Ruptured stomach
• Serious heart, kidney, and liver damage
• Tooth/gum erosion (perimylolysis)
• Tears of the esophagus
• Trauma from objects used to induce vomiting such as fingers, combs, and pens
Rhonda R. Savage, DDS
Dr. Savage is an affiliate clinical instructor at the University of Washington School of Dentistry and is in private general practice in Gig Harbor, Wash. You may contact Dr. Savage at [email protected].






