Restoring primary anterior teeth with EZ-Pedo all-ceramic zirconia crowns: 3 case studies
Sally Hua, DMD, MSD, loves to help her pediatric patients by restoring their teeth to their normal esthetic and function. In this article, she reviews three case studies in which she restored primary anterior teeth using EZ-Pedo all-ceramic zirconia crowns.
Restoring primary anterior teeth is challenging due to many factors, including small tooth size, thin enamel, and close proximity to the pulp. Plus, in cases of severe early childhood caries (S-ECC), multiple teeth are often involved, and patient cooperation is often lacking. Many products have been used to restore primary anterior teeth with high success rates and parental satisfaction: stainless steel crowns with composite facing, preveneered stainless steel crowns, composite strip crowns, and EZ-Pedo all-zirconia crowns. (1–4)
In our practice, I often encounter children who have severe early childhood caries or primary anterior teeth that have been fractured due to trauma. According to the American Academy of Pediatric Dentistry, the disease of early childhood caries is characterized by the presence of one or more decayed (noncavitated or cavitated lesions), missing (due to caries), or filled tooth surfaces in any primary tooth in a child under the age of six. (5) In children younger than three years of age, any sign of smooth-surface caries is indicative of severe early childhood caries. (5) From ages three through five, one or more cavitated, missing (due to caries), or filled smooth surfaces in primary maxillary anterior teeth also constitutes severe early childhood caries. (5) Similarly, a decayed, missing, or filled score of greater than or equal to four surfaces (age three), greater than or equal to five surfaces (age four), or greater than or equal to six surfaces (age five) also constitutes severe early childhood caries. (5)
RELATED | Educate your patients before their children’s first dental visit
As pediatric dentist and a mother of three children, I understand the importance of maintaining and restoring primary teeth to their natural esthetic appearance, removing pain, restoring function, preventing malocclusions and parafunctional habit development, and preventing negative emotional development. (6) In our practice, we offer two restorative materials for restoring the beauty and function of these primary anterior teeth: BPA-free (bisphenol A–free) composite resin strip crowns and all-ceramic zirconia crowns from EZ-Pedo.
Composite resin strip crowns are highly esthetic, functional, and economical. They are technique sensitive and require a dry field and cooperation from the patient. Their success rate is high; a study published in 2005 found that 80% of strip crowns were retained for 3 years, while 20% had partial loss. (7) These strip crowns are contraindicated in severely decayed teeth with no enamel or inadequate enamel for retention.
EZ-Pedo's esthetic all-ceramic zirconia pediatric crowns have been commercially available since 2008. Made of medical-grade ceramic and resembling natural teeth, EZ-Pedo crowns are biocompatible, virtually indestructible, and highly esthetic. (8) According to a study published in 2016, 96% of EZ-Pedo crowns remained intact over the course of 20.8 months. (4) They are my go-to crowns for anterior restorations if cost is not a concern, and they are my only choice for restoring teeth that are contraindicated for strip crowns. In cases with no or minimal remaining coronal tooth structure, EZ-Pedo crowns are ideal crowns due to their retentive feature, Zir-Lock Ultra. The techniques are simple to follow. The cements recommended are Ketac Cem (3M ESPE) or Ceramir C&B (Doxa Dental). Other cements—such as RelyX Luting Plus (3M ESPE), Fuji Plus (GC America), or FujiCem 2 (GC America)—are to be used with caution. In our practice, we use Ketac Cem for cementing these crowns.
RELATED | Pediatric dental home: Not just a concept
The following cases involve children who had severe early childhood caries and who were successfully treated under general anesthesia at the Franciscan Hospital for Children in Brighton, Massachusetts. General anesthesia was chosen for the following cases because of the extensive restorative treatment involved, the patients' acute situational anxiety, and an anticipated lack of cooperation due to young age. The parents were given a lot of time to consider the treatment options including no treatment, deferment of treatment, and full-mouth rehabilitation under general anesthesia. They had multiple consultations to have their questions and concerns addressed, to have other treatment options explained, and to be informed of potential risks and benefits in both written and oral formats. The parents had to sign informed consent forms, and the children had to be evaluated by their primary-care physicians and cleared by the anesthesia team prior to their respective surgery dates.
