Choosing the right material for anterior restorations
By John C. Cranham, DDS, Chesapeake, Va., and R. Scott Clark, Vice President, Dental Arts Laboratories, Inc.
Dentistry continues to roll through an "esthetic revolution," with more restorative choices than ever to take better care of your patients. This multitude of information provides you with a tremendous opportunity to provide optimum care from an esthetic, functional, and disease-prevention standpoint; however, it can also lead to confusion when deciding which option is best for your patients.
Choose the material that's right for your patient
Perhaps nothing is more confusing than sifting through the myriad of esthetic materials to choose the right product for any given situation. As practitioners, we have a tendency to get comfortable with one or two materials, and then make our patients fit the material. But that is not the best way to practice dentistry.
Know your options
A much wiser method is to spend time studying the advantages of as many materials as possible so you can consistently choose the right material to meet the demands of each patient. The purpose of this article is to provide you with pertinent information necessary to assist you when considering the optimum treatment plan for your patients.
Material selection criteria
There are at least six factors to consider when choosing a restorative material. Let's take a look at each factor briefly.
- Esthetic risk — Typically 1-3 mm of maxillary incisal tooth structure shows at rest in a youthful smile. From this position, if the patient has a high esthetic demand and shows a great deal of tooth structure (more than 7 mm of lip hypermobility when smiling), choose a material that is as cosmetic as possible. If the patient is not as driven by esthetics and the teeth are not too visible, it is more sensible to choose a more durable material — even though there may be a slight esthetic compromise.
- Occlusal risk — When working up the patient's case, make sure to note any evidence of intra-articulator TMJ signs or symptoms, occlusal-muscle disorders, masticatory muscle soreness or fatigue (tension headaches), tooth wear, tooth mobility without periodontal breakdown, or tooth migration. These issues should be considered indicative of a high occlusal risk patient. Esthetic restorations may still be an option, but extra attention to detail is essential to develop an occlusal scheme that ensures a harmonious stomatognathic system — minimizing stress on the restoration.
- Quantity of remaining enamel — One of the best reasons to preserve tooth structure during an adhesive procedure is to conserve a maximal amount of remaining enamel, since the crystalline structure of enamel is far less variable than dentin. Recent reviews of porcelain veneers during the past 10 years suggest that, of the restorations that failed (4 percent), six of seven were only partially bonded to dentin. While the success rate shows the wonderful success rate of porcelain veneers, it also indicates a need to preserve as much enamel as possible.
- Quantity and quality of remaining dentin — Recent studies also look at how bonding to sclerotic and carious dentin can affect bond strength. While predictable bonding success is hard enough to obtain inside the mouth, it seems that bond strengths may also vary depending on the kind of dentin that exists. A good rule of thumb is to consider a traditional cemented restoration if areas of discolored dentin are present that lack sensitivity to cold water, air blast, or to preparation without anesthesia. This evidence may indicate that the wet collagen network within the dentin has been significantly altered, affecting the necessary optimum bond strengths.
- Ability to maintain 100-percent isolation — If 100-percent isolation cannot be obtained during an adhesive procedure, failure is imminent. Deep subgingival restorations, patients with limited openings (TMJ), or any area that is impossible to isolate are pure examples of clinical situations where traditionally cemented restorations may be indicated.
- Desire for maximum tooth conservation — Generally, it is recommended to only remove the amount of tooth structure necessary to maximize esthetics, obtain the necessary retention and resistance form, and preserve remaining tooth structure.
Five outstanding alternatives
Dozens of materials may be utilized for anterior restorations. This article highlights five such products that demonstrate common patient situations. These product alternatives were chosen because they allow the most conservative preparation (maximum tooth conservation), provide maximum esthetics, and withstand the functional demands of most patients.
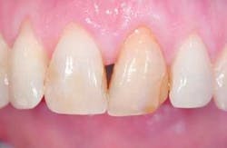
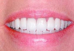
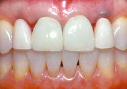
- Stacked porcelain veneers
The custom stacked veneer is the material of choice when a case is to be done to correct discolored or misaligned teeth, to lengthen teeth, to create space closures, or to simply improve a smile cosmetically. Porcelain veneers can be fabricated using a traditional pressed glass material that require at least .8-1.0 mm reduction, like IPS Empress or OPC 3G, or by using a custom fabrication technique referred to as "stacked porcelain veneers." This veneer technique uses a conventional PFM porcelain that is stacked and fired in layers directly on a refractory model to form a custom veneer. This process allows for internal coloring and produces veneers with greater individual characterization. It requires the least amount of tooth reduction — .5 mm facial reduction with a gentle chamfer margin at the crest of the tissue and 1 mm incisal reduction.
