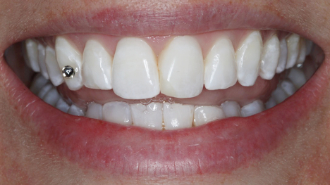
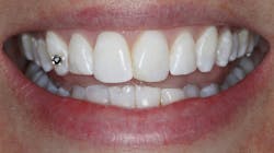
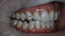
One of my favorite things right now: Skyce from Ivoclar Vivadent
Bejeweled smiles date back to 1800BC to 250AD when the Mayans inlayed jade and other minerals into teeth.1,2 Nowadays, people can purchase a kit online that includes etch, bonding agents, and a curing light to apply jewels onto their teeth. If a patient is seeking noninvasive dental embellishment, where can it be more safely applied than a dental office?
The last live dental conference I attended was Chicago Midwinter in February. When I was there, I applied Skyce tooth jewels to the teeth of conference attendees. They had such a positive response, dental professionals waited for hours to have a Skyce applied to their teeth. Many dentists asked me about the process to apply them and it couldn’t be simpler or less invasive:
References
- Stewart TD. New examples of tooth mutilation from Middle America. American Journal of Physical Anthropology. 1941;28(1):117-124. doi:10.1002/ajpa.1330280107
- History of oral health: Teeth embellishments. Delta Dental. 2019. https://www.deltadental.com/grinmag/us/en/ddins/2019/spring/history-of-tooth-embellishments.html
Editor’s note: This article first appeared in Through the Loupes newsletter, a publication of the Endeavor Business Media Dental Group. Read more articles at this link and subscribe here.
Pamela Maragliano-Muniz, DMD, is the chief editor of DentistryIQ and editorial co-director of Through the Loupes. Based in Salem, Massachusetts, Dr. Maragliano-Muniz began her clinical career as a dental hygienist. She went on to attend Tufts University School of Dental Medicine, where she earned her doctorate in dental medicine. She then attended the University of California, Los Angeles, School of Dental Medicine, where she became board-certified in prosthodontics. Dr. Maragliano-Muniz owns a private practice, Salem Dental Arts, and lectures on a variety of clinical topics. You may contact her at [email protected].
About the Author

Pamela Maragliano, DMD
Pamela Maragliano, DMD, is the chief editor of Dental Economics. Based in Salem, Massachusetts, Dr. Maragliano began her clinical career as a dental hygienist. She went on to attend Tufts University School of Dental Medicine, where she earned her doctorate in dental medicine. She then attended the University of California, Los Angeles, School of Dental Medicine, where she became board-certified in prosthodontics. Dr. Maragliano owns a private practice, Salem Dental Arts, and lectures on a variety of clinical topics. You may contact her at [email protected].





