Pathology case: The patient who refuses treatment
Editor's note: Originally published January 30, 2017. Updated June 3, 2024.
If you are performing frequent head, neck, and oral cancer screenings, this an all-too-common finding ...
Case presentation and exam
A healthy 27-year-old male presents for the first time in my office with the chief complaint that his upper right tooth, third from the back, has been bothering him progressively for the last few months. The health history reveals that the patient has slightly elevated blood pressure and that he is a chronic tobacco user (one can per day).
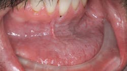
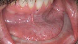
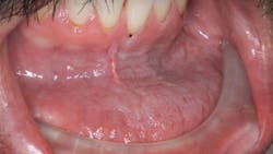
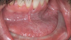
His abscess was addressed, and an assessment of the tissue followed. Upon palpation, a large area of the lower left vestibule was noted to have rough, corrugated-cardboard-like tissue.
The patient indicated he was aware of the risks associated with tobacco—a clear pathological segue into oral cancer.
Discussion
What are the effects of smokeless tobacco? Why should we as practitioners be concerned? What should we tell our patients, and how can we help them?
Smokeless tobacco produces many harmful effects in the mouth, including dental conditions (tooth abrasion, dentinal hypersensitivity, staining of the teeth, etc.), gingival conditions (gingivitis, periodontal disease, recession, etc.), mucosal conditions (premalignant lesions, oral and pharyngeal cancer, etc.), halitosis, diminishing of taste, and severe systemic effects.1,2
“The oral lesions seen in smokeless tobacco use may be white lesions, red and white plaques, or raised red or white lesions. These may be precancerous, in situ carcinomas, squamous cell carcinomas, or verrucous carcinomas, predominantly occurring at the mucosal location where the quid is placed.”2
Cessation of tobacco use will typically see a resolution of the lesion within a week;1 however, “a thorough history is important in establishing the correct diagnosis. A biopsy may be required to rule out carcinoma or precancerous changes, especially if the lesion is associated with induration, ulceration, erythema, and nonresolution within two weeks of stopping tobacco use.”1
Modalities to examine such areas include “oral cavity examination, supravital staining, oral cytology, and optical technologies.”3 Early diagnosis and considerations for such include3:
- Symptomatic and/or nonsymptomatic nonhealing lesions of the oral mucosa
- History of smoking, chewing tobacco, alcohol consumption, oral HPV infection, drug use, long-term exposure to sunlight
- Advanced age
- Presence of immunodeficiency
- Presence of genetic disease
- Poor oral hygiene
Reader responses
When this case was presented, I requested that readers post their recommendations for care and treatment. Here are some of the responses we received:
- No biopsy indicated. This is hyperkeratosis.
- Yes, send to oral surgery for evaluation and biopsy; let pathology dictate follow-up.
- For sure, get a biopsy.
- Needs a biopsy.
- VELscope tests.
- We encourage them to cease the habit or move the product for two weeks and return for a follow-up. If the tissue has not returned to normal, we refer to oral surgery.
Treatment recommendations and follow-up
For this patient, I recommended tobacco cessation or—if that was not practical for him (because cessation is difficult)—to move the snuff to another location. He came in a few days later for an extraction, and I requested that he return for a tissue assessment in two weeks. Unfortunately, he did not comply, and his status is currently unknown.
From one standpoint, the patient loses out, because it could potentially be something that warrants further care. However, at the very least, a lengthy discussion was held at his initial visit and extraction appointment, and—hopefully—he will ruminate over those conversations and at some point take my advice and recommendation into consideration.
References
1. Mirbod SM, Ahing SI. Tobacco-associated lesions of the oral cavity: Part I. Nonmalignant lesions. J Can Dent Assoc. 2000;66(5):252-256.
2. Wood NK, Goaz PW. Differential Diagnosis of Oral and Maxillofacial Lesions. 5th ed. Mosby Publishing; 1997:588-589.
3. Yardimci G, Kutlubay Z, Engin B, Tuzun Y. Precancerous lesions of the oral mucosa. World J Clin Cases. 2014;2(12):866-872. doi:10.12998/wjcc.v2.i12.866.
About the Author
Stacey L. Gividen, DDS
Stacey L. Gividen, DDS, a graduate of Marquette University School of Dentistry, is in private practice in Montana. She is a guest lecturer at the University of Montana in the Anatomy and Physiology Department. Dr. Gividen has contributed to DentistryIQ, Perio-Implant Advisory, and Dental Economics. You may contact her at [email protected].






