Endodontic case study: Challenges of a bifurcated canal
Clinician: Shawn Velez, DDS, of Aiken, S.C.
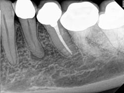
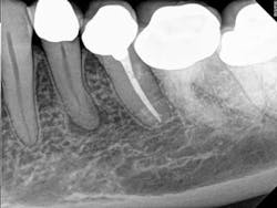
Description of tooth, position, and morphology: Tooth No. 21 diagnosed with pulp necrosis and asymptomatic apical periodontitis. Tooth in normal inclination. This tooth presents with a single root and type IV canal system (one canal bifurcating into two canals).
For further study |Be in the know on endo
Pre- and postop comments: Access was made through PFM crown and glidepath established with a Lexicon® #15 Flex SSK hand file. Working length confirmed at 17.0 mm. Final shape was created using the WaveOne® Primary file in the presence of copious sodium hypochlorite.
QMix 2in1 irrigation solution was used as the final irrigant, using the ProRinse® irrigation needle. The EndoActivator was used to agitate all the irrigants. ThermaSeal® Plus Ribbon® sealer and GuttaCore® obturator were used to obturate. Post space was made with a GT® Post drill.
"This young lady came in to see me with a necrotic No. 21," Dr. Velez said. "Activated irrigation with NaOCl/QMix got me a surprise on the postop (radiograph).
"Since the canal bifurcated hard at the distal," he said, "Flex NTK hand files were used to prepare this area. The ability of GuttaCore to obturate the challenging apical anatomy was greatly enhanced by deep delivery of sodium hypochlorite and QMix using the ProRinse irrigation needle and the EndoActivator."
Preop
Postop
ADDITIONAL ENDODONTIC CASE STUDIES …
Endodontic case study: Hybrid technique on 90-degree curve
Endodontic case study: Healing of a large lesion in a lower molar after proper dental instrumentation and irrigation
Dr. Kinra's case gallery: Soft landing





