Pathology case: A soft, exophytic, dome-like lesion
Editor's note: Originally published July 3, 2017. Updated October 2024.
Case presentation
A healthy 6-year-old male presented for a routine dental visit. The patient was taking no medications and had no known medical allergies.
Dental history
Dental history included a small amount of caries with an anterior crossbite (end to end), as well as a habit of biting his lower lip with his teeth. The patient had been seen three times in the last three years; the parents did not bring the child to the dental office for regular checkups. At a visit six to seven months ago, the patient had a sore lower lip from biting it all day. There were no soft-tissue findings at the time.
At a six-month checkup, the patient's chief complaint was a large sore on the lower lip that was described as: “comes and goes.” His mom said: "He will bite the bubble and it pops with lots of liquid, but it grows again."
She took the child to see their primary medical doctor, but reported, "He did not know what to do and suggested we go see our dentist." Mom said the lesion had been present for the past five months and “it seems to get bigger and bigger.”
At the recare visit, caries was not present and there was no change in the patient's health history.
Clinical assessment
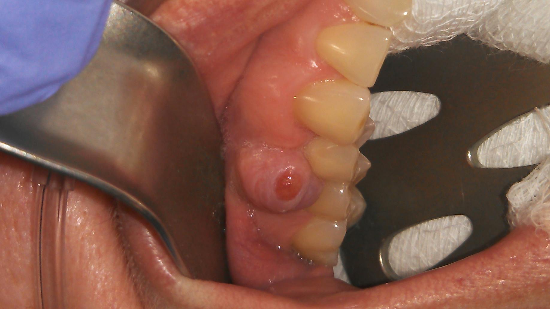
Clinical assessment on the lower lip revealed:
- 7 mm-plus soft, exophytic, dome-like lesion
- Normal lip color
- Fluid filled with a slightly red base
- No pain, but the patient was having a hard time eating due to position and size of lesion
When I asked the patient's mom why she hadn't brought her son in sooner, since the lesion had been there for five months, she said, "It does not hurt him, and it goes away after he bites it for a while. I figured we would see you soon anyway."
Evaluation and treatment
We referred the patient to an oral and maxillofacial surgeon for evaluation and treatment. Concerned that the mom would not call the oral surgeon to make an appointment, I tried multiple times without success to follow up with her about it. A week later, I confirmed with the oral surgeon's office directly that the patient was indeed on their schedule. However, in the end, the patient’s mom scheduled her son for two appointments with the oral surgeon to have the lesion removed and biopsied, but unfortunately failed to keep both appointments.
Discussion and likely diagnosis
The likely diagnosis in this case is oral mucocele, aka mucous retention cyst, from a blocked duct, secondary to chronic lip biting. It is hoped that the patient will eventually have a biopsy so a definitive diagnosis can be rendered. The patient's mom has been advised to be diligent in reminding her son to cease biting his lip.
In situations like this, we can only advise and hope that patients will take our recommendations seriously and follow up with specialists to get the care they need. We always stress that our recommendations are in their best interests. Lack of pain and/or symptoms does not necessarily mean that all is well.
More pathology cases ...
About the Author

Conway Jensen, DDS
Conway Jensen, DDS, has a bachelor’s degree in biology from Oregon State University and a dental degree from Marquette University School of Dentistry. He completed his pediatric dental training at the Children’s Hospital of Wisconsin. Dr. Jensen is a board-certified pediatric dentist in private practice in Washington state. He is active in the American Academy of Pediatric Dentistry and is a children’s dentist diplomate of the American Board of Pediatric Dentistry.