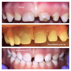
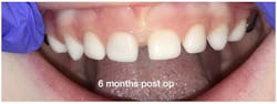
Case No. 1
This is a healthy three-year-old child who was breastfed until the age of three. The patient came to our office for a consultation for treatment with all-zirconia crowns. The parents were aware that multiple teeth required treatment, but the previous dentist did not offer white crowns for posterior molars. The mother wanted all-white crowns because she wanted her child's teeth to look normal again. No nocturnal pain, unprovoked pain, or trauma was reported, and the parents reported no post-op complications. At the six-month recare visit, the parents were happy with the results, and the child was cooperative and even sat for his cleaning and fluoride varnish application.
Case No. 2
At the time of treatment, the child in this case was three years and eight months old and healthy. The patient did not have good oral hygiene and was on a cariogenic diet. The child was generally a happy child, but after her treatment, her parents reported that she did not stop smiling to show everyone her new teeth. Now, she marches back to the dental treatment room and prefers to have her teeth cleaned without her parents in the room.
Case No. 3
At the time of the consultation, the child in this case was 15 months old, going to bed with milk and drinking diluted juice throughout the day in his sippy cup. It was impossible to brush his teeth. The mother’s chief complaint was that she didn’t want him to be without teeth. At the time of treatment, the patient was 18 months old. Following treatment, his parents were excited and keen to keep up with his oral hygiene practice at home.
Conclusion
I am always honored to have gained the parents’ and the child’s trust to provide the best dental experiences for them. I love working with children and I love dentistry. Ideally, we want to prevent the most preventable disease. However, when I must treat primary anterior teeth, I can’t imagine practicing without EZ-Pedo crowns and my Isolite mouthpieces, which, in my opinion, provide the best isolation available and cause little to no trauma to the gingival tissue compared to the clamps of rubber dams. I want all my patients to have the best care possible during treatment and recovery. Helping these children by restoring their teeth to their normal esthetic and function is rewarding, and I always look forward to them coming back for their recare appointments with their bright smiles.
Editor's Note: This article first appeared in Pearls for Your Practice: The Product Navigator.Click here to subscribe. Click here to submit a products article for consideration.
References
1. Croll TP. Primary incisor restoration using resin-veneered stainless steel crowns. ASDC J Dent Child. 1998;65(2):89–95.
2. Champagne C, Waggoner W, Ditmyer M, Casamassimo PS. Parental satisfaction with preveneered stainless steel crowns for primary anterior teeth. Pediatr Dent. 2007;29(6):465–469.
3. Kupietzky, A, Waggoner WF. Parental satisfaction with bonded resin composite strip crowns for primary incisors. Pediatr Dent. 2004;26(4):337–340.
4. Holsinger DM, Wells MH, Scarbecz M, Donaldson M. Clinical evaluation and parental satisfaction with pediatric zirconia anterior crowns. 2016;38(3):192–197.
5. Policy on early childhood caries (ECC): Classifications, consequences ,and preventive strategies. Amer Acad Pediatr Dent Ref Man. 2015–2016;37(6):50–52.
6. Eshghi A, Kowsari-Isfahan R, Khoroushi M. Evaluation of three restorative techniques for primary anterior teeth with extensive carious lesions: A 1-year clinical study. J Dent Child (Chic). 2013;80(2):80–87.
7. Kupietzky A, Waggoner WF, Galea J. Long-term photographic and radiographic assessment of bonded resin composite strip crowns for primary incisors: Results after 3 years. Pediatr Dent. 2005;27(3):221–225.
8. EZ-Pedo. https://www.ezpedo.com/index.asp.