null
null
null
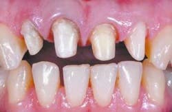
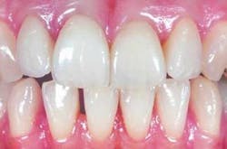
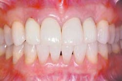
- Pressed glass restorations
Occasionally an all-ceramic stronger than stacked porcelain is needed to achieve the ideal esthetic goals. Pressed ceramics such as IPS Empress and OPC 3G do well in situations when greater than 2.0 mm of unsupported ceramics exist. It is also possible to place pressed veneers next to pressed crowns of the same material and achieve a beautiful esthetic result. It is important to note that, when planning an esthetic rehabilitation, it is never a good idea to place differing porcelains next to one another since the optical properties may differ. When an all-ceramic crown is placed next to a veneer, pressed ceramic is the material of choice.
null
null
null
- Press-to-metal restorations
The ability to press ceramic directly to metal is very helpful when additional strength is needed for long span anterior bridges, posterior bridgework, and situations where bonding may be questionable. The Authentic press-to-metal system allows for ceramic to be pressed directly to a gold alloy to create high-strength pressed ceramic restorations that feature pressed ceramic margins for ideal esthetic results.
null
null
null
- CAD/CAM high-strength ceramics
The onset of computer-assisted dental manufacturing has greatly increased the selection of high-strength materials that can be used to esthetically treat both the anterior and posterior regions of the mouth. The restoration can be designed on the computer or waxed and scanned, then various applications of "computer-assisted milling" can shape the final substructure from a variety of high-strength materials. Layered porcelains are then applied to create excellent all-ceramic esthetics. Procera AllCeram (using a sintered aluminum oxide substructure) and Cercon Zirconia (using a high-strength Zirconia substructure) present two outstanding alternatives to conventional porcelain-to-metal restorations. Both products require conventional chamfer preparations and can be cemented with conventional cements. This combination of high-strength, all-ceramic esthetics and conventional chairside technique make these alternatives outstanding restorative choices.
null
null
null
- Captek: The contemporary gold PFM
It is important for every dentist to have the ability to provide a restoration that is traditionally cemented with the necessary strength to handle both single- and multiple-unit bridgework cases. Historically, porcelain fused to metal ceramic restorations (PFMs) have been the "workhorse" of fixed restorative dentistry. Captek is a metal ceramic restoration that has many advantages over the traditional porcelain-fused-to-metal. The warmth of the underlying gold-colored, precious metal coping enhances the vitality of bake-on porcelains and yields pleasing esthetic results even with conservative tooth reduction. The Captek coping is not a traditional cast restoration, but rather a composite metal. Platinum and Palladium provide a base capillary network that is encapsulated by the 97-percent yellow gold to form a high-strength metal composite with a deep yellow gold appearance. This unique combination of beauty, traditional PFM strength, and plaque resistance make Captek the contemporary PFM restoration of choice for single crowns and bridgework up to five units.
null
null
null
For complete information on the selection of anterior restorations, contact Dental Arts Laboratories, Inc. at (800) 227-4142 to request your free copy of the DAL Anterior Restoration Selection Guide.
Note: References for this article are available upon request.
Ivoclar Vivadent, ADA helping "Give Kids a Smile"
To improve oral health among underserved children, the American Dental Association (ADA) and Ivoclar Vivadent, Inc., have joined forces for Give Kids a Smile Day. On that day — Feb. 21, 2003 — thousands of dentists across the country will provide free oral health services to underserved children.
The ADA created Give Kids a Smile as an annual vehicle to focus national attention on what the U.S. Surgeon General has called a "silent epidemic" of oral disease affecting children from low-income families and to build support for public and private solutions that will help these children get regular oral health care. As noted in the Surgeon General's 2000 report, Oral Health in America, dental decay is the most common disease affecting U.S. children, occurring at five times the rate of asthma and seven times that of hay fever.
p--Dr. Clara Munera (center), marketing manager; Dr. George Tysowsky (center right), vice president of technology; and Dr. Michael Gaglio (right), director of education, are joined by children as Ivoclar Vivadent, Inc. launches its support for the Give Kids a Smile Campaign.
Give Kids a Smile will organize dental teams around the country to provide a wide range of dental services and educational programs for underserved children, while highlighting for policy makers the ongoing challenges that low-income and disabled children face in accessing dental care.
As a national co-sponsor of Give Kids a Smile, Ivoclar Vivadent will donate substantial amounts of preventive and restorative dental supplies to dentists participating in Give Kids a Smile events.
For more information, log on to www.ada.org.















