Alternatives to floss: A review of Sunstar Gum's Soft-Picks Advanced
It's important to be able to offer patients alternatives to floss for interdental cleaning. Some refuse to use floss, and some have wider interdental spaces—due to lost periodontal support, shifted teeth, or implants, for example—that might render floss ineffective. In this article, Pamela Maragliano-Muniz, DMD, reviews Sunstar Gum's Soft-Picks Advanced.
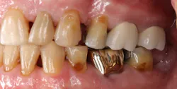
If your practice is anything like mine, your patients are constantly seeking more effective solutions for cleaning large interdental spaces that tend to trap food. Larger interdental spaces may be the result of the loss of periodontal support or shifted teeth (figure 1), and they also tend to be located around implants. (1,2)
My patients have been receptive to using Soft-Picks (Sunstar Gum). They appreciate the portability of Soft-Picks and the gentle tips. Historically, Soft-Picks were available in “Original” and “Wider Spaces.” But both of these sizes feature a small, tab-like handle, which might be difficult for patients who have difficult-to-reach areas or limited dexterity.
Sunstar recently developed Soft-Picks Advanced (figure 2). I have found that patients are able to clean their wider interdental spaces more easily with Soft-Picks Advanced (figure 3). These have a longer, more robust, curved handle to facilitate adaptation of the tip to different interdental spaces and offer greater access to areas throughout the mouth (figure 4). The larger handle is also easier to use for patients with limited dexterity.
Keep an eye out for this great new product. It has the same gentle picks as the Original or Wider Spaces Soft-Picks, but it offers better access to more areas in the mouth. I recommend Soft-Picks Advanced to patients who refuse to floss and patients whose interdental spaces are larger due to lost periodontal support, bridges, or implants. In my office, these are a vital part of our dental hygiene recommendations for many patients.
MORE READING:
If flossing is ineffective, what's next? Alternatives to floss gain acceptance
Dental profession reacts to Associated Press report about flossing
A new 'flossophy' exposes the myths surrounding the efficacy of flossing
Editor's Note: This article first appeared in Pearls for Your Practice: The Product Navigator.Click here to subscribe. Click here to submit a products article for consideration.
References
1. Chang LC. Factors associated with the interdental papilla height between two maxillary central incisors: A radiographic study. J Periodontol. 2012;83(1):43–49.
2. Tarnow D, Elian N, Fletcher P, et al. Vertical distance from the crest of bone to the height of the interproximal papilla between adjacent implants. J Periodontol. 2003;74(12):1785–1788.





