Product review: Mirrored dry angles that don't overexpand
Pamela Maragliano-Muniz, DMD, has found the only dry angles she wants to use from now on. They're mirrored to help improve visibility in the mouth, and they don't overexpand when exposed to moisture, even during long procedures.
For a long time, I never paid much attention to my dry angles … except when one would puff up like a balloon if it got wet while I was working. Whenever that happened, I would remove the dry angle and scowl at it before tossing it into the trash. I use dry angles when I cannot isolate a tooth with a rubber dam, if I am trying to protect the buccal mucosa in areas with limited space, or during crown cementations with adhesive resin cement, so I need the dry angle to work with me—not against me.
I tried Richmond Dental’s Reflective Shields Plus, and these dry angles are great! First of all, I don’t have to guess which side is supposed to touch the tissue. One side is cotton, and the other is mirrored. The mirror is so clear that I could use it to put my morning lipstick on if I wanted (figure 1)!
Seriously, though, the mirrored surface is helpful because it can help illuminate the tooth that I am working on, or it can aid in indirect vision (figure 2). The dry angle is flexible, and the mirrored surface is durable. If the reflective surface comes in contact with a bur, it is not easily damaged. The dry angle will protect the soft tissue, and the material will not clog the bur, unlike most other cotton-based products.
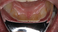
I have used Reflective Shields Plus numerous times, and I am impressed that these dry angles do not take up excessive amounts of space after contacting moisture (figure 3). Unlike other dry angles, they do not expand excessively and impede my view of my working space. This is especially important when working on second molars. The dry angles absorb moisture effectively, which keeps my working area dry. They also remain stable. They do not weaken or continue to expand, even during long procedures. This is important for minimizing office waste.
The dry angles have become a useful tool in my dental toolbox. I’m glad that I encountered these little gems from Richmond Dental; they are the only dry angles that I will use from now on.
Editor's note: This article first appeared in Pearls for Your Practice: The Product Navigator.Click here to subscribe. Click here to submit a products article for consideration.






